개방교합 교정 Open bite, 어금니가 닿는데 앞니는 뜬다고?
개방교합 교정 치료를 받으러 오시는 분들이
꼭 하는 말씀이 있죠.
"선생님, 저 면을 끊어 먹어 보고 싶어요."

근데 진짜 맞아요.
개방교합 을 갖고 계신 분들은 어금니들은
맞닿고 있는데 앞니는 벌어져 있기 때문에
면을 드실 때 혀를 이용해서, 끊어먹어야 되는
불편함은 존재합니다.
근데, 꼭 이런 이유 때문에 교정 치료를
받아야 되는가?


아니죠.
개방교합 증세를 가지고 있다면,
꼭 체크해야 될 것이 구강 내 치아들의
씹는면들입니다.
왜냐하면, 구치부쪽의 조기접촉에 따라서
앞니들은 전혀 닿지 않는다는 것인데
이 말은 곧, 일부 치아들끼리만 맞닿기 때문에
씹는힘이 집중되어 수명이 빠르게 줄어들고
있다는 상황이라는 겁니다.
그래서, 개방교합 을 갖고 계신 분들은
30대 후반이나 40대 쯤이 되었을 때부터
어금니 쪽의 통증을 호소하는 경우가 있으며,
남들보다 빠르게 임플란트 시술을 받게 되는
경우가 있습니다.
근데, 근본 원인이 해결되지 않으면
사실상 임플란트를 한다 한들 그 예후가
그렇게 좋지는 않습니다.
금방 또, 문제가 나타날 가능성이 농후하죠.
그래서, 우리는 가지런한 치열을 가져야 되는
궁극적 이유로는
1) 심미적으로 보기 좋다.
2) 올바른 저작기능을 낼 수 있다.
3) 구강 위생관리가 용이하다.
이렇게 3가지로 분류를 합니다.
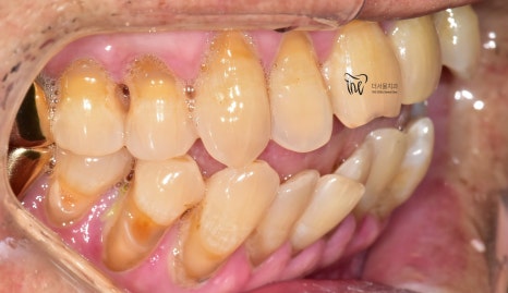
『개방교합 사진』

이 분은 과거 더서울치과에 찾아오셨던 분입니다.
치아 상태를 보면, 나이가 어느정도 있다는 것을
바로 직감할 수 있고, 딱 봤을 때 전형적인
개방교합 형태를 가지고 계셨었습니다.
여기서 크게 문제를 삼는다면,
1) 치경부 마모증 증세 확인
2) 잇몸이 내려가 있다
3) 구강 위생 관리가 전혀 되고 있지 않음
4) 개방교합
이렇게 3가지로 볼 수 있습니다.


그리고, 오랜 시간 치주염을 앓아오셨기 때문에
잇몸 퇴축 뿐만이 아니라 치조골의 위축 또한
상당히 진행 된 채로 오셨었죠.
치열 불규칙성에 따라서, 치석이 많이
쌓여있는 것을 볼 수 있으며 잇몸에서는
고름들이 흘러나오고 있는 상황이였었습니다.


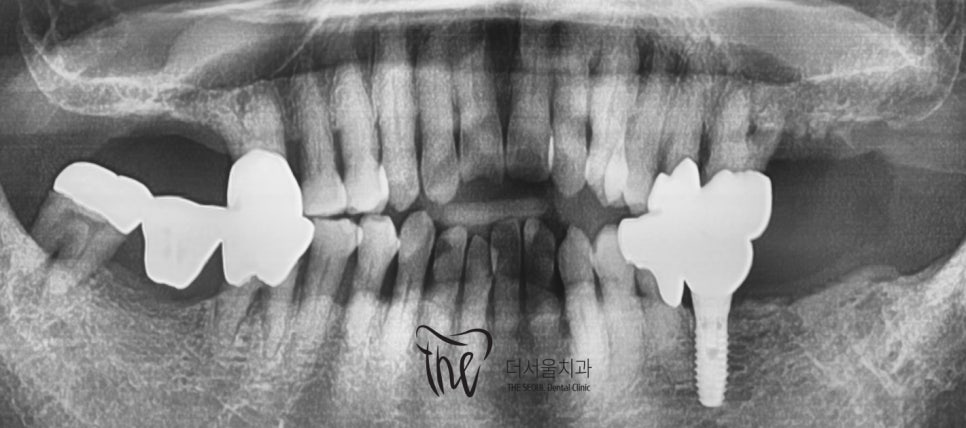
나아가, 측면에서 찍은 사진들을 보면
앞서 설명드린 내용들이 그대로 드러나죠.
어금니들쪽을 보면, 잇몸과 가까운 치경부쪽에
다 파절증의 증세를 보여주고 있으며
이미 임플란트 시술 또는 크라운 보철이
다 수복이 되어 있습니다.
이 말은, 이미 과거 상당히 마모 현상이
진행이 되었을테고 이에 따라서 이 시림 현상이나
통증을 느끼셨기 때문에 보철 치료로
대체를 하신 것으로 소견됩니다.
무섭죠?

이 분은, 대략 1년 가량 치료기간을 잡고
진행을 하기로 하셨습니다.
이미 나이가 어느정도 있는지라,.
굳이 개방교합 교정 은 받기 싫다 하셨으며
잇몸치료 및 치아 결손 부위의 임플란트 대체로만
진료를 받기로 하셨었습니다.
『오늘 정리』
가지런한 치열을 갖고 계신 분들은,
정말로 복 받으신 분들입니다. (부럽습니다.)
여하튼, 꼭 개방교합 이 아니더라도
이 글을 읽는 분들중에서
- Deep bite (이가 깊게 물리는 것)
- Malocclusion (이가 거꾸로 물리는 것)
와 같은 증세가 있다면, 하루 빨리 가까운 치과에
가셔서 상담부터 먼저 받아보는 것을 권장드립니다.
지금은, 별 다른 자각증세가 없더라도
가까운 미래에 원치 않는 증세들이 나타남에 따라
삶의 질이 저하 될 수 있습니다.

치료 기간 2020.03.01 ~ 2021.05.01