산성역치과 추천 앞니 치아 흔들림 발치 후 임플란트 식립 및 GBR 수술까지

반갑습니다.
더서울 산성역치과
박현성 원장 인사드립니다.
갑자기 치아 흔들림이 나타나셨나요?
혹시 검사받았을 때,
잇몸 문제는 없으셨나요?
치아 흔들림이 나타나면,
높은 확률로 잇몸 문제가 원인이 됩니다.
그래서 스케일링을 주기적으로 받으셔서
치석이 쌓이지 않게끔 제거하는 게 좋죠.
만약 치주 질환이 발생했을 때
이와 같은 문제가 생긴다면,
어떤 상황이 벌어지게 될지 살펴보겠습니다.
코로나가 발병된 이후로
2년 넘게 더서울 산성역치과 에
찾아오지 못하셨어요.
안 그래도 예전에 치주 질환이 있으셔서
꾸준한 관리가 필요했었습니다.
그런데 코로나가 터졌을 때
여러분들도 잘 아실 겁니다.
어디 나가는 것 자체가
불가능했다는 것을 말이죠.
혹시 내가 코로나에 걸리는 것은 아닐까,
잘못하면 큰일 나는 것이 아닐까,
이런 생각으로 출퇴근 외에 외출은
거의 하지 않으셨을 겁니다.
그래서 해당 환자분 역시
그 당시에 치료를 받으려 해도
밖을 나설 엄두가 나지 않으셨기에
집에서 스스로 관리해나갈 수밖에 없었습니다.
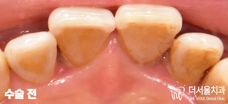
위에서 살펴보면 잇몸이 움푹 꺼져
들어가 있는 것을 볼 수 있죠?
게다가 이가 많이 틀어진 것까지
확인할 수 있습니다.
눈으로 보더라도 쉽게 파악할 수 있듯이
치조골 소실이 일어났을 것이라
산성역치과 의료진은 확신이 들었습니다.
살짝 건드려보면 앞니 흔들림이 심해서
뼈 상태를 봐서 임플란트 수술을
진행해야 될 것 같다는 판단이 섰습니다.
파노라마 엑스레이로 뼈 상태를 확인했을 때,
‘아, 임플란트 식립 받으셔야 되는구나..’
라는 판단이 바로 들었습니다.
특히 21번 앞니는 뿌리를 거의 잡을 수 없을 정도로
뼈 소실을 심하게 겪었습니다.
11, 22 역시 문제가 있는 상황이었죠.
그 옆에 있는 12번 역시 예외 없었습니다.
22번처럼 잇몸이 내려가 있으며,
뼈 소실을 겪었기 때문이죠.
산성역치과 는 환자분께 상황을 설명드리면서
임플란트 식립을 추천드렸습니다.
더 놔두시게 되더라도
나중에 다른 치아에 영향을 줄 수 있어
서둘러 제거해버린 뒤 보철 식립을 하는 게
다른 이들을 지키는 데 도움 된다는 것을
설명드리면서 말이죠.


발치 즉시 식립을 진행하는 데 있어
주의해야 될 사항들을 꼼꼼히 따져보고,
➡골 유도 재생술(GBR)이 필요한 곳은
뼈이식을 진행하여 기반을 튼튼히 다져
흔들림 없이 고정될 수 있도록 만들어 드리기로 했습니다.
단, 앞니 부분이라는 것에 있어
어금니 부분보다 뼈가 얇고
뼈 소실을 겪었기 때문에
두께가 그리 두껍지 않아
미끄러짐을 조심해야 되었습니다.
산성역치과 에서는 해당 진단을 통해
꼼꼼히 임플란트 식립 계획을 수립했습니다.
그 결과는 어땠을까요?
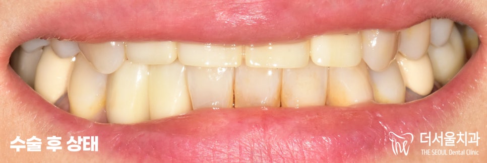
『식립 수술 결과』
앞니 치아 흔들림 발치 후
임플란트 식립 결과는
문제없이 잘 끝났습니다.
틀어져 있던 12, 22번 역시
가지런하게 된 것을 볼 수 있죠?

수술 전 상태를 비교했을 때,
확연히 달라진 모습을 찾아볼 수 있습니다.
환자분 역시 치열이 가지런하게 바뀐 모습에
파노라마 엑스레이를 촬영했을 때도
튼튼히 잘 심어진 것을 확인할 수 있었습니다.
뼈이식해놓은 재료 역시
자리를 잘 잡고 있는 것도 체크할 수 있었죠.
조금 더 자리 잡을 때까지
충분히 휴식을 취하며 안정감 있게
치환될 수 있도록 기다리는 시간을 가지는 게 좋음을
산성역치과 의료진이 환자분께 추천드렸습니다.

미소를 지었을 때,
보이는 모습이 되게 자연스럽죠?
환자분 역시 이런 결과에 만족스러워하셨으며,
역시 꾸준히 다니던 곳에서 치료를 받기를
정말 잘했다는 말씀을 해주셨습니다.
물론 이후에 더욱 꼼꼼한 관리를 설명드리며,
주기적으로 검진받으러 오실 것까지 약속하셨습니다.
이제는 코로나가 종식되었으며,
마스크 착용 또한 해제되었기에
병원을 왔다 갔다 하는 것이 어렵지 않게 되었습니다.
치주 질환이 있으면,
꾸준히 검진을 받으면서 관리하셔야 됩니다.
문제가 있을 때는 서둘러 치주 치료를 받아
치아와 잇몸을 건강히 지켜내는 것을 추천드립니다.
다들 나이 들어서도 건강한 구강을
유지할 수 있기를 바라며,
이번 글을 끝맺도록 하겠습니다.
오늘도 긴 글을 읽어주셔서 감사합니다.
더서울 산성역치과
글쓴이 박현성 원장이었습니다.



치료 기간 : 2022.04.02 ~ 2022.11.19






