치아 염증 어금니 발치 후 임플란트 크라운 보철 치료 수정구치과 추천 받아 왔어요

구강 내에 어떠한 작은 문제가 있으면,
이를 그대로 두지 말고
빠르게 처치하는 게 좋습니다.
원래 조그만 것이 서서히 눈덩이처럼
불어 커지기 때문이죠.
나중에 치료를 받는다 한들
후회하는 경우가 많습니다.
통증이나 비용이 많이 들어서
그럴 수 있겠지만,
그보다 더 후회하는 것이
재생되지 않는 치아 잇몸 때문이죠.
건강은 돈으로 주고 살 수 없을만큼
중요하게 여겨야 되는 부분입니다.
그래서 더서울 수정구치과 는
구강 검진을 중요시 여기고 있습니다.
오늘 보여드릴 사례는
구강 내 상태가 정말 심각하여
다수 임플란트 및 크라운 보철 식립을
진행하는 환자분 사례인데요.
어금니 뿌리 쪽에 염증 증세가
심한 곳도 있었는데,
얼마나 좋지 않았는지 살펴볼까요?
『첫 진료』
처음 더서울 수정구치과 를 내원해주셨을 때,
구강 내 상태는 이러했습니다.
우선 윗니를 살펴보면,
14, 15번 어금니 는 상실되었습니다.
또, 24번은 아예 이가
깊숙히 패여있는 것을
확인할 수 있었죠.
아랫니 또한 마찬가지였습니다.
36,46번 어금니 모두 상실했고,
36번에는 잔존 치근 잔해만
남아있었는데요.
전반적으로 좋지 않았습니다.
곳곳에 파절 및 마모된 것들이 많아서
서둘러 해결하지 않으면,
많은 치아 를 잃게 될 가능성이 높죠.
여기서 그치지 않고
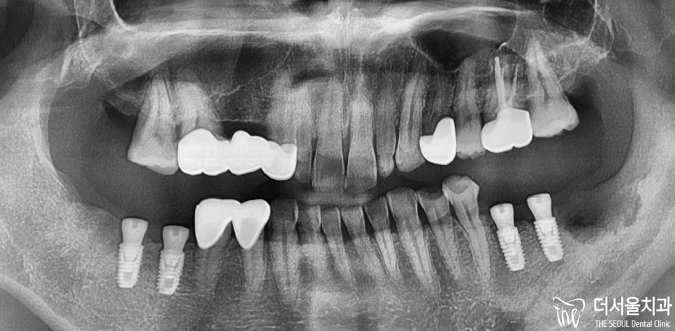
수정구치과 는 좀 더 자세히 파악하려
파노라마 엑스레이 촬영을 했는데요.
실제 구강 속을 살펴봤을때도
그리 좋지 않았었는데,
파노라마로 보면 더하네요…
특히 37, 38번 뿌리 부분에
시커멓게 변해버린 것을 볼 수 있죠?
이미 염증 이 심하다는 것을
확실히 보여주고 있으며,
치아 고정력이 떨어져
심하게 흔들리고 있었습니다.
그리고 오랜 시간 방치해서 그런지
치아 들이 옆으로 쓰러져 공간이
부족하다는 것을 확인할 수 있습니다.
어금니 및 👉사랑니 발치 후 임플란트,
크라운 보철 치료를 해야될 것들 등
수정구치과 에서 처치해야 될 게 많았습니다.
우선 문제되는 이를 발치 하고
👉컴퓨터 분석 프로그램을 이용하여
수술 계획을 수립했습니다.




40번 대는 크게 문제될 것이 없었는데,
30번 대는 염증으로 인한 골소실이 있어
식립에 있어 조금 더 신중을 기해야 될
필요가 있었습니다.
그치만 뼈이식을 할 필요는 없었기에
그리 어렵지 않게 진행할 수 있습니다.

양쪽 아래 어금니 부분에
픽스처를 식립이 잘 이뤄졌습니다.
물론 픽스처를 식립하면서
윗니 크라운 보철 치료를
함께 진행해줬죠.
10번대는 브릿지를,
24번 파절된 치아 는 크라운,
26번은 교합을 위해 보철 치료 를
수정구치과 에서 해드렸습니다.
이후 뼈와 고정체의 결합이
잘 이뤄지기를 기다린 뒤,
상부 보철물 세팅을 해드렸습니다.
『결과』


👉어금니 발치 후 임플란트,
크라운 보철 등
다수의 치료 가 끝났습니다.
수정구치과 에
처음 내원하셨을 당시
모습과 비교했을 때,
많이 개선된 것을 볼 수 있습니다.

파노라마로 체크했을 때도
안정감있게 뼈와 잘 고정되었으며,
크게 비틀어졌던 교합 역시
올바른 형태로 진행될 수 있게끔
개선된 것을 볼 수 있습니다.
환자분 역시 이번 결과에
크게 만족하셨는데요.
이제는 윗니 아랫니가 서로 잘 맞닿고
크게 불편했던 것이 싹 없어져서
많이 편해져서 좋다고 하셔서
저 또한 기분이 좋았습니다. ^^
이렇게 치아 파절 및 상실이 있으면
살릴 수 있는 것을 살리며,
발치 해야될 것은 빠르게 뽑아서
처치하는 게 좋습니다.
늦을수록 큰 수술을 받게 될 수 있고
임플란트 뿐만이 아닌,
뼈이식까지 감행해야 될 수 있습니다.
그리고 염증 이 있을 때는
잇몸 붓기, 고름, 구취 등
이상 증세가 나타나니
꼭 늦지 않게
치료 받을 수 있기를 바랍니다.
무엇보다 예방하는 것이 중요하므로
꾸준한 정기검진은 잊지 않으시길 바랍니다.
더서울 수정구치과



치료 기간 : 2022.07.08 ~ 2022.12.22




