앞니가 빠졌어요! 진짜? apical lesion, 임플란트 시술 진행
앞니가 빠졌어요! 어쩌죠?
이럴 때는 조금 침착하게 생각을 해야 됩니다.
먼저 가까운 치과에 하루 빨리 내원을 하셔서
현 상황을 정확하게 파악을 해야겠죠.
1) 크라운이 빠졌는지
2) 치관이 파절된 건지
3) 통쨰로 빠진건지
를 살펴봐야 됩니다.
앞니가 빠졌어요! 선생님! 이라 오셔서 보면,
저도 놀래서 보는게 알고 보면 크라운이 빠져서
오신 분들이 은근히 있거든요.
근데 오늘 보여드릴 임상증례는,
2번에 해당되는 내용입니다.

정면에서 보면, 치질의 일부는 남아있죠?
뿌리만 남아있는 채 더서울치과에 오셨었습니다.

그리고, 씹는면에서 보게 되면 치수속이
까맣게 변색이 되어있는 것을 볼 수 있습니다.
즉.. 이미 많이 썩을대로 썩었다는거.
그래서, 앞니가 빠졌어요! 라는 느낌을
받으실 수 밖에 없었던 겁니다.
막상, 치과에서 보니까
“어? 뿌리는 남아있네? 아싸!”
라 하셨던 분입니다.
근데.. 아싸 라 해서 좋아라 할 게 아닌.. 상황..

치관 파절은 그렇다 치고…
뒤쪽에 있는 브릿지 보철 또한 제거를 해야
될 거 같은 상황입니다.
이미 뼈가 너무 많이 녹았습니다.
즉, 2차 우식증도 있으면서 치조골 위축에
따라서 상태 불량입니다..

결국 이렇게, 크라운 보철 또한 같이 뜯어서
내면을 살펴 본 결과.. 이미 썩을대로
다 썩어서 문드러진 것을 보실 수 있습니다.
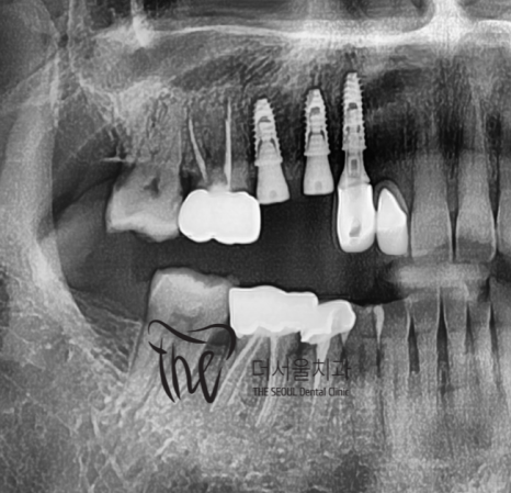
결국.. 3개의 임플란트 시술을 결정내립니다.
아, 물론 환자의 동의를 받고 진행 한 겁니다.^^

디지털 임플란트 진단을 하면서,
apical lesion(뿌리 염증) 이 있는것이 관찰이 되며


당일 발치 후 즉시식립을 하기로 했습니다.


근데.. 이미 치조골이 많이 얇죠?
전치부쪽이기 때문에
어금니 뼈 보다 더 얇습니다.ㅠㅠ
이렇게, 얇은 뼈에 임플란트를 심으려니,
정확한 진단을 해야 됩니다.
그래서, 위에서 볼 수 있는 사진들 처럼
여러가지 방법을 동원하여 현 상황을
정확히 분석을 해야 되겠죠.
앞니가 빠졌어요! 라는 주소로 오셨는데,
좋은 시술 결과 조차 드리지 못한다면
이 분은, 많이.. 화내실거 같았습니다.ㅎㅎ


그래서, 더서울치과에서는
정해진 환경 및 상황에서
최선의 결과를 보여드렸습니다.
좁은 치조골 및 폭경이 충분하질 않았으며,
3개씩이나 되는 implant fixture 들을
한번에 심어야 되는데.. 그것도 나란히요.
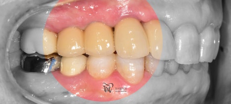
쉽지 않았으나, 해냈습니다.



그것도, 원래 있었던 치아마냥 똑같이
재현을 해드리면서 시술 종료!
오늘 보여드린 사례, ‘앞니가 빠졌어요!’
나름 간단히 쉽게 해결 될 줄 알았는데..
결국 당일 시술 후 즉시식립을 진행하게 되었네요.
치료기간은 대략 3개월만에 끝내드렸던 걸로
기억을 하고 있습니다.
또한, 이 분은 겁이 많으셨기에
의식하진정요법 이라는 수면마취로
진행을 해드렸었으며.. 전라도 광주에서
오셨던 분입니다.
왕복 1000km 가량이 되는거리죠?
감사합니다.^^
박현준 원장이였습니다.

치료 기간 2022.05.15 ~ 2022.09.02