무턱교정 전후, 인비절라인&보형물 콜라보레이션
- 부정교합 2급
- 하악골보다, 상악골 과성장에 따른 무턱 증세
증세를 갖고 계셨던 분의 임상 증례를 보여드립니다.
교정 치료를 통해서 2급 부정교합이 개선 되었으며 치료를 끝으로, 턱 끝에 보형물 을 넣어서
깔끔하게 무턱교정 을 완성해드렸던 사례입니다.
물론, 보형물 의 경우에는 본 원에서
진행 했던 것은 아니며 타 원과 협진 하에
이루어진 결과입니다.
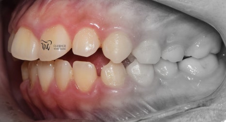
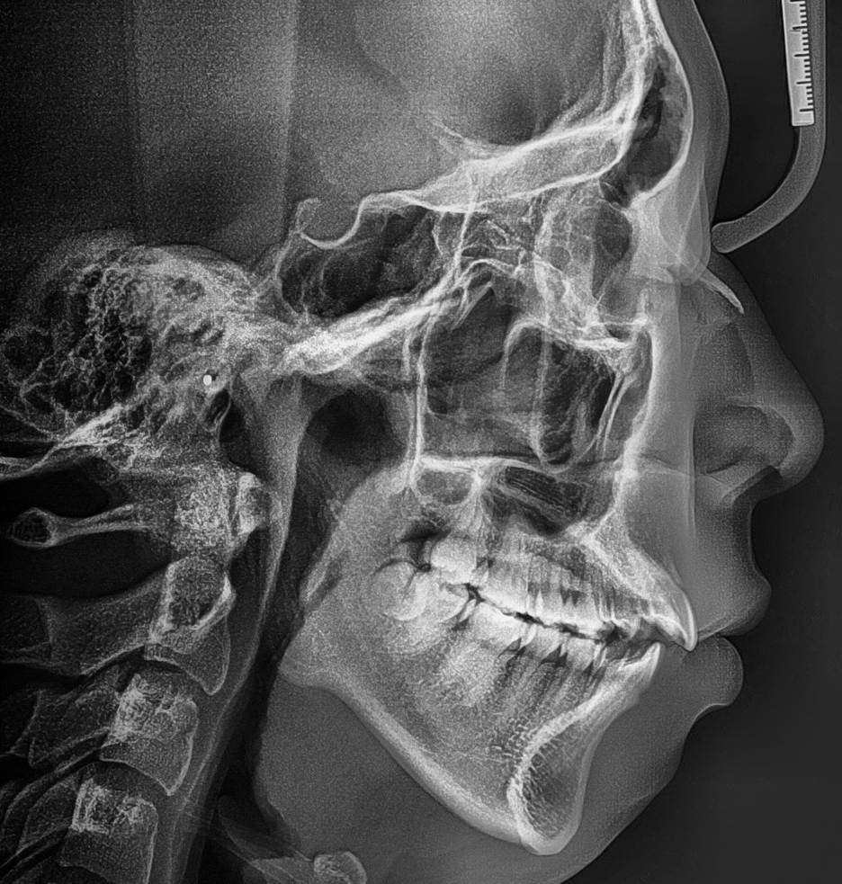
『초진 사진 및 진단 내용』
측면 두부방사선 사진 및 안모의 측면사진의
중첩 된 결과입니다.

사진을 보면, 턱이 거의 없는 무턱 증세를 띄고
있는 것이 한 눈에 보여집니다.



그리고, 정면 및 측면에서 본 모습으로는
살짝 개방교합(Open bite)의 형태를 보여줍니다.
그러면서, 치아들 간의 공간이 조금씩
떨어져 있는 것을 볼 수 있습니다.
마치, 치간이개와 같은 느낌을 받을 수 있으며
앞니들이 앞쪽으로 많이 뻐드러져 있는 형태를
띄고 있습니다.
이럴 경우에는, 무턱 의 증세가 더 뚜렷하게
나타날 수 밖에 없는 상황이 됩니다.


