어금니 빠짐 어떻게 치료 할 수 있을까? 네비게이션 임플란트 활용 임상 증례
어금니 빠짐 및 결손이 있다면,
구강 내 저작기능 저하에 따라서
여러가지 문제들이 나타날 수 있습니다.
- 부정확한 발음
- 대합치의 정출
- 인접치아의 위치이동
이러한 부작용들이 나타나는 시점은,
어금니 빠짐 이후로부터 즉각 나타나는것이 아니라
수개월에 걸쳐서 나타나는 현상들인데
초기 대응, 골든타임을 놓쳤다면 멀쩡했던
치아들이 쓰러지면서 발치가 되는 일들이
벌어질 수 있기 때문에 해당 증세가 있다면
발빠르게 움직이시어, 하루 빨리 치과에 내원을
하여 적절한 조치를 취하는 것이 현명합니다.
"선생님, 저 임플란트 수술 해야되는거죠?"
라는 주소로 더서울치과에 오셨던 환자가 있었고
이에 따른 임상 증례를 설명드릴게요.

이 분은, 세종에서 5일에 한번씩 성남으로 오셔서
업무를 보신 뒤에 내려가는 분입니다.
꽤나 먼 거리를 이동하면서 사업을
영위해나가던분이였는데 최근 어금니 빠짐 에
따라서 여러가지로 불편한 증세가 있으셔서
본 원으로 찾아오게 되었다 말씀을 하셨습니다.
일단, 저희 병원에 오시게 된 주요 이유로는
- 네비게이션 임플란트 가능
- 수면 마취(의식하진정요법) 가능
딱 이 2가지의 이유 때문이였습니다.
계속 운전을 해야 되는 입장에서, 게다가
사업을 해야 되는 입장에서 시간이 중요하기
때문에 치료 기간 단축이 핵심이였습니다.
아울러, 겁이 많으셨기 때문에 통증이나 붓기
등이 조금 더 현저히 줄었으면 하는 마음에
문을 두들기게 되신거죠.
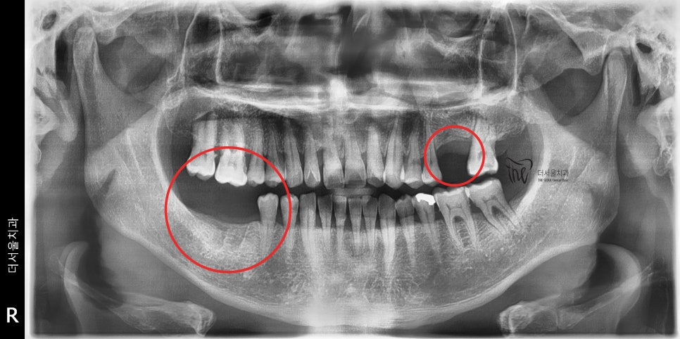
그러면서, 이 분의 엑스레이 촬영 결과를 보면

크게 2군데에서 어금니 빠짐 이 확인이 됩니다.
다행이였던 것은 아직 치아 정출이나 이동현상이
관찰이 되지 않았다는거고, 이는 어금니 빠짐 에
따라서 빠른 시일내에 치과로 오셨다는 점입니다.
이렇게 되면, 임플란트 시술을 진행을 했을 때
조금 더 유리한 점들이 많습니다.
뼈가 아직 수축을 하지 않았기 때문에,
뼈이식술을 진행하더라도 그 양이 현저히
줄어들 수 있으며 소수술의 범위가
줄어들기 때문에 체어 타임 또한 많이
감소 될 수 있는 이점이 있는거죠.


구강내 사진에서도, 아직 잔존 치조골이
충분히 남아있는 것은 확인이 되나
이는 정확히 CT를 찍은 뒤에
네비게이션 임플란트 진단을 해야
정확히 말씀드릴 수 있는 상황이였습니다.


