치과 임플란트 수술에 따른 디지털 진단 및 치아정출
치과 에 임플란트 수술을 받으러 오시는 분들을
보면 구강 내 환경이 좋은 분들은 거의 없습니다.
정기검진을 꾸준히 받으시는 분들은,
그렇지 않은 분들보다 임플란트 수술을
할 가능성은 더 낮아질 수 밖에 없거든요.
결국, 치과 를 가야 되는 것을 알면서도
- 아플까봐
- 돈이 많이 나갈까봐
- 과잉진료를 받을까봐
뭐 이런 이유들 때문에 치과 내원을 꺼려하는
분들이 많은 것으로 알고 있습니다.
근데, 어떤 결과가 나올지 알 수 없을 뿐더러
아직 일어나지 않은 미래의 일에 대해서
앞서 걱정을 해봤자 좋을 것은 없습니다.
그리고, 현재의 선택 및 과감한 결정이
가까운 미래의 삶의 질을 더 좋게 바꿀 수
있기 때문에 꾸준히 규칙적인 정기검진은
필수라는 점을 말씀드리며 글을 이어나가겠습니다.
『치아 정출, 임플란트 시술』
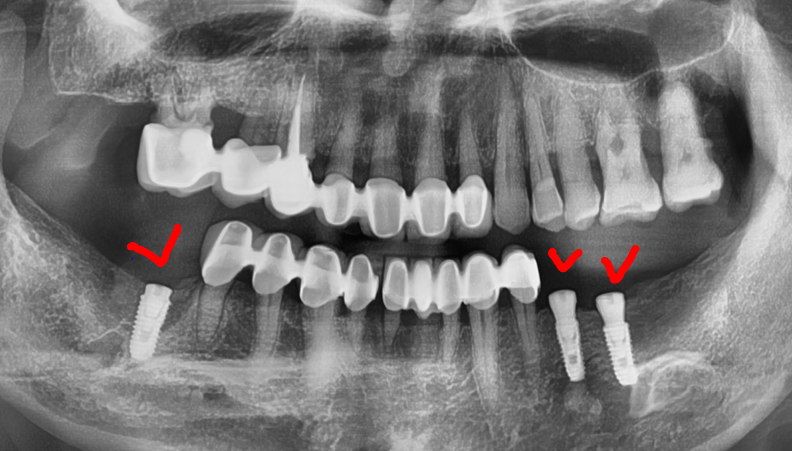
엑스레이를 보면, 아래턱에 어금니들이
결손이 되어있는 것을 볼 수 있습니다.
저희 치과 에 오셔서 임플란트 수술을
의뢰하셨던 분의 엑스레이인데
이 분은, 교포셨습니다.
근데, 교포들끼리 모이는 모임이 있는데
거기서 저희 치과 가 안 아프게 잘 치료한다는
얘기를 많이 들어서 먼 길을 오셨다네요.

이렇게 원거리 내원을 하는 분들은 보면,
더 열심히 치과 진료를 해야드려야겠다는
생각밖에 들지 않네요.^^
여튼 위, 엑스레이를 보면서 하나씩 설명드릴게요
1) 이분은, 구강 내 전체적으로 치주염을 앓고
계셨으며 치석 또한 곳곳에 많이 쌓여있었습니다.
따라서, 치조골이 많이 위축 됨에 따라서 하방으로
이동되어 치아의 뿌리가 겉으로 다 드러나
있는 것을 볼 수 있습니다.
다만, 브릿지 보철로 연결이 되어있기 때문에
치아 정출에 관련되어서는 크게 신경 쓸 것은
아니나 추후에는 치료를 반드시 꼭 해야 되는 상황.
2) 1번내용과는 다르게,
상악 어금니만 남아있으며
아래에는 어금니들이 없습니다.
즉, 교합관계를
형성하지 않고 있기 때문에
교합 기능을 전혀 이룰 수 없는 상태입니다.
아울러, 윗니들은 아랫니들이 없기 때문에
점차 아래로 내려오는 ‘치아 정출’ 현상이
지속적으로 나타나면서 추후에 쉽게 발치로
이어지게 되는 상황이 우려됩니다.
이렇게, 치과 초진 내용을 정리드림에 따라서
환자께서도 하악에 임플란트 시술을
결정하셨습니다.
물론, 오시는 길에 몇 개를 해야 되나? 라는
생각은 하고 오셨다 말씀을 하셨었습니다.


