치아교정 후회 하는 분들은 꼭 보셔야 될 글입니다, 먹튀치과 에 관련 된 글이거든요.

저번주 쯤에 적었던 글이 하나 있습니다.
그리고, 관련 된 뉴스 기사 1건을 보여드렸었죠.

또 과거에는 유튜브에 관련 영상을 찍어서
올린 적이 있었습니다.
보통, 의료사고 또는 환자의 부주의가 아닌 이상에는
치아교정 치료던 어떤 치료던간에 해당 환자를
맡았던 치과에서 책임을 지는것이 마땅합니다.
그쵸?
근데, 막상 이런 일이 벌어졌을 때는 의사들이
나몰라라 하는 경우가 상당히 많죠.
결국, 소위 말하는 ‘먹튀치과’ 라는 뉴스기사가
떠돌았으며 안 그래도 치과에 관련되어서
대중들의 인식이 그리 좋지 않은 것은 충분히
인지는 하고 있으나, 이런 일이 벌어진다면
보이지 않는 곳에서, 열심히 제 갈 길을 가고
있는 치과의사들이 김이 빠질 수 밖에 없습니다.
저 또한, 이런 뉴스를 접했을 때는
많이 속상합니다. 어떻게, 믿고 돈을 낸 환자에게
저런 행동을 일삼을 수 있는가?
『선생님.. 저 다니던 치과가 없어졌어요..』
라는 주소로 더서울치과에 오셨던 분이 있었습니다.
꽤나 오래 된 사연입니다.
이 분은, 강남권에 있는 어떠한 병원에서
치아교정 치료를 받으셨는데 후회 를 너무
많이 하고 있다는 식으로 얘길 하셨습니다.
근데, 다니던 병원이 하루 아침에 없어졌다?
이건 사실 환자께서 후회 를 하실 문제는 아닙니다.
결국, 왜 치아교정 치료를 시작했는지는
정확히 알 수 없으나 예뻐지려 했다던지
또는 교합관계가 맞질 않는다던지,
여하튼 기능적 문제나 또는 심미적 문제를
안고 계셨던 분이기에 그러한 문제들은
개선시키고 싶은 마음밖에 없으셨을겁니다.
근데, 결국 후회 만 남은 상태로 더서울치과에
오셨으며 비용 또한 이전 병원에 다 지출을
하셨다 말씀을 하셨습니다.
이 분은, 교정장치를 달고 있는 상태로 오셨는데

어딜가더라도, 이 장치를 제거해달라 요청을 하여도
그 요청을 받아주는 곳이 없다 말씀을 하셨습니다.
그럴 법 한게, 책임을 지기 싫거든요.
근데, 저는 이 교정을 제가 이어서 쭈욱
진행을 해드리려고 했었는데 환자께서는
‘괜찮아요 선생님, 저 그냥 마지막 단계만
잘 끝내고 그냥 교정기를 떼고 싶어요.’ 라
말씀을 하셨습니다.


저는 사실 아쉬웠었습니다.
근데 어쩌겠습니까? 환자께서 요청한 바에
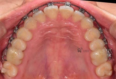
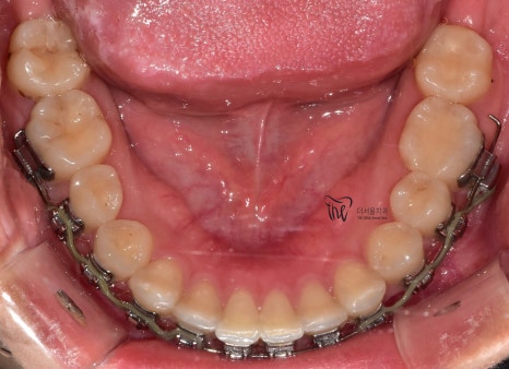
따라야 되는데 교합면 사진을 보게 되면
뭔가 전체 치열 자체는 고르게 느껴지죠?
근데, 이거 다 끝난게 아닙니다.
아직, 치아 얼라이먼트가 완성이 되지 않았습니다.
치아 얼라이먼트라는 것은 치열이 U 자 형태로
둥글게 악궁을 형성하고 있어야 되는데 살짝살짝
군데군데 아쉬운 점이 남아있습니다.


그러면서, 치아 레벨링이 완성이 되질 않았습니다.
레벨링 이라는 것은 위, 아래 치아들을 동시에
놓고 봤을 때의 가지런함을 뜻합니다.
여러모로.. 아쉬운점이 많았으나
그냥 후회 만 남아서 치아교정 치료를 중단을
요청하셨던 분..
지금은 잘 살고 계실지 궁금합니다.^^;
언제든지 편하게 오셔서, 얘길 나눠도 된다고
안내는 드렸었는데 제 말은 기억하실지는..
『이런 곳은 꼭 피하는 것이 좋습니다.』
제가 영상에서도 말씀을 드렸는데
첫번째, 가격할인을 자주 하는 곳은 피할 것
두번째, 담당 원장이 자주 바뀌는 곳은 피할 것
세번째, 상담 당일 바로 발치를 하는 곳은 피할 것
이렇게 3군데의 치과는 꼭 거르시는 것을
권장드리는 바
반드시, 대표원장이 직접 상담을 하며
대표원장한테 받으시는 것이 좋습니다.
왜냐하면, 치과가 경영상 어려워지는 게
아닌 이상은 주치의가 바뀌지 않기 때문입니다.
저는, 한 자리에서 이제 햇수로는 7년차네요.
앞으로 20년간 이상은 제 자리에서 머무를
예정입니다.^^

치료 기간 2021.01.03 ~ 2022.08.14