과개교합 교정, 얼굴형 변화를 가져다 줄 수 있을까?

안녕하십니까, 치과 전문의 박현준 원장입니다.
오늘 말씀드린 주제는 바로 과개교합 이라는 건데,
윗니가 아랫니를 과하게 물고 있음에 따라서
아랫니가 거의 가려지거나, 1/3 가량밖에
드러나지 않을 때를 말합니다.
영어로는 Deep bite 라 부르면서, 단순히
심미성을 떨어트리는 것으로 끝나는것이 아니라
적시에 치료를 하지 않는다면 치아에 문제를
일으킬 수 있는 것이 또 과개교합 입니다.
그래서 이럴 때는, 교정 을 통해서
치열을 개선하며 윗니와 아랫니가 맞물리는
위치를 이동시킴에 따라서 기능과 심미성을
동시에 해결할 수 있겠습니다.
"선생님, 저 과개교합 이라는데
치료 받아야 되는거예요?"
라는 주소로 정기검진 차 내원을 하셨다가
교정 치료를 진행하셨던 분의 실제 증례입니다.

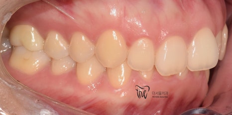
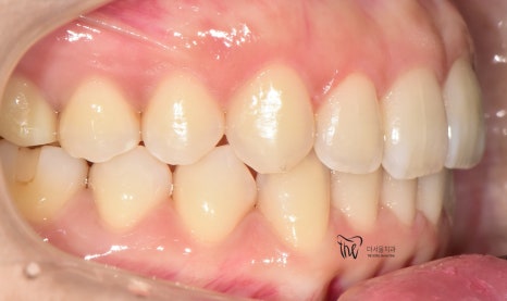
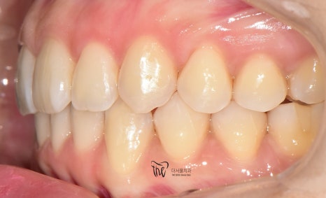
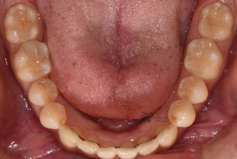
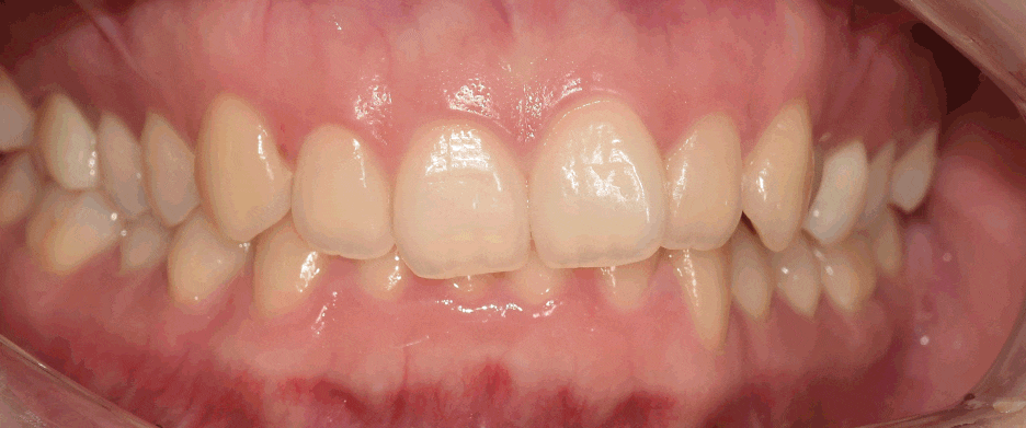
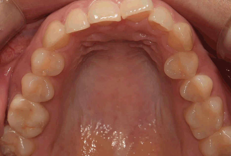
구강 내 사진을 먼저 보여드리면, 윗니가
아랫니를 깊게 물고 있어서 아랫니가 거의
눈에 띄지 않는 것을 보실 수 있습니다.
딱, 전형적 과개교합 의 양상을 보여주고 있습니다.
그러면서 치아의 중심선이 맞지 않으면서
악궁의 크기 또한 비대칭인것을 볼 수 있네요.

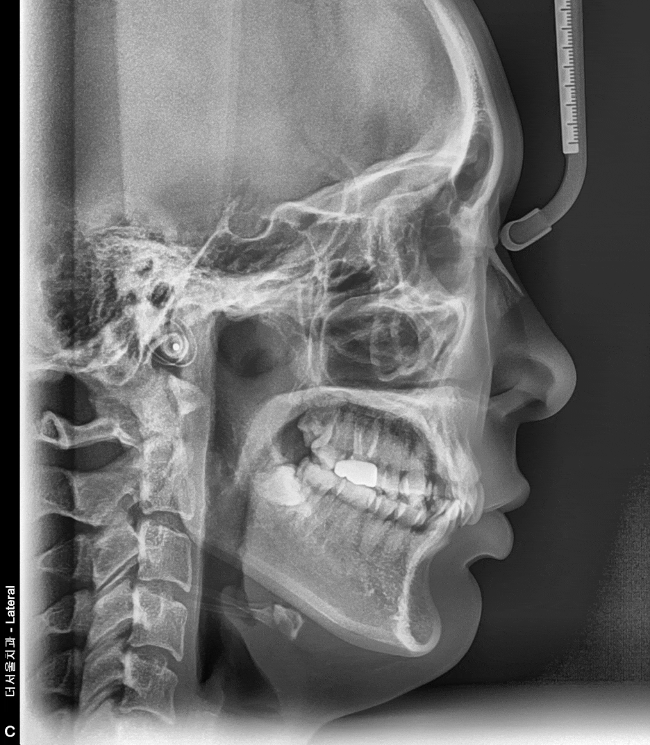
게다가, 측면 Ceph 사진을 봤을 땐
앞니가 그렇게 뻐드러져 있는 느낌은
받을 수 없습니다.




