판교역치과 잔존 유치 언제까지 사용 가능할지? 발치 후 어금니 임플란트 식립

반갑습니다.
더서울 판교역치과 박현성 원장입니다.
혹시 나이가 들어서도 영구치없이
잔존 유치 로 지내고 있는 분들 계십니까?
원래는 영구치가 밑에서 나오면서
뿌리를 흡수함으로써
교체가 되는 과정이 이뤄집니다.
간혹 영구치 자체가 없어서
그대로 남아있게 되어
계속해서 쓰게 되는 경우가 있습니다.
그럼 대체 언제까지 쓸 수 있을지
궁금히 여기시는 분들이 계셔서
오늘 포스팅을 통하여
답변을 드리려 합니다.
영구치가 없다면,
잔존 유치 는 계속해서 써야 됩니다.
그러다가 어떤 이유에서든 간에
그것마저 빠지게 될 경우,
임플란트 식립 수술 을 받으셔야 되구요.
그런데 오늘 더서울 판교역치과 에서
보여드릴 증례 환자분께서는
연세가 77세 이십니다.
정말 오래 사용하셨죠?
이와 같은 사례처럼
조기 치료가 얼마나 중요한지,
관리를 어떻게 하느냐에 따라
잔존 유치 수명이 달라질 수 있습니다.
정말 그 누구보다 꼼꼼한 케어가 이뤄지면,
평생 쓸 수 있겠죠?
이제 해당 환자분 케이스는
어떻게 치료 받았는지 살펴보겠습니다.
『첫 내원 구강 상태』
우선 육안으로 검진을 진행했을 때,
35번 작은 어금니 소실,
31, 41 앞니 총생을 확인했습니다.
그런데 오늘 보여드릴 주제와 관련된 치아는
대체 어디있냐구요?
파노라마 엑스레이 촬영본으로
같이 보실까요?
육안으로 찾아볼 수 없었던 잔존 유치 를
파노라마 엑스레이를 통하여
찾을 수 있었습니다.
다른 이들과 비교해 봤을 때,
뿌리 크기가 왜소하다는 것을
한눈으로 확인 가능합니다.
그런데 환자분께서는
고연령에 속하는 분이라
노화로 인하여 잇몸 퇴축 및 뼈소실이
일어나는 것을 확인할 수 있었습니다.
뿌리를 잡는 힘이 부족했기에
치아 흔들림이 나타나고 있었죠.
판교역치과 의료진은
발치 후 임플란트 식립 수술을 권장드렸습니다.
환자분께서는
“알겠습니다”
라며 동의를 하셨으며,
대신 꼼꼼히 잘 심어달라는 부탁을 하셨습니다.
이에
“물론이죠. 맡겨주세요 ^^”
라며 저 역시 안심하실 수 있게 대답해 드렸죠.
『45 발치, 35 어금니 임플란트』

우선 판교역치과 에서
흔들림이 있는 45번 잔존 유치 는
발치를 통해 제거하고,
회복이 이뤄지는 기간에
35번은 임플란트 식립 수술을
진행했습니다.
파노라마 엑스레이 촬영으로 보면,
단단히 잘 심어져 있는 보철과
환부가 잘 회복된 것을 확인할 수 있습니다.
그럼 이제 45번 어금니 임플란트 식립 수술
계획 수립에 들어가야겠죠?

➡컴퓨터 분석 프로그램을 통해
판교역치과 는 어떤 식으로
식립 수술 을 진행하면
좋은 결과가 나올 수 있는지
다각도 분석을 통하여
꼼꼼히 살펴보았습니다.
다행스러운 것은
잇몸뼈는 건강했기 때문에
➡뼈이식을 받을 필요가 없었다는 것이죠.

픽스처(고정체) 식립 수술 후,
뼈와 결합이 잘 이뤄진 것을
볼 수 있습니다.
이제는 어버트먼트(지대주)와
크라운을 씌워주면 되겠네요.
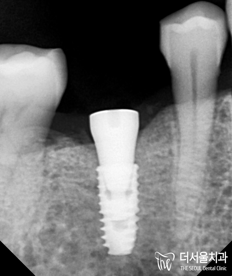
『최종 결과』
잔존 유치 가 있었던 45번 자리에
임플란트 식립이
잘 이뤄진 것을 볼 수 있습니다.
처음 판교역치과 에 오셨을 때,
앞니 쪽에 쌓여있었던
치석까지 스케일링으로
꼼꼼하게 제거해드렸으며,
36번 어금니 충치 또한
파노라마 엑스레이 촬영으로
단단히 식립 수술 이 잘 이뤄진 것을
확인할 수 있었습니다.
환자분 역시 처음에 부탁드렸었던 것처럼
꼼꼼히 잘 심어주셔서 감사드린다는
인사 말씀을 전해주셨습니다.
믿고 맡겨주셨는데,
당연히 좋은 결과로 보답해 드려야죠. ^^
영구치없이 잔존 유치 를 계속 써야될 때
어떻게 관리하느냐에 따라
오늘 소개 환자분처럼
오래 사용할 수 있습니다.
그것은 어떤 치아든지 마찬가지죠.
그만큼 조기 치료 및 예방이
얼마나 중요한 지를 보여드리고 있습니다.
평소 구강 관리를 어렵게 여기지 마시고,
주말에라도 한 번씩 시간을 내셔서
스케일링과 정기검진이라도
받아가시길 바랍니다.
그것만으로 충분히
치아와 잇몸 건강을
오래 보존시켜나갈 수 있습니다.
환자분과는 다음 검진 때,
찾아뵙기로 약속했습니다.
오늘의 글도 읽어주셔서 감사합니다.
더서울 판교역치과 박현성 원장이었습니다.



치료 기간 : 2022.03.23 ~ 2022.09.27




