찌릿찌릿 아픈 어금니 충치치료, 신경치료 후기를 담은 글이예요.
안녕하십니까, 박현준 원장이예요.
오늘은 평소 찌릿찌릿 아픈 느낌이 있어서
더서울치과 오셨는데… 어금니 충치치료 진행 및
신경치료를 했던 임상 증례를 설명드릴게요.
그러면서, 신경치료 후기 내용도 같이
담아두었으니 끝까지 읽어보길 바랍니다.^^
"선생님, 저 밥 먹을 때 마다
쮜리리리릭 거립니다."
라는 주소로 더서울치과에 오셨던 분..
표현력이 풍부하셨던 분으로 기억됩니다.

그러면서 구강 내 육안검진 과정에서
잇몸 퇴축에 따라서 뿌리가 많이 드러나 있는
것을 볼 수 있습니다.
이렇게 되는데는 여러가지 이유가 있겠죠?

충치 발생, 신경관과 가까이 접근 되어 있습니다.
그리고 또 하나.
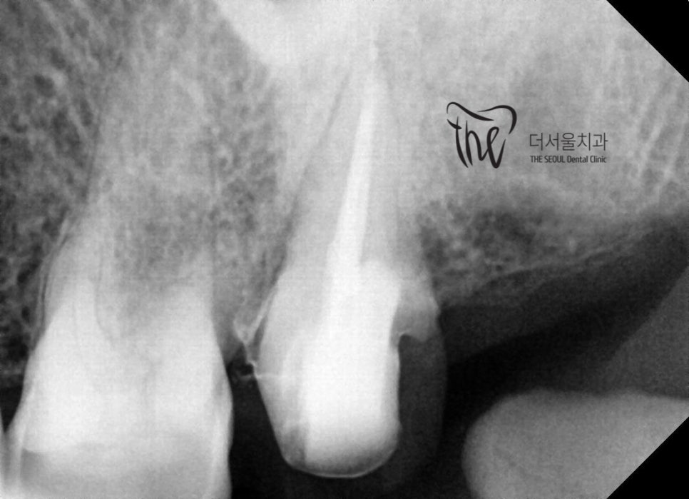
해상도 높은 방사선 사진을 찍어서 보면,
사랑니와 사이에 Proximal caries 가
발생이 되어있는 것을 볼 수 있었습니다.
사이 충치.. 라 부르죠?
영어로는 Proximal caires 라 부릅니다.
육안검진에서는 쉽게 발견을 할 수 없기
때문에 이렇게 엑스레이를 찍어야
판독을 할 수 있습니다.
이 분의 경우, 사랑니 맹출에 따라서
큰 불편함을 못 느끼셨기 때문에 이런 지경까지
오시게 된 거 같은데, 사실 이런 분들이
정~~~말로 많습니다.
게다가 우리 구강 내에서 가장 뒤쪽에
위치 된 곳이라서 청결을 유지하는게 어려워서
자주자주 치과에 오셔서
검진을 받으셔야 됩니다.

씹는면에서 보면, 충치가 눈에 안 띕니다.
『어금니 신경치료 진행』

사랑니를 먼저 발치를 한 다음에,
술자가 이제는 측면에서 접근이 가능합니다.
따라서, 클램프 및 러버댐을 건 뒤에
곧바로 충치치료를 진행 한 뒤에 신경치료를
진행하고 있는 사진입니다.
이렇게 하는 이유는, 방습환경을 갖춘다는데
의의가 있죠. 해당 내용은, 제가 일전에도
많은 글을 써 왔었기 때문에, 아래 링크에서

남아있는 치질이 부족해서, 레진 코어 작업 진행
이제, 뿌리 끝까지 신경치료를 끝내면서
치과 밀폐 재료로 꼼꼼히 충전을 해둔 것을
볼 수 있습니다.

그 다음에는, 대략 일주일 가량 경과를 지켜 본 뒤
지르크라운을 연결해드리면 끝나게 됩니다.
『오늘 정리』
사실, 이렇게 충치치료나 신경치료에 관련되어서
글을 적으면 심플하게 적기 때문에 술식 과정
자체가 쉽게 느껴지질 수 있는데
이거.. 진짜 어렵습니다.
차라리 임플란트 시술을 하는게 더 쉬워요.
더 손이 많이 가면서 0.1mm 의 싸움이라 해서
현미경으로 들여다보거나 또는 고배율로
볼 수 있는 루페와 같은 보조 안경을 쓰고
진행을 해야 됩니다.
그래야 추후에, 또 다른 문제가 나타날
가능성을 낮춰 줄 수 있겠습니다.
감사합니다, 박현준 원장이였습니다!

치료 기간 2022.06.08 ~ 2022.07.16