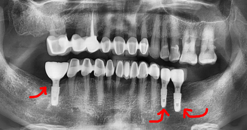
따라서, 사진에서 볼 수 있는 것처럼
디지털 임플란트 진단을 실시했으며
치과 에서 총 3개의 임플란트 시술 결정을
내리게 되었었습니다.

다만 이 분은, 치조골이 폭이 많이
위축이 되어있엇던 상황입니다.
왜 이럴까요?

바로 치아가 빠진지 시간이 상당히 흘렀기 때문이죠.
이런 현상이 나타나는 이유는 단순합니다.
치아 결손에 따라서, 뿌리를 감싸고 있어야 될
뼈들이 갈 곳을 잃었기 때문입니다.
즉, 이렇게 치조골 위축이 상당히 진행되었을 때
치과 에 오셔서 임플란트 시술을 요청하셨을 때는
상황을 봐야겠으나, 높은 확률로
implant fixture 가 심겨질 공간을 확보시킬 수

앞서 진단 내용에 따라서, 3개의 고정체를
심은 뒤에 엑스레이를 찍었습니다.
이 분은, 골질의 상태가 그렇게 좋지 않았기에
골 융합 기간을 길게 가져가기로 했습니다.
즉, 회복기간을 충분히 두어 뼈와 단단히
결합이 되었을 때 보철을 올려드릴 예정입니다.
그러면서, 기다리는 동안 꼭 지키셔야 될

이후, 대략 2개월이 지난 시점으로 치과 에
다시 내원을 하셨으며 골 동요도 측정 후에
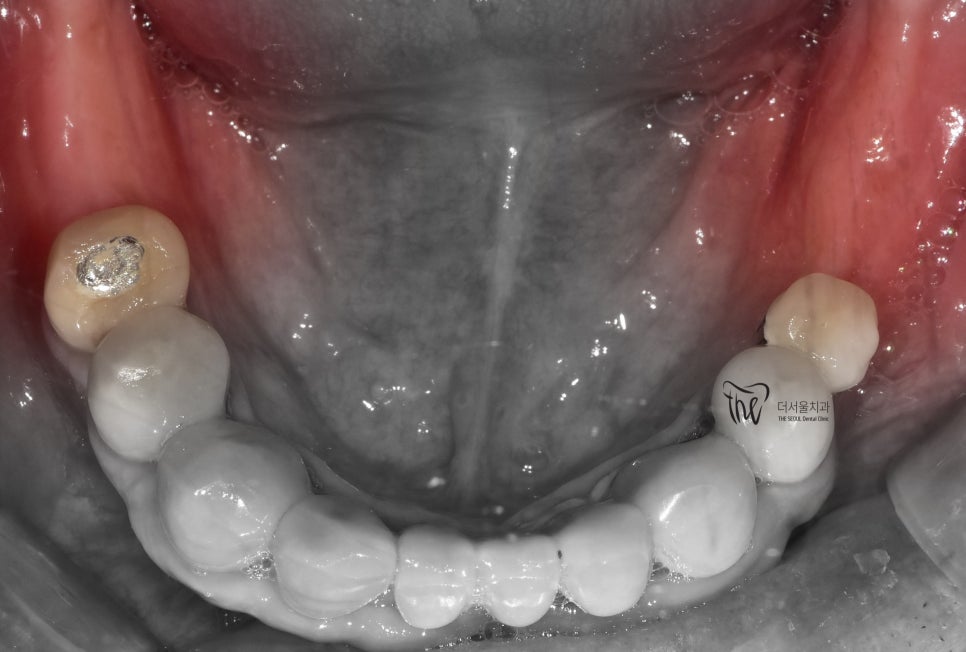
지르코니아 크라운을 연결해드렸습니다.

자, 이렇게 치과 에서 없던 치아를 다시
만들어드렸습니다.
『부가 설명』
앞서 치아 정출에 관련되어서 말씀드렸죠?

