2급 부정교합 발치 교정 을 해야 되는 기준을 알려드립니다.
부정교합 이라는 것은 꼭 아랫니가 윗니보다
앞쪽에 위치 된 것을 뜻하는 것은 아닙니다.
윗니와 아랫니가 맞물리면서, 교합관계를
형성하는데 그 교합들이 정상의 범주에서
벗어나 있는 경우를 통틀어서 부정교합 이라
부르는데 이를 치료하는 방법에는 여러가지가
있겠습니다.
그래서, 진단에 따라서 발치 결정을 내릴 땐
크게 환자들의 반응이 나뉩니다.
- 순순히 진단 결과에 따라오시는 분들
- 왜 발치 를 하는 것이냐 따지는 분들

따지는 분들은, 충분히 이해는 됩니다만
발치 를 하지 않은 채 그냥 교정 치료를 하게
되면 오히려 하지 않은 것만 못하게 됩니다.
즉, 큰 변화가 없거나 구강 내 기능이나 위생관리의
용이성이 이전보다 크게 달라지는 것이 없는거죠.
치료 비용은 결국 내긴 냈는데, 얻어가는게
없는 상황이 벌어지게 되는데
사실 발치 를 해야 되는 경우는 꼭 해야되거든요?
근데, 인터넷에 잘못 된 정보들이 너무 많이
흘러넘치는데.. 환자들께서는 그 정보들이
참 인지 아닌지를 따져보질 않은 채,
그냥 무작정 비발치 로 부정교합 치료를
원하는 경우가 있습니다.
그럴 때는, 저는.. 다른 곳으로 가셔라.. 라는
안내를 도와드립니다.
오늘 글에서 중점적으로 알려드릴 내용은,
바로 2급 부정교합 형태를 띄고 있음에 따라서
돌출입 의 형태를 갖고 있다면 발치 를 해야
되느냐 말아야 되느냐의 기준점입니다.
일단 여러가지의 기준점을 가지게 될 수 있으나,
통상 보편적으로 쓰는 방법은

바로
‘코 끝에서, 턱 끝을 일직선으로 이은 심미선을
기준으로 입술이 바깥쪽에 위치되어 있으면 발치’
를 결정내리게 됩니다.

이게, 꼭 절대 기준치가 되는것은 아닙니다.
조금 더 구강 내 환경을 면밀히 들여다 봐야 되죠.
그러면서, 앞니의 돌출 정도가 상당한 모습을
보여주고 있다면 또 발치 결정을 내릴 수 밖에
없습니다.
왜냐하면, 치간삭제 라는 것을 적용을
시켜서 공간을 조금씩 만들어서 돌출입 교정을
진행한다 한들, 크게 변화가 없을 수 있기
때문입니다.
따라서, 더서울치과에 오셔서 2급 부정교합 및
돌출입 교정 을 받으셨던 실제 증례를 한번
보여드려 볼게요.

측면 사진 및 측면 두부방사선 사진을 중첩해서
보여드리는 사진입니다.
크게 2가지를 볼 수 있습니다.
- 심미선을 기준으로, 입술이 바깥쪽에 위치.
- 앞니의 치축이 앞쪽으로 많이 뻐드러져 있음.
근데, 이 분은 또 무턱의 경향이 살짝 느껴집니다.
심미성의 개선 및 교합 관계의 개선을 동시에
가져가야 많은 변화를 느끼실 거 같죠?

이 분은, 돌출입의 정도가 심했기 때문에
정면에서 본 모습에서도 입술의 긴장감이
같이 느껴지는 분입니다.

그리고, 구치부의 교합력이 다른 사람보다
더 높으신 분이였습니다.
아마, 식습관에서 확인을 할 수 있는데
오징어나 땅콩처럼 질기거나 딱딱한 음식을
자주 드신 분들은 엑스레이에서 볼 수 있는것 처럼
사각턱의 경향 및 하악각에서 주름이 잡힌 듯한
쭈글쭈글한 형태를 확인 할 수 있습니다.
뼈가 자라는 느낌으로 볼 수 있으며,
한번 자라난 뼈는 깎지 않는 이상에는 원래대로
되돌아가지는 않습니다.
남성미..는 느낄 수 있으나 얼굴이 커 보여지는
그런 느낌을 받을 수 있습니다.


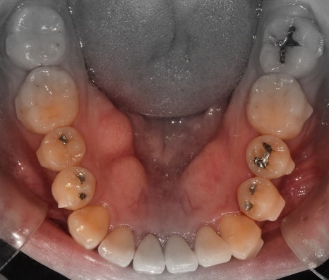
측면에서는 크게 2가지를 느낄 수 있습니다.
- 전치부 치아들의 치축, 전방 뻐드러짐
- 1치대 1치의 관계
*정상이라면, 1치대 2치의 관계를 가져야 됩니다.