그리고 이렇게 과개교합 이 나타나는데에는
여러가지 이유가 있을 수 있는데,
가장 큰 원인중에 하나가 바로
원래 맞물려야 될 곳이 맞물리는게 아니라
엉뚱한 곳에서 맞닿기 때문에
깊게 물리는것이라 볼 수 있습니다.
(이는, 전체 틀니를 만들 때 고려하는
Vertical demension 과 연관이 있습니다.)
또 쉽게 생각을 하면, 단순히 앞니를 압하시키면
그만 아니냐.. 라 하는 분들이 있는데
압하시키는게.. 여간 쉬운 일은 아니거든요?
애초, 근본 원인은 찾아내서 그를 중점적으로
진료를 해야지 단순히 이를 뼈 속으로 집어넣어서
과개교합 상태를 개선시킨다 한 들
근본 원인은 구강 내 그대로 남아있기 때문에,
추후에 다른 곳에 과한 마모나 치아 크랙이 쉽게
갈 수 있는 상황이 됩니다.
『선생님, 근데 교정 하면 얼굴형이
바뀔 수 있나요?』
환자께서, 이런 질문을 하셨는데 사실 진짜
많이 묻는 질문중에 하나입니다.
예로, 사랑니를 뽑으면 턱이 갸름해지나요?
라는 맥락과 비슷한건데..
답변은, ‘아니요.’ 입니다.
물론, 얼굴형 변화가 있는 경우가 있긴한데
단순 치열 변화에 따라서 나타나는 입술의
긴장감 해소 정도로 보는것이 맞겠습니다.
또는, 어릴 때 턱 성장 조절을 하게 되는
경우에는 큰 변화를 가져다 줄 수 있으나
다 큰 어른이, 했을 때는 양악수술을
하지 않는 이상에는 얼굴형이 크게 변화되지는
않습니다. 마치, 사랑니를 빼도 턱의 형태는
그대로 유지되는 느낌이라 보면 되겠습니다.
다만, 반듯한 치아들은 마주보고 있는
사람으로 하여금 가지런한 인상을 심어줄 수
있다는 장점 및 구강 위생 관리가 용이해진다는게
교정 치료의 목적이기 때문에 이를 중점적으로
고려하는 것이 오히려 더 도움이 될 수 있습니다.
『인비절라인 진단 및 시뮬레이션』
올려드린 5개의 중첩사진을 보면,
단순히 압하로 끝날 문제가 아니라는 것을
볼 수 있으면서 클린첵 시뮬레이션에 따라서
치열 및 악궁의 확장에 따른,
그리고 이가 맞물리는 포인트의 위치 변경에
따라서 과개교합 증세가 개선이 되는 것을
한 눈에 볼 수 있습니다.
이렇게, 교정 치료를 해두면 한 쪽에 쏠려있던
힘이 분산이 되기 때문에 자연치아의 수명 또한
연장을 할 수 있습니다.
그러면서, 총생이 있는 울퉁불퉁한 곳의
구강 위생 관리까지 편해지니
치주염이 걸릴 가능성이 또 낮아집니다.
『교정 치료 시작!』

시뮬레이션 결과를 그대로 입 속에
접목을 시켜드리려면 인비절라인 장치 뿐만이
아니라 어태치먼트 및 실버버튼(고정원)을
부착시켰습니다.
서로간의, 상호작용에 따라서 밀어내며
당기는 힘을 발생시켜서 예쁜 치열을 만들게 됩니다.
『최종 결과』





과개교합 교정 치료기간은 대략, 11개월 가량이
소요되었습니다. 생각보단 빨리 끝났죠?
이렇게, 치료가 끝맺음이 되면서
환자께서 하셨던 말씀이
“선생님, 저 치아가 더 만들어진 거 같아요 ㅋㅋㅋ
되게 음식이 잘 씹히네요?” 라는 말씀을 하셨죠..
이 말은 곧 한쪽으로만 치우쳐서 음식을
씹어드셨다는 얘기…
이 뜻은 결국, 특정 치아들이 구강 내에서
발생되는 모든 힘을 견뎌내왔다는 말입니다.
즉.. 수명 단축이 되고 있었다는거죠..

그런 의미로, 밝은 스마일^^
글을 끝으로, 이렇게 치열의 변화에 따라서
우리 구강내에서 가져갈 수 있는 이점들이
정말로 많습니다.
뭐, 보셨겠으니까 이제 아시겠으나
단순히 예뻐지려? 하는 이유는 기본입니다.
어쩌면, 정상 위치에 있어야 될 이들이
제 위치를 찾아가니 예뻐지는 것은 당연한 것.
나아가, 올바른 기능 부여 및 구강 위생 관리가
용이해지는 것이 더 큰 장점으로 꼽힙니다.
사실, 이건 겪어보질 않으면 와닿지 않는 부분이라
어찌 말씀드릴 수 있는 필링이 없네요.
자 이렇게, 사진의 변화를 보니
어떤식으로 구강 내 환경이 변화되는지를
한 눈에 보실 수 있을겁니다.
감사합니다, 글쓴이 박현준 원장이였습니다.





치료 기간 2020.04.08 ~ 2021.05.18