서현역치과 임플란트 부러짐 파절 부작용 예방법은 무엇일까?

‘디오’라는 임플란트 회사 알고 있으실까요?
더서울 서현역치과 에서
임플란트 수술을 받게 된다면,
컴퓨터 분석 프로그램으로
모의 수술을 진행하여
식립 계획을 수립하는 것을
매 케이스마다 보여드리고 있죠?
네, 그 회사입니다. ^^
오늘 소개해드릴 환자는
디오 회사에 다니는 삼촌분 소개로
오시게 되셨는데요.
집과 30분 정도 걸리시는데,
오셔서 수술을 잘 받으셨습니다.
그리고 5년 넘게 내원을 하지 않으셨다가
최근에 보철이 돌아가서 찾아오게 되셨답니다.
해당 환자는 어떤 식으로 치료 되었으며,
부러짐, 파절 부작용을 겪었는데
이것을 어떻게 예방할 수 있는지
꼼꼼하게 살펴보도록 하죠.
『5년 전 서현역 치과 첫 내원』
구강 내 양쪽 제2대구치 발치가
이뤄진 것을 확인할 수 있습니다.
염증으로 인한 골소실을 겪어
해당 부위는 뼈이식으로
두께를 더 채워줘야 됩니다.
양쪽 어금니에 임플란트 2개
식립을 추천드렸는데요.
환자분께서는 비용 부담때문이었을까요?
하나만 하겠다는 요청에
서현역치과 의료진은 알겠다며,
꼼꼼히 해드리겠다 말씀드렸습니다.
그런데 아무래도 제2대구치는
구강 내 하중을 많이 받는 부위로
하나를 잘 심게 되더라도
하중을 견디지 못하여
부러짐을 겪게 될 수 있죠.
간단히 예를 들었을 때,
무거운 바위를 한명이 드는 것과
두명이 드는 것은 큰 차이가 있죠?
『수술 완료』

하얗게 채워져있는 골이식 재료가
뼈와 결합이 잘 이뤄진 것을 확인할 수 있습니다.
2개를 심지 않으면 파절될 수 있다는
사항을 알려드렸음에도
환자분께서는 하나만 하기를
요청하셨기에 해드렸습니다.
그래서 그런지 서현역치과 의료진은
마음 한 구석에 찝찝함이 있어
꼭 정기검진이라도 잘 받으러 오셔야 된다
그렇게 당부 말씀을 드렸는데요.
어떻게 된 것인지…
5년간 단 한번도 오지 않으시더군요.
‘하나만 심어도 괜찮은건가?’
그렇게 생각하며 머릿속에서
서서히 잊혀져갔죠.