또한, 측절치 및 송곳니의 총생들도 같이
관찰을 할 수 있습니다.
『인비절라인 정밀 진단』
클린첵 시뮬레이션에 따라서, 정밀진단을
진행했으며 치아들이 어떤식으로 이동이 되는지
가상 시뮬레이션으로 한 눈에 보실 수 있습니다.
앞서 말씀드린 것 처럼, 이 분은 발치 를
꼭 해야 좋은 결과를 낼 수 있기 때문에
환자께는 이런 사실은 분명히 안내드렸습니다.
근데, ‘뭐.. 해야 된다면 해야겠죠.’ 라면서
쿨하게 답변하셨던 분입니다.\

이렇게만 치열이 이동이 되면 소원이 없겠다는
환자의 말에, 그대로 재현을 해드리겠다는
약속을 드리면서 부정교합 교정치료에
들어갔습니다.
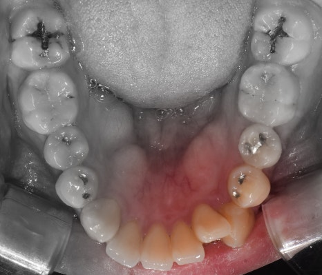
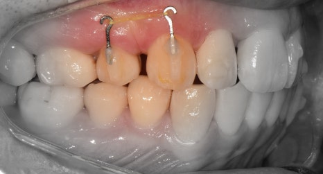
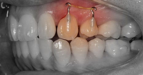
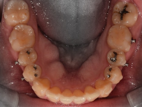
『발치 및 장치 부착, 인비절라인 진행』





표시를 해 둔, 갈고리처럼 생긴 것들은
Power arm 이라는 것들입니다.
이는, 치아들을 계획 했던 대로 정확히
이동을 시키게끔하는 보조수단으로 쓰입니다.
이후, 발치 공간이 조금씩 거의 다 폐쇄되면서
인비절라인 실버버튼을 부착시킵니다.
이것 또한, 보조도구입니다.
치열 전체를 덮는 인비절라인과 같이 맞물려서
정확한 치아의 위치 이동을 돕는 역할입니다.





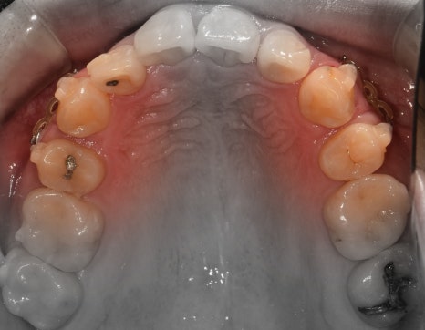
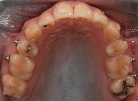
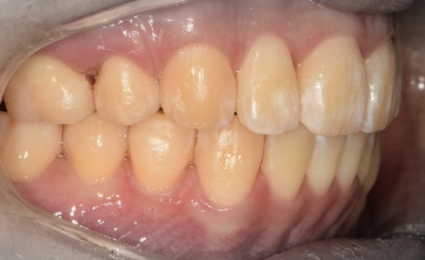
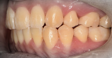
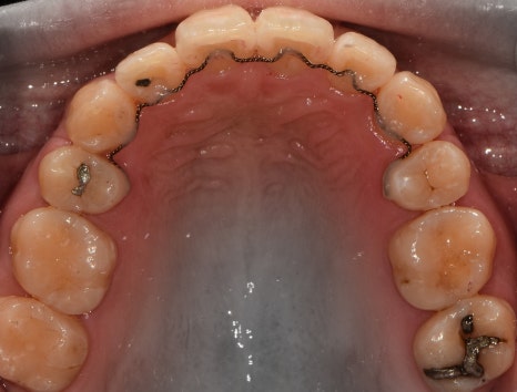
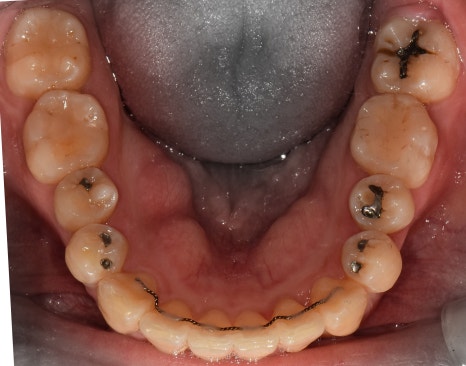
그러면서, 대략 2년이라는 시간이 흘러서



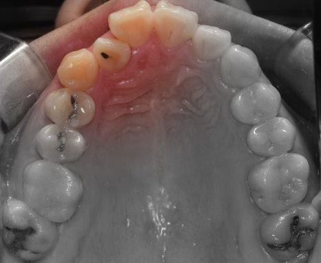
가지런한 치열이 탄생이 되었습니다.
앞서, 1치대 1치 관계에 있던 교합관계들이
1치대 2치의 관계로 바뀐것을 볼 수 있으면서


길쭉하게 느껴졌던, U shape 형태의 악궁이
딱 보기 좋은, U shape 로 바뀌었죠.


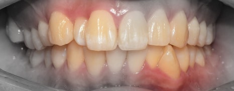
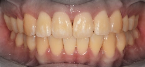
이 분은, 코는 높고 예쁘셨기 때문에
조금 더 세련 된 얼굴형을 갖게 되셨습니다.
물론, 사각턱은.. 변함은 없습니다만
이는 남성미를 느낄 수 있는 요소로 간직하길..

『오늘 정리』
2020.12.04 부터 시작,
2022.10.03 장치 제거 및 치료 종료.
엑스레이 중첩 사진을 보게 되면, 수 많은
변화들이 있는 것을 한 눈에 보실 수 있습니다.
이렇게, 발치 를 하게 되면 얻을 수 있는 공간은
4~5mm 내외로 구강 내에서는 꽤 크게
느껴질 수 있는 수치 값 입니다.
이를 활용을 해서 계획 했던 대로 치열을
다시 재배열함에 따라서 부정교합 및 돌출입 을
함께 치료 할 수 있게 됩니다.
어떤가요?
이 정도면, 꼭 발치 를 해야 되는 상황이라면
그 진단을 믿을 수 있겠죠?
감사합니다, 박현준 원장이였습니다.

치료 기간 2020.03.04 ~ 2022.10.01
