치아교정 턱관절, 서로 어떤 관계가 있는가? feat.개방교합 치료 증례
바로 직전에 적었던 글입니다.
개방교합에 관련되어서, 과거 찍어놨던
유튜브 영상 및 관련 링크로 설명을 드렸었죠?
이어서, 더서울치과에서
7년 가량 오랜 시간을 함께 했던 직원의
개방교합 진료 사례를 보여드리려 합니다.
그리고, 더불어 치아교정 및 턱관절 은
서로 어떤 상관관계가 있는가? 에 관련 되어서도
같이 얘기를 풀어보겠습니다.
『치아교정, 그리고 턱관절 뗄레야
서로 뗄 수 없는 존재들
마치, 톰과 제리 같은…』
턱관절 은 영어로,
Temporomandibluar joint 라 부릅니다.
여러가지 해부학적 구조물들과 더불어서,
여러가지 근육들이 이어져 있는 아주 복잡한
인체 구조중에 하나입니다.
근데 이게 왜 치아교정 치료와 연관이 있는가?
사실, 예전부터 이어져 온 뜨거운 감자입니다.
즉, 해당 주제를 가지고 수 많은 석학들의
논쟁이 이어졌었는데 정답은 없습니다.
최근들어서는, 턱관절 및 치아교정 이 서로
상관관계가 없다 라는 내용이 조금 더
힘을 받는 추세이긴 합니다.
근데 거꾸로 말씀드려볼게요.
- 부정교합 (Malocclusion)
- 개방교합 (Open bite)
- 과개교합 (Deep bite)

등을 갖고 계신 분들은, 턱관절 에 악영향을
줄 수 있습니다.
즉, 이것들은 치아교정 치료를 받음으로서
교합관계가 개선되기 때문에 턱관절 에
문제가 일어나는 것을 어느정도 예방을
할 수 있는 것은 명백한 사실입니다.
다만, 처음에 말씀드린 치아교정 과의
상관관계에서는 진료가 끝난 뒤에
나타나는 부작용과 연관지어서 말씀드린
부분입니다.
이건.. 사실 얘기를 드리려면
끝도 없기 때문에 여기까지 간략히
말씀드리며 더 궁금한 점이 있다면
따로 댓글을 남겨주세요.
답변드리겠습니다.
『사례 설명』
이제, 이어서 관련 된 임상증례로
설명드리겠습니다.
앞서 말씀드린 내용처럼, 오늘 주인공은
바로 저희 치과에서 오랜 기간 근무를
했던 선생님의 증례입니다.

먼저, 턱관절 사진을 보여드릴게요.
표기를 해 둔 곳의, 뼈 단면을 보면
많이 폭경이 얇아진 것을 볼 수 있습니다.
원래부터 그랬을까요?
아뇨, Open bite 를 갖고 있기 때문에
나타난 부작용 중에 한가지인, 마모 현상입니다.
원래는, 통통했을겁니다.
근데, 본인이 가지고 있는 교합관계에 따라서
이러한 문제들이 나타난 겁니다.

아마, 시간이 더 흘러서 제때 치아교정 을
받지 않았더라면 그때는 구강내과의 도움을 받아
전혀 다른 영역에서 치료를 하게 될 수 있죠.
뭐 예를들어서,
- Anterior disc displacement without reduction 과 같은 비정복성 관절원판 내장증
같은 증세들이 나타날 수 있습니다.
결국, 만성질환으로도 이어질 가능성이
농후했었던 상황이였습니다.





