부정교합 2급, 임플란트 수술 및 과개교합 개선 / 투명교정 인비절라인 장치 활용
부정교합 2급 이라는 것은,
하악보다 상악이 더 전방에 위치되거나
또는 상악의 치아들이, 하악 치아들보다
더 앞쪽에 위치되어 있는것을 뜻하며
통상, 돌출입의 형태를 띄고 있는
경우가 대다수입니다.
골격성의 문제가 아닌, 치아 배열의
문제라면 통상 발치를 하게 되는 경우가 많으며
그렇지 않아도 치간삭제를 통해서 비발치로
부정교합 2급 개선 및 돌출입 치료를 같이
진행을 할 수 있습니다.
이에 따라, 실제 임상 증례를 보여드리면서
설명드리겠습니다.
『선생님, 저 교정치료 받고 싶습니다.』
이곳 저곳, 다 찾아봤는데
본인이 원했던 답변을 받질 못했다는 환자가
찾아오셔서 진지한 표정으로 얘길 하셨었죠.
“선생님, 저 가지런한 치열도 갖고 싶고
양치질을 했을 때 조금 더 빡빡 잘 닦이는 느낌과
돌출입 증세도 같이 고치고 싶습니다.”
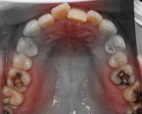
일단 초진 사진을 먼저 보여드리겠습니다.

이 분은, 부정교합 2급 인데도 돌출입의 정도가
그리 심하지는 않습니다.
심미선을 기준으로, 입술이 살짝 걸리는데
이 정도라면 비발치로도 진행이 가능한 부분입니다.
다만, 앞니들이 앞쪽으로 많이 뻐드러져
있기 때문에 입술의 긴장감이 많이 형성이
되어있는지라 이 부분은, 치아 재 배열을
통해서 충분히 개선이 가능할것으로 보여집니다.

정면에서 봤을 땐, 불규칙한 총생들이 관찰되며
곳곳에 치석이 쌓여있는 것을 볼 수 있습니다.


측면에서 봤을 땐, 앞니들의 뻐드러짐과
불규칙한 치열을 동시에 관찰을 할 수 있습니다.


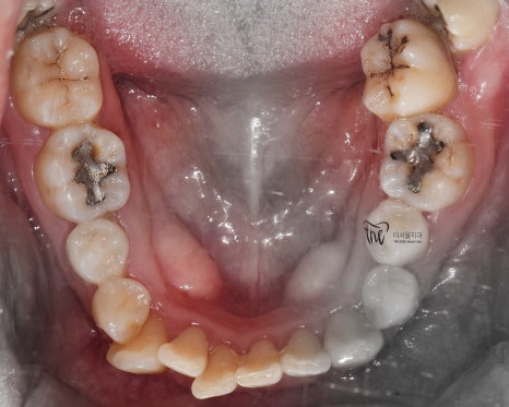
교합면에서 봤을 땐, 교정치료를 떠나서
선행해야 될 치료들이 많다는 것을 알 수 있습니다.
아말감이 수복 되어있던 곳의, 아말감 탈락에
따른 치질이 드러나 있다던지, 교합면의
다발성 우식증에 따라서 충치치료도 같이
병행을 해야 되는 상황입니다.

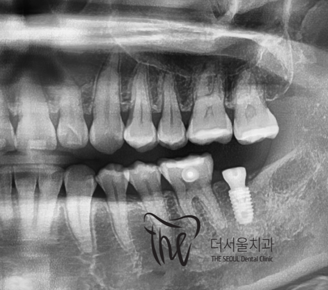
다만 하나 아쉬운 점은,
사랑니의 맹출 위치 불량에 따라서
바로 앞에 있는 제2 대구치는 발치 결정을
내리게 되었습니다.
이미, 치축이 상당히 쓰러져 있는 상황이며
업라이팅을 해드리기에는 시간이 오래 걸릴뿐더러
예후 또한 좋지 않을것으로 판단이 되어서
부정교합 2급 치료가 다 끝나는 시점에 맞춰서,
임플란트로 대체를 해드리기로 했죠.
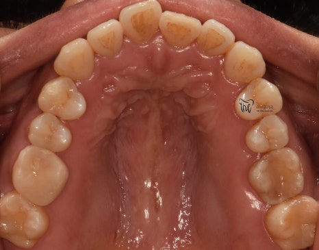
『충치 및 보철치료 진행』
부정교합 2급 치료를 들어가기 전에,
먼저 선행 해야 될 것들이 있었습니다.


바로, 사랑니 및 제 2대구치 발치,

충치치료 및 보철을 수복하는거고
인비절라인 교정치료를 진행할 준비가
끝마쳐졌습니다.
『클린첵 시뮬레이션』





인비절라인을 하는 분들은, 아마 이 화면을
거의 다 보게 될 겁니다.
디지털 임플란트처럼, 어떤식으로 구강 내 치열이
변화가 되는지를 한 눈에 볼 수 있으며
미리 결과값을 예측을 할 수 있기 때문에,
변수에도 대비를 할 수 있는 좋은 시뮬레이션 입니다.
『본격적, 교정치료 시작』



처음보단, 조금 더 가지런해진 앞니들을 볼 수 있죠?
이제 더 많은 변화가 일어나며, 임플란트까지 심은
최종 결과를 보여드리겠습니다.
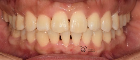
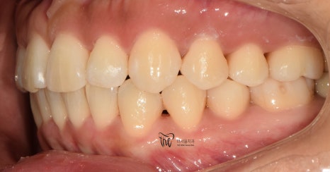
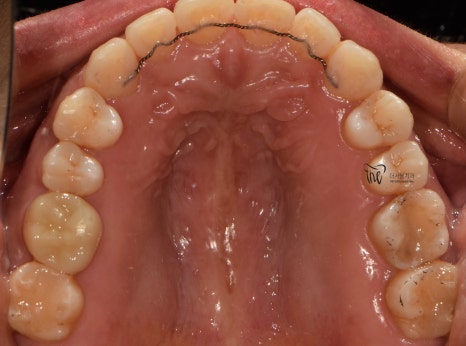
『23개월 소요, 최종 결과』

앞니의 기울기 변화에 따라서, 입술의 긴장감 또한
변화가 일어났습니다.
심미선을 기준으로, 입술의 위치가 그렇게
많이 변화가 된 것은 아니나 어찌되었건간에
심미선 안쪽에 입술이 위치 되는 것을 보실 수
있네요.

그러면서, 교정치료가 다 끝나가는 시점에서
임플란트를 심어서 맞물리는 대합치와의
기능 재건도 같이 진행했습니다.





정면에서 봤을 때, 앞니들 사이에 블랙트라이앵글이
조금씩 발생 된 부분은 살짝 아쉽긴 합니다.
그러나, 이는 과거 총생이 너무 심했기 때문에
어쩔 수 없이 발생이 될 수 밖에 없는 상황이였으며
이것을 제외하곤, 환자께서 얻으신 것이 많습니다.
가지런한 치열을 얻음에 따라서 구강 위생관리가
조금 더 용이해진 부분.
나아가, 부정교합 2급 이 같이 치료가 되면서
더불어 구강 내 충치들도 깔끔하게 다 제거를
해드리게 되었네요.
* 끝으로, 이 분은 처음에 오셨을 때
과개교합(Deep bite)의 양상을
가지고 있었습니다.
그러나, 최종 결과를 보면 과개교합이 많이
개선이 된 것도 같이 보실 수 있네요.^^

치료 기간 2020.01.12 ~ 2021.12.16