결국 하중을 견디지 못하였는지
부러짐으로 찾아오셨습니다.
우려했던 상황이 나타나고 말았네요.
파절되면 어쩔 수 없이
재식립을 받아야 됩니다.
그래서 서현역치과 의료진은
해당 임플란트 제거 후,
재수술 계획을 수립했습니다.
재수술은 처음 심는 것보다
더욱 꼼꼼히 심어줘야
오래 사용할 수 있기에
심혈을 기울여 픽스처를 심어드렸습니다.
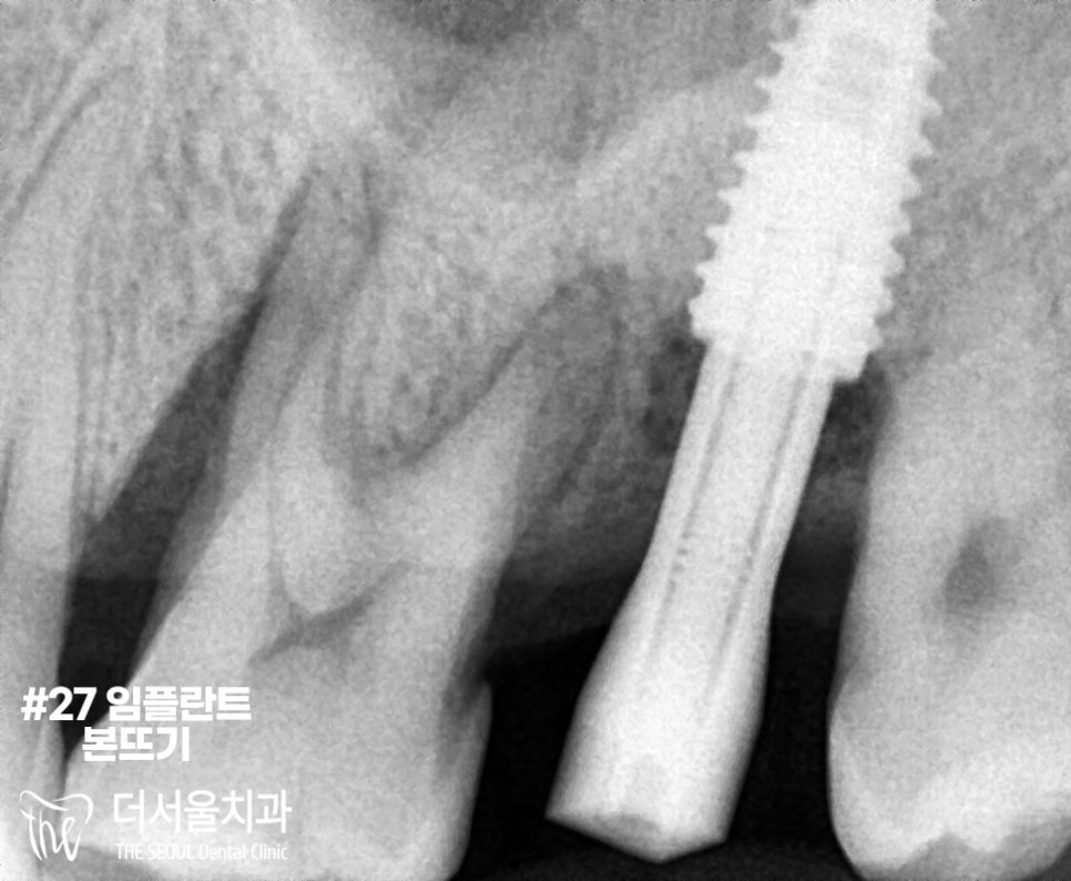
『재수술』


재수술이기에 서현역치과 의료진은
좀 더 신경써서 픽스처를 심었습니다.


그 후, 양쪽 본을 뜨고
그대로 가셨습니다.
이후 다음 내원 때 골결합이 잘 이뤄지고
크라운 제작 완료가 이뤄졌다면,
보철 세팅으로 마무리하게 되는데요.
우선은 다음 내원 때,
보철 세팅으로 끝내는 것으로
환자분께 설명드렸습니다.
그리고 이렇게 한번 부러짐을 겪었으니
꼭 정기검진을 잘 받으러 오셔야 됨을
한번 더 설명드릴 예정입니다.
아무래도 큰 어금니는
하중을 크게 받을 수밖에 없는 위치입니다.
게다가 임플란트는 자연치아와 다르게
힘을 분산시키는 능력이 없어
강한 충격이 전달되었을 때,
부러짐 확률이 더욱 높죠.
그렇다고 마냥 손만 놓고 있을 수 없죠.
부러짐 및 파절 예방할 수 있는 방법이 있습니다.
첫 번째는 앞서 말씀드린 것처럼
보철을 2개 연결시켜 심는 것.
두 번째는 주기적으로 내원을 통해 검진 받는 것.
세 번째는 보톡스를 사용함으로써
저작 힘을 줄여주는 것.
이중에 하나라도 잘 지켜주신다면,
큰 문제없이 오래 사용하실 수 있습니다.
다음번 수술이 끝마쳤을 때
또 이번 얘기를 전달드리겠습니다.
오늘 포스팅도 읽어주셔서 감사합니다.
임플란트 부러짐 및 파절 예방법이
여러분들께 도움이 되셨길 바라며,
이만 글을 줄이도록 하겠습니다.
더서울 서현역치과
쌍둥이 박현성 원장이었습니다.



치료 기간 : 2021.11.05 ~ 2022.06.09





