발치와보존술(socket preservation)에 따른 앞니 임플란트 식립 증례
안녕하세요. 박현준 원장입니다.
제가 3년전에 적었던 글을 하나 보여드릴게요.
(최근에 치료가 끝났거든요!)
이전 글의 내용을 정리하면
- 예전에 신경치료를 했던 치아의 치관 파절
- 고정체 식립 결정
- 골 위축을 막으려, 발치와보존술 진행
- 디지털 진단 및 시술
순서로 설명을 드렸었습니다.
특히, 어금니쪽보다 앞니쪽이 임플란트를
심는게 더 어렵고 여러모로 신경을 써야 될 것들이
많다는 내용으로 주 설명을 드렸었습니다.
특히, 오늘 한번 더 말씀드릴 술식 이름은
바로 ‘발치와보존술(Socket preservation).’
이게 왜 중요하냐면, 치아가 빠진 뒤에는
빈 공간을 그대로 둘 수 없기 때문에
크라운 보철 또는 임플란트 라는것으로
대체를 해야 됩니다.
왜냐하면, 그대로 두게 될 경우에는
양 옆에 있는 인접치아에 문제가 나타나면서
저작기능의 저하로서 추후 턱관절에도
여러가지 문제들을 안겨다 줄 수 있기 때문입니다.
통상, 이가 빠진 뒤 부터 우리 구강내에서
나타나는 여러 현상들이 있는데 임플란트 수술과
가장 긴밀히 연결 되는 것은 바로 ‘골 흡수’ 입니다.
그래서 고정체를 심어서 좋은 결과를 얻으려면,
치조골의 폭경이나 높이가 충분히 있어야 되는데
치아가 빠진 뒤로부터 퇴축이 시작되고
치아 결손에 따라서, 먼 훗날에 임플란트 시술을
결정했을 때는 다량의 골 이식재가 들어가게
되는 일이 비일비재 합니다.
그래서, 그런 상황을 예방하는 차원에서
발치와보존술 이라는 것을 진행하게 됩니다.
즉, 뼈가 녹는 것을 예방할 수 있으며
더 좋은 수술 결과를 만드는데 일조합니다.
『Review』
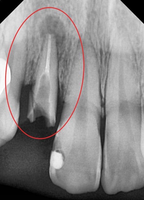
- 초진 사진


1. 치관 파절, 뿌리 끝 염증(Apical lesion) 발견

2. 잔존치근 발거

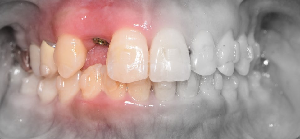
3. 발치와보존술 시행
- 앞니 임플란트를 할 때는 꼭 발치와보존술 필요!

4. 발치와보존술 후, 고정체 식립 및
인비절라인 치아교정 치료 시작
- 치아의 총생 및 과개교합 이 원인
여기까지가, 과거에 적었던 글의 리뷰입니다.
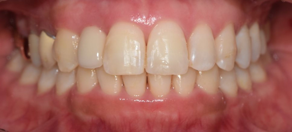
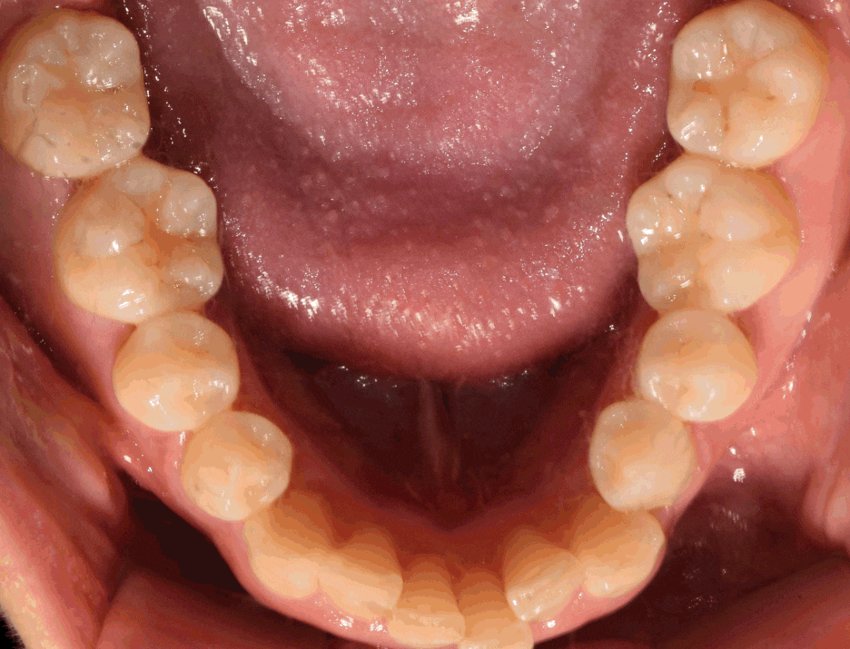
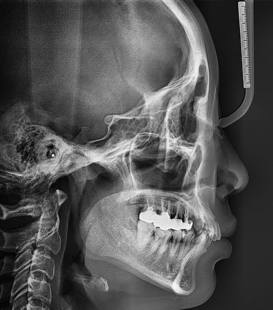
이제 최종 결과를 보여드리겠습니다.

이제, 흡잡을 곳이 없군요.
교정치료 및 발치와보존술, 임플란트 시술의
복합 결과를 보고 있으며 3년이라는 긴 기간이
소요되어서 원래의 구강 내 상태를 되찾아드렸네요.
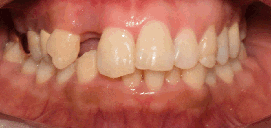
아래 내용에서, 얼마나 변화가 되었는지를
한 눈에 살펴보실 수 있으며
오늘 내용 정리를 끝으로,
- 여러가지 복합 시술을 다룰 수 있는 의사
- 재료를 아낌 없이 사용하는 의사
를 꼭 만나셨으면 좋겠습니다.
물론, 특정 분야에 있어서 전문성을 띄는
술자도 좋은 결과를 낼 수 있으나 여러가지
복합적 상황에서는 판단력이 흐려질 수 있습니다.
이렇게 3년간의 f.u 을 담은 내용을 보게 되면
딱 한 우물만 파서는 안된다는 것을 여러분들도
이제 아실거라 봅니다.
"3년간의 f.u 및 변화"