그래서, 당일 바로 네비게이션 임플란트 진단을
진행해봤으나 골질이 낮은거 이외에는 별다른
특이소견은 관찰되지 않았습니다.
게다가, 멀리서 오신 원거리 내원 환자였기에
다음 일정을 잡는거 또한 시간 낭비로 이어질 수
있기 때문에 당일 바로 수술을 진행하기로 했습니다.

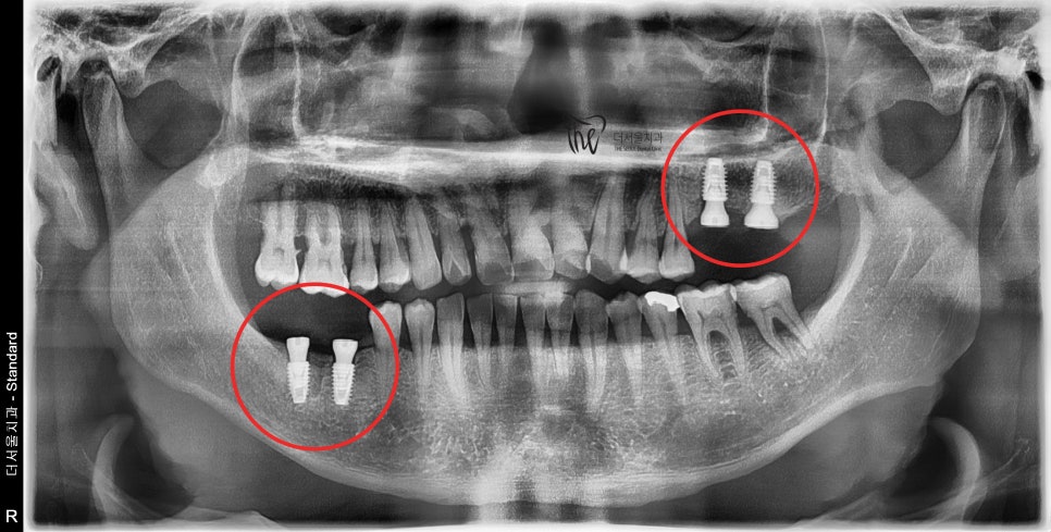
그 결과, 어금니 빠짐 이 있던 곳에
총 4개의 고정체들이 심겨졌으며 대략 2~3개월
가량 경과를 지켜본 뒤에 지르코니아 크라운을
올려드리기로 했었죠.
그리고, 이 환자께선 흡연을 하셨던 분이기에
앞으로는 금연을 꼭 해야 될 것을 당부드렸습니다.
혹여, 시술 실패로 이어질 수 있는 여지가 있으며
염증 등과 같은 부작용이 쉽게 나타날 수 있기에
신신당부를 드렸었습니다.
일단 OK는 하셨는데, 과연 금연을 하실지..^^

와.. 근데 이 분은 진짜로 금연을 실천하셨습니다.
꼭 금연 때문은 아니나, 생각보단 더 빠르게
뼈와 고정체가 달라붙었으며 예상보다 2주 가량
빠르게 어금니 빠짐 에 따른 문제들이 해결이
되었었습니다.
그래서, 더 빠르게 지르코니아 보철을
올려드리면서 치료를 끝내드릴 수 있었죠.


이제, 구강 내 사진에서 보실 수 있는 것 처럼
어금니 빠짐 자리에 새로운 크라운이 자리를
잡으면서 이제 구강 내에 빈 곳이 없어졌네요.
이전처럼, 다시 고기를 맛있게 드실 수 있지
않을까…^^ 그러면서, 현재는 3개월에 한번씩
치과에 오셔서 f.u 을 받고 계신데..
오실 때 마다 살이 쪄서 오십니다..ㅎㅎ
이건 제가 보람으로 느껴야 될 지^^
이만, 긴 글 줄이겠습니다.
글쓴이 박현준 원장이였습니다.
아래 링크들은,

치료 기간 2020.04.18 ~ 2020.10.02
