태평동치과 임플란트와 부분틀니 보험으로 조금 더 저렴하지만 확실하게

안녕하십니까,
더서울 태평동치과 박현성 원장입니다.
평소 구강 진료 항목에 대하여
진료비에 큰 부담을 느끼실 겁니다.
그래서 조금이라도 통증을 느끼며 아플 때,
빨리 찾아오셔서 치료 받는 게 좋은데요.
질병이 더욱 커질수록
진료 되는 시간 및 비용 또한
비례하여 같이 커지기 때문이죠.
그런데 이렇게 말씀을 드리게 되더라도
직접 겪지 않는 한,
크게 와닿지 않으실 거라 생각합니다.
오늘 소개해드릴 임플란트, 부분틀니 보험 적용으로
여러분들께 조금이라도 와닿게 되는
그런 시간이 되었으면 합니다.
『골소실이 일어날만큼 오랜 방치』


태평동치과 에 찾아오셨을 당시,
첫 내원 구강 상태를 보여드리고 있습니다.
남아있는 치아는 거의 없었으며,
소실된 지 오래되었던 걸까요.
골소실 또한 크게 일어난 것을 확인할 수 있습니다.
한눈으로 봐도 그렇게 좋은 상태는 아니었기에
좀 더 정밀한 체크를 위해
파노라마 엑스레이 촬영을 진행했습니다.
건강 상태가 그리 좋지 못했습니다.
조금 더 자세하게 살펴볼까요?
치조골 소실로 낮아진 폭과
2차 충치로 치아가 많이 썩은 것까지
찾아볼 수 있었습니다.
전반적으로 모든 이가 흔들리고 있었던,
꽤 심각한 상황이었습니다.
여지껏 참고 있으셨는지 여쭤봤는데,
비용 부담으로 참고 있었다 그러셨습니다.
그대로 두게 되더라도
나중에 모든 치아는 떨어지게 될 것인데,
치조골 또한 더욱 폭이 좁아져
뼈이식 후 보철 식립에
들어갈 가능성이 높습니다.
그럼 비용 부담은 더욱 커질 수밖에 없으니
어떻게 해야 저렴히 효과있게 치료하여
환자분을 만족시킬 수 있을지 고민에 빠져 들었습니다.
하염없이 생각을 하던 중,
태평동치과 의료진은
임플란트와 부분틀니 보험 혜택을
적용하여 문제를 해결하기로 했습니다.
그렇게하면 최소 식립 및 비용 절감,
안정감있게 보철을 심어줌으로써
해결이 가능했습니다.
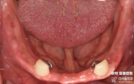
『픽스처 식립』



고정체 식립이 잘 이뤄졌는지
파노라마 엑스레이와 3D CT 촬영을 통하여
얼마나 깊게 단단히 심어졌는지
태평동치과 에서 확인했습니다.
위치나 각 등 계획했던 대로
잘 심어진 것을 볼 수 있습니다.
이제 고정체와 뼈가 결합이 이뤄지길
기다렸다가 크라운을 올려주면
임플란트 수술은 잘 끝나게 됩니다.



부분틀니에 필요한 최소 개수 식립와
크라운 세팅까지 잘 마무리 되었습니다.
이제 남은 것은 부분틀니 제작 및 착용이죠?
해당 진료 역시 보험 적용을
받을 수 있는 부분이라
비용 부담을 덜어낼 수 있어
환자분 마음의 짐을 조금이나마
가볍게 해드릴 수 있습니다.
태평동치과 에서 치료 결과를
전,중,후 3단계로 나눠서
보여드리고 있습니다.
확실히 치료가 끝나고 나니
처음 상태보다 나아진 것을 볼 수 있습니다.
환자분 또한 보험 혜택 적용을 받은 것과
최종 결과가 너무 마음에 든다며,
윗니 아랫니가 서로 부딪히는 게
얼마만이냐며 정말 좋다고 말씀해 주셨습니다.
활짝 미소를 지으며
기뻐하시는 모습을 보았을 때,
저 또한 너무 뿌듯하고 좋았던 사례였습니다.
여기서 포인트는 부분틀니는
보험 적용이 가능하다는 점과
고리로 걸어서 부착하는 형식이라
완전 형태와는 다르게
잘 빠지는 일이 없이
편하게 사용할 수 있다는 점입니다.
그간 사용할때마다 떨어지는 것에
노심초사를 하며 쓰셨을 텐데요.
고리 형태로 임플란트에 걸어서 쓰기에
그런 걱정없이 편히 쓰실 수 있습니다.
끝으로 보철 세팅이 다 끝났더라도
꾸준한 정기검진 및 구강 관리를
열심히 해줘야 된다는 것은
입이 닳도록 말씀드려도 아깝지 않습니다.
다음 내원 때 다시 찾아뵙기로 하면서
그때까지 꼼꼼히 관리 하셔야 된다
당부 말씀을 드리며 진료를 끝마쳤습니다.
오늘 보여드린 임플란트 및 부분틀니 보험 적용
사례 포스팅을 잘 보셨을까요?
여러분들께 도움이 되셨길 바라며
이와 관련된 상담이 필요하실 때,
언제든 더서울 태평동치과 에 연락 주시길 바랍니다.
감사합니다.
박현성 원장이었습니다.



치료 기간 : 2022.02.14 ~ 2022.07.28