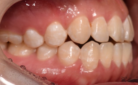
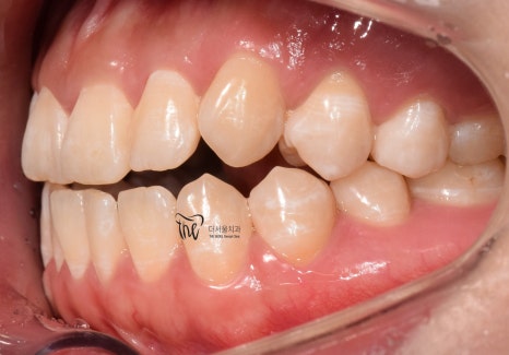
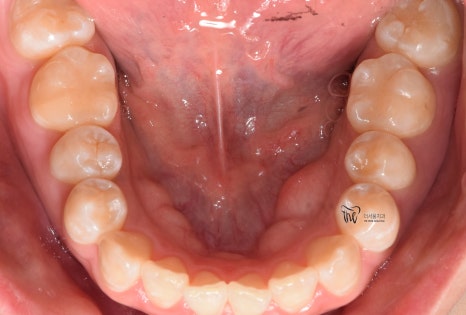
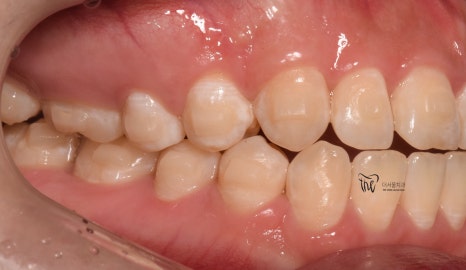
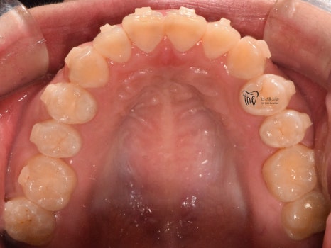
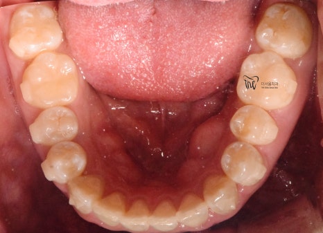
구강 내 사진을 보면, 전형적인 Open bite 의
형태를 띄고 있는 것을 보실 수 있습니다.
그 정도는, 그렇게 심하지는 않으나
치아교정 을 받지 않는다면 턱관절 에
더 큰 문제를 일으킨다는 것을 본인 스스로도
잘 알고 있었기 때문에 저에게 진료를
의뢰했었습니다.
『인비절라인 치료 진행』
그리고, 저희 병원에서의 특기죠.
인비절라인.
투명장치로 치료를 받기로 했고,
저와 호흡을 맞춰서 후딱후딱
정밀진단부터 시작을 했으며
어태치먼트들 부터 부착을 해나갔습니다.





치아의 면에, 뾰족뾰족 튀어나온 것들이
바로 어태치먼트들입니다.
이게, 투명 템플릿과 만나서 올바른 치열의
형태로 탈바꿈 될 수 있도록 돕는 핵심 역할을
합니다.
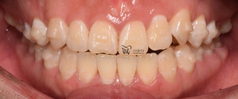
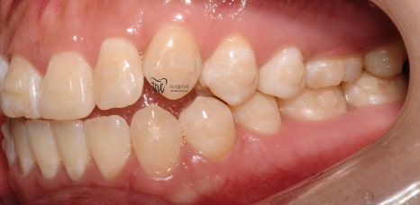
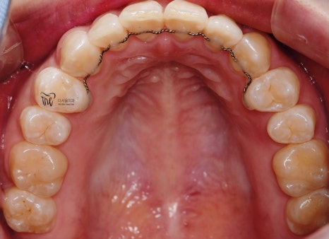
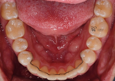
『치료 종료』
그리고, 다른 환자들과는 다르게
정기검진을 할 필요가 없었죠?
매일 보니깐요.





즉, 저와 늘상 가깝게 지내면서 치열의
변화를 같이 지켜봤으며 인비절라인
치아교정 치료를 이어나간 결과
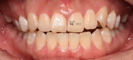
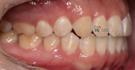
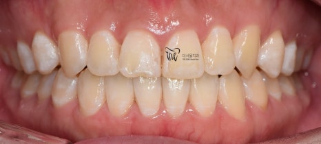
이제 윗니가 아랫니를 겹치게 덮는 모양이
나오게 되면서 치료를 끝마치게 되었네요.

물론, 해당 교합관계는 재발이 잘 되기 때문에
시간이 오래 흘렀을 때도, 꾸준히 검진을
받으면서 관리를 받아야 됩니다.
그러면서, 어느 단계에서부터 턱관절 통증 및
뻐근함이 거의 다 사라졌다는..
이것은, 두마리 토끼를 같이 잡았다.^^
『인비절라인 클린첵 시뮬레이션』

클린첵 시뮬레이션을 응용하면,
여러가지 결과들을 시각화 해서 볼 수 있습니다.


육안검진으로는, 절대 뒤쪽에서 앞쪽을
바라보면서 진단을 내릴 수 없죠.
이렇게 3D로 구현을 해서, 한 눈에
현재 상황을 판단 할 수 있게 도와줍니다.


그러면서, 치아들끼리 어디가 맞물리는지를
볼 수 있는데 이런 데이터들을 바탕으로
어태치먼트들의 형태나 모양을 설계하며,
어떤 식으로 치열 변화를 일으켜야 좋은 결과를
가져다 줄 수 있는지를 볼 수 있습니다.^^

치료 기간 2021.01.03 ~ 2022.05.01