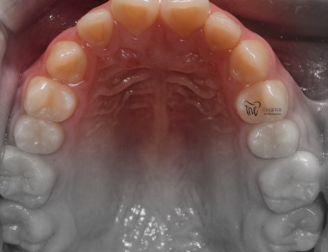
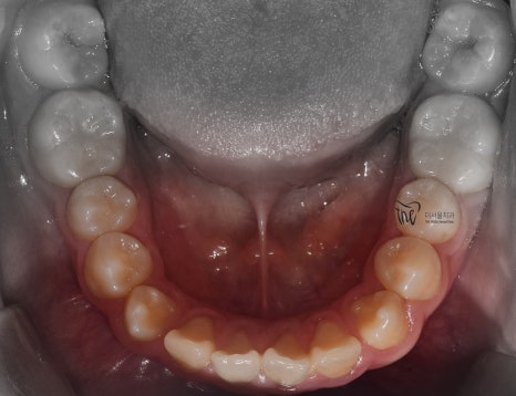
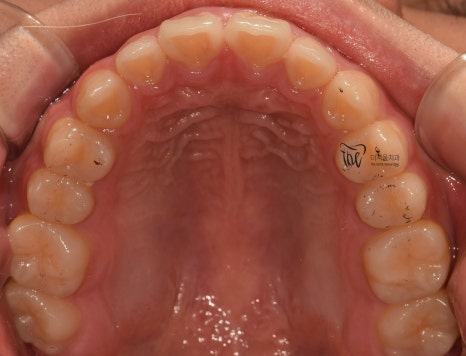
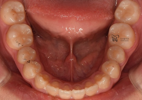
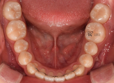
근데 또 교합면에서 보면, 악궁의 형태 자체는
그렇게 나쁜 편은 아닙니다. 다만, 회전이 되어있는
일부 치아들 및 치간이개의 현상 이외에는
별다른 특이사항을 볼 수 없죠.
『1차 진단』
어금니의 위치 조정에 따라, 전체 치아들이
서로 맞물릴 수 있는 교합관계를 형성해야 되며
나아가, 총생 및 치간이개들은 개선시켜나가면서
심미성 및 기능성을 다시 재건시켜드려야 됩니다.
따라서, 인비절라인 장치로 무턱 교정 을
진행하기로 결정했으며 당일 바로
클린첵 시뮬레이션을 진행하기로 했습니다.
『클린첵 시뮬레이션』
개선이 두드러지게 나타납니다.
이런 진단을 내린 이유는, 우선 무턱 교정 에서
현재 가지고 앞니 뻐드러짐에 따른 입술의
긴장감을 해소시키면서, 하악턱의 턱 끝이 조금
더 앞쪽에 위치 된 착시효과를 일으키기 위함입니다.
『무턱 교정 진행』
중간 단계에서 찍었던 사진을 보여드릴게요.



앞니들의 뻐드러짐이 많이 개선이 됨에 따라서,
이제 조금은 가지런한 치열이 만들어지는 것을
보고 계십니다.
다만, 어금니의 위치 이동이 아직 다 되지
않았기 때문에 측면에서 확인했을 때는
치아들 사이에서의 공간이 떠 있으면서,
약간은 1치대 1치 교합 관계가 만들어져
있는 것을 볼 수 있습니다.


교합면에서 봤을 때는, 거의 무턱 교정 치료가
다 끝난거와 같은 느낌을 받으실 수 있습니다.
원래, 악궁 자체는 그렇게 나쁜 편은
아니였기 때문에 크게 달라졌다고 느낌을
받기는 쉽지 않네요.
처음에 오셨을 때, 총생의 정도가 심했다면
전후 가 조금 더 명확했을 듯 합니다.
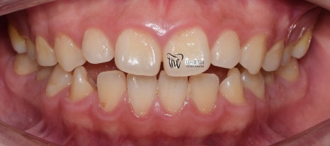
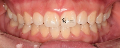
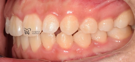
『교정 치료 종료, 전후 공개』

이제, 아래턱이 조금 튀어나온 듯한 느낌을
받을 수 있습니다.
이렇게 교정 치료를 다 마친 뒤에,
턱 끝에 보형물 을 넣어서 완성을 시킨거고
성형외과와 함께 협진을 이룬 사례입니다.
끝으로, 최종 결과 사진을 보여드립니다.





많이 예뻐진 것을 볼 수 있죠?
전후 를 보면 정말 많이 달라졌습니다.
측면 두부방사선, 중첩 사진에 따른
전후 사진을 한번에 보여드립니다.


치료 기간 2020.02.18 ~ 2021.11.28
