임플란트 회사 근무 친구에게 성남 치과 추천 받아 어금니 상악 임플란트 까지

만약 주변 지인에게

추천 받아 왔던 병원에서

무사히 치료가 잘 끝나고

좋은 결과를 얻었을 때,

그만큼 좋은 것이 없을 겁니다.

그정도로 건강은 소중하기 때문이죠.

혹시 어제 포스팅했었던

임플란트 회사 근무하는 친구에게

더서울 성남 치과 추천 받아서

아래 어금니 보철 식립했던 증례

기억하실까요?

오늘은 연이어 2탄을 시작해보려 합니다.

마음에 들어요! 윗니도 잘 부탁드릴게요~

환자분의 요청대로

상악 어금니 임플란트 식립까지

수술을 진행하기로 했습니다.

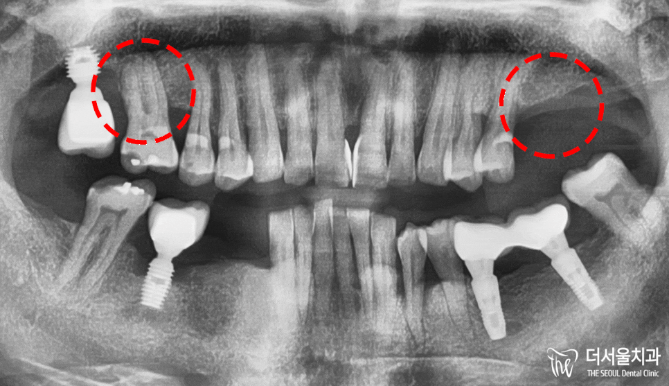
성남 치과 에 첫 내원하셨을 때,

상악 쪽 상태 역시 좋지 않았습니다.

16번은 치조골 소실이 일어나

고정력을 잃고 있었으며,

26, 27번 치아는 이미 상실했었죠.

이미 동요도를 확인했을 때,

심한 흔들림이 있어

빠르게 발치 후 식립이 이뤄지는 게

오히려 더 나은 상황이었습니다.

나중에 떨어질 치아인데,

괜히 놔두는 것보다는

현재 1살이라도 더 젊고 건강할 때

빨리 수술 받는 걸 추천 드릴 수 있죠.

환자분께 차근히 설명드리며

동의를 구한 후,

임플란트 수술에 들어갔습니다.

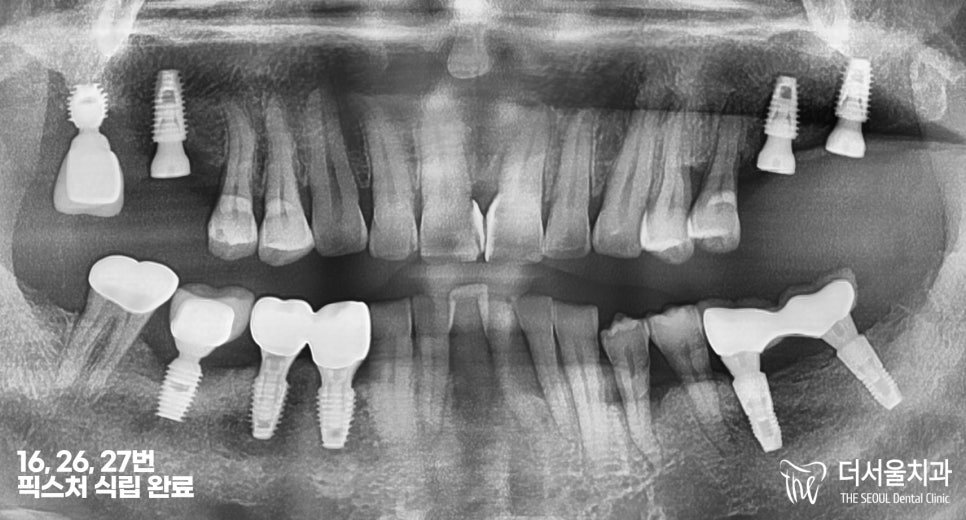
우선 16번 어금니 발치와

26, 27번 픽스처 식립은

잘 이뤄졌습니다.

대신 16번 자리는 어느 정도

골소실이 있었기 때문에

👉뼈이식을 해야 되는 것은 아닐까

그런 생각이 들었는데요.

성남 치과 에서 좀 더 정확한

판단을 내릴 수 있도록

👉컴퓨터 분석 프로그램으로

상황 분석 및 시뮬레이션을

돌려보기로 했습니다.


성남 치과 에서 컴퓨터 분석 프로그램으로

시뮬레이션을 돌려보았습니다.

뼈이식을 하실 필요는 없습니다만,

미끌림에 주의할 필요는 있었습니다.

이렇게 교합까지 꼼꼼히 신경써서

어금니 임플란트 식립

계획을 수립하여

수술을 진행했습니다.

픽스처 식립은 잘 마무리되었고,

뼈와 잘 결합이 이뤄지는 기간을

기다려야 되었습니다.

약 한달이라는 기간에 걸쳐

꼼꼼히 관리하고 신경쓰셔서

잘 붙은 것을 체크했습니다.

결과

깔끔하게 잘 심어졌죠?

다만 26, 27번처럼 나란히

붙어있었으면 더 좋았을 텐데,

타 원에서 심으셨던 17번은

16번과 거리가 멀어서 아쉬웠습니다.

환자분께서 이번 수술 역시

결과에 크게 만족하셨으며,

추후에 문제가 생겼을 때,

더서울 성남 치과 에

다시 찾아오신다 그러셨는데

말씀만으로도 너무 감사드리죠. ^^

그래도 재수술은 좋지 않기 때문에

의료진은 지금 보철을 꼼꼼히 관리 잘하고

오래 사용하실 것을 추천 드렸습니다.

확실하게 👉주의할 사항을 알려드리며,

해당 부위는 이런 식으로

관리하는 게 좋다는 것을

꼼꼼히 안내해 드렸습니다.


이것으로 상악 어금니 발치 및 임플란트 수술 역시

무사히 잘 끝나게 되었습니다.

끝에서 항상 거듭 말씀드리는 것이지만,

꾸준한 검진을 받으시는 게 중요합니다.

문제가 생겼을 때 대처하면,

이미 늦었을 가능성이 높습니다.

그러므로 평소 청결한 구강 케어가

지속적으로 이어질 수 있게끔

노력하셨으면 합니다.

이상, 더서울 성남 치과

박현성 원장이었습니다.

언제든 궁금하신 것이 있다면,

문의 바랍니다. ^^

치료 기간 : 2022.02.17 ~ 2022.08.25

답글 남기기

Your email address will not be published. Required fields are marked *.

*
*
You may use these <abbr title="HyperText Markup Language">HTML</abbr> tags and attributes: <a href="" title=""> <abbr title=""> <acronym title=""> <b> <blockquote cite=""> <cite> <code> <del datetime=""> <em> <i> <q cite=""> <s> <strike> <strong>

Copyright © 2025 더서울치과. All Right Reserved.
BACK TO TOP