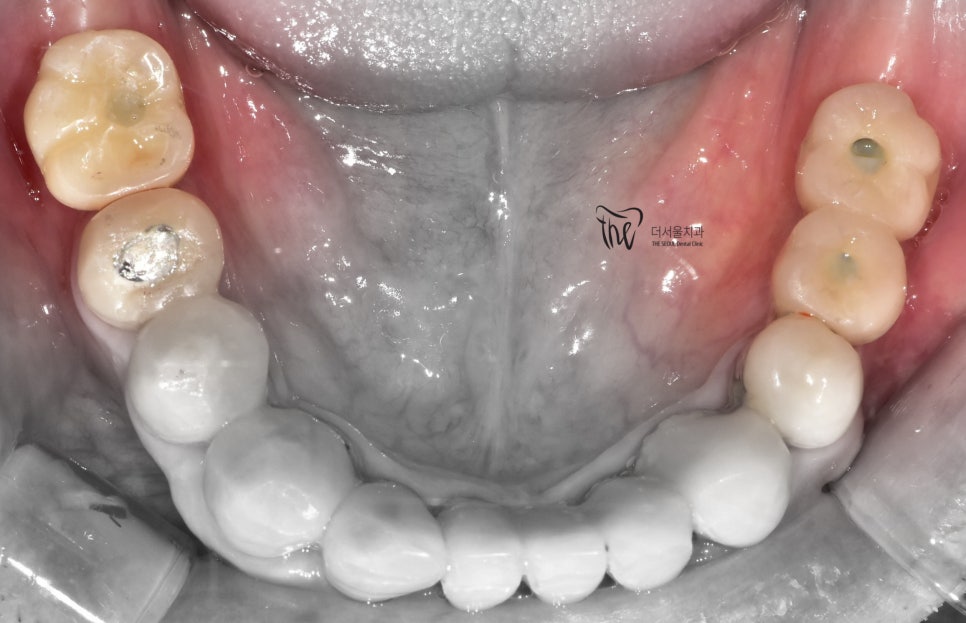
사실 이 분은 임플란트 4개 가량을 심는 것이
적합한 상황이였습니다.
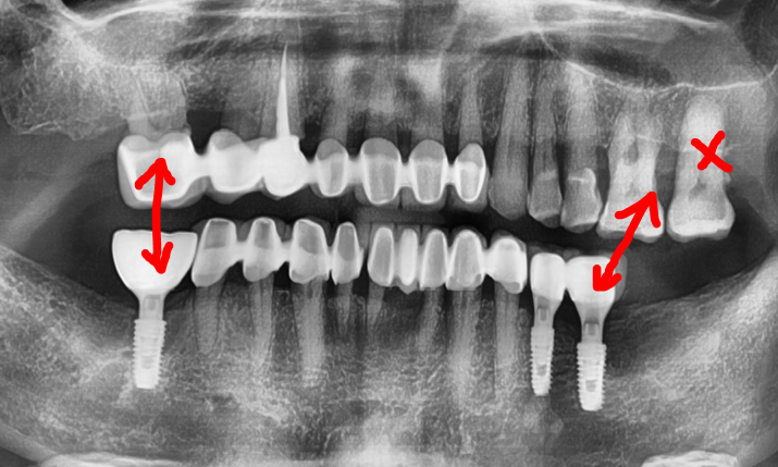
사진을 기준으로, 좌측의 경우에는
지르코니아 크라운이 연결되면서
대합치의 정출을 막을 수 있는 위치에
배치가 되었으나
우측의 경우에는 맨 끝에 있는 후방치는
그렇지 않은것을 볼 수 있습니다.
다만, 이렇게 치료를 해드렸어도
식사를 하는데 지장은 없습니다.
오히려, 기존 식사를 거의 앞니로만
하셨던 상황이였기 때문에 없던 어금니가
만들어져서 더 행복해졌다는 얘길 하시네요.^^
* 환자의 개인 상황 및 경제 상황에 맞춰서
더서울 치과 에서는 3개의 시술 건만
안내드렸으며 이에 따라 환자께서도
충분히 동의를 하신 뒤에 진행되었던
임상 증레 치과 글 이였습니다.

치료 기간 2022.05.14 ~ 2022.10.03

