미국에서 임플란트 수술 을 받으러 오신 스토리, english speaking dentist seou
뭐.. 옛날부터 여러번 언급했던 바
저희 더서울치과는 6개국어를 할 수 있죠.
그래서, 실제로 외국인 환자들이 많이 찾아오시며
예전에는 미국에서도 오셨던 분이 있었습니다.
물론, 인터넷에 검색을 했던 키워드는
‘english speaking dentist seoul’ 였었습니다.

시카고에서 날아오셨던 분인데,
편도로 13시간이 걸리셨던 분입니다.
이 분이 이렇게 멀리서 찾아오셨던
이유는 간단합니다.
1. 원거리 내원 환자를 배려한, 최소 내원 횟수
2. 수면 마취 진행 가능
3. 디지털 임플란트 사용에 따른, 통증 완화
이렇게 3가지 요소를 충족시킬 곳을
찾으셨는데, 물론 다른 치과들도 다 할 수 있겠으나
저희 치과를 선택하게 된 겁니다.
아무래도, 의사소통이 중요하기 때문에
이 부분을 조금 더 중점적으로 보셨던 거 같아요.
이 분이 저희 치과에 처음 오셨을 때는,
구강 내 여러가지 문제점들을 안고 오셨었습니다.
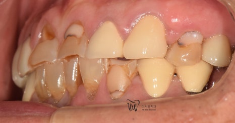
1.치경부마모증
2.어금니 결손
3.치아 통증
등의 문제들이 많으셨었죠.


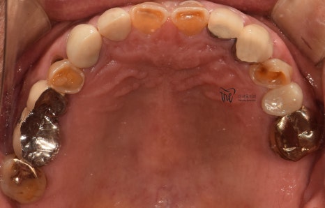
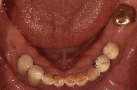
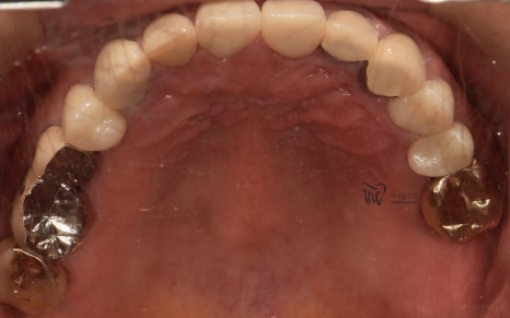
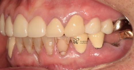
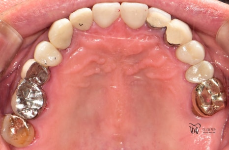
우선 교합면에서 바라보게 되면,
곳곳에 치아 결손 부위가 관찰이 되는데
이가 빠진지 시간이 꽤나 오래 되셨다는 것을
한 눈에 알아차릴 수 있습니다.
바로 결손부위를 보게 되면, 골 폭이 상당히
좁아져 있는 것을 볼 수 있는데 이는 치아 상실 후
방치 된 시간이 꽤나 오래 되었다는 것에 따른
반증이기 때문입니다.

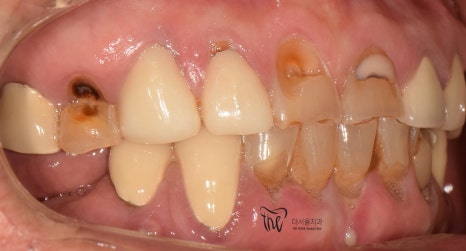
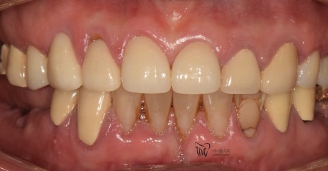
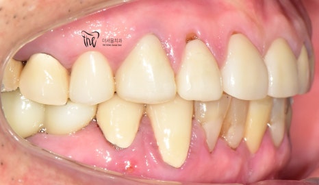
정면에서 봤을 땐, 비심미적인 모습을 보여주며
곳곳에 치경부파절증의 증세들이 드러나고
있습니다. 따라서 ,식사를 하실 때 마다
지끈거리는 통증 및 이가 시린 느낌을 지속적으로
받아오셨다 말씀을 하셨었죠.


근데 이 분은, 조금 다른 환자들과는 달랐습니다.
보통 치과에 오실 때는 긴장을 하고 오는데
이 분은 싱글벙글 웃으면서 오셨거든요.
왜 그러냐 여쭤봤었었는데, 치료 받은 후에
다시 예전처럼 식사를 맛있게 할 수 있는
상상만 하면 기분이 좋아진다고 얘길 하셨습니다.
긍정 그 자체였습니다.^^
다만 우려 되었던 점은, 어찌 되었던
당일 바로 지르코니아 크라운까지는
연결해드릴 수 없습니다.
뼈와 아무는 기간이 충분히 필요하며,
임시치아를 만들어드린다 한들 미국에서 또 다시
내원을 하는것이 쉽지 않으실텐데..
여러가지로 환자 입장에서 생각을 해봤는데,
만만한 일은 절대 아닙니다.
그러면서, 당일 바로 치료를 해드릴 수 있는 것들은
바로바로 진행을 해드렸었죠.





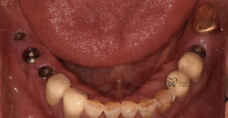
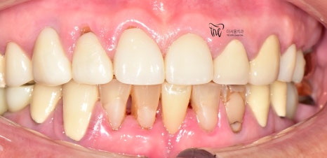
일단 사진에서 볼 수 있는 범위까지는,
한국에 계신 기간동안 열심히 치료해서
많은 변화를 안겨다 드렸었습니다.
그리고, 임플란트 수술 을 했던 곳은
뼈가 아무는데 대략 2개월 가량이 필요하니
그 이후에, 시간 나실 때 다시 또 한국으로 오셔서
지르코니아 크라운을 올리면 된다 라는
안내를 드렸습니다.
『10개월 뒤…』






개인사도 있었으며, 코로나 이슈에 따라서
10개월 가량 한국으로 못 들어오셨다 말씀을
하셨었습니다. 그때까진 임시치아로 버텨오셨는데
생각보단, 그간 구강 위생 관리에 철저하셨습니다.
염증이 있는곳도 없었으며 약간 살도 더 붙어서
오신 그런 느낌이 있었죠.
여하튼, 10개월만에 오셨기 때문에
너무 반가워서 30분 가량 서로 수다를 떨었네요.
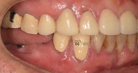
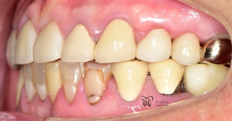
그리고, 지르코니아 크라운을 연결해드리면서
결손부위에 따른 재건은 모두 마쳐드렸습니다.
『오늘의 정리』
아프지 않게, 임플란트 수술 을 할 수 있다는 것이
알려지면 글로벌 환자들이 많이 오시는 거 같네요..
외국어를 많이 유창하게 구사할 수 있다는 것
또한 큰 몫을 했겠거니, 이렇게 또 좋은 결과를
안겨드렸으니 시카고에서도 이제 저희 치과의
이름을 알릴 수 있겠죠?
여튼, 글을 끝으로 말씀드릴 것은
역시나 문제가 나타났을 때는 빠른 시일내에
치과에 오셔야 된다는 겁니다.
임플란트 수술? 안할 수 있습니다.
제가 거의 글을 700개 가량 적어오면서
거의 빼놓지 않고 안내드리는 멘트가 바로
‘정기검진의 중요성’ 이죠?
거의 10,000회 포스팅을 할 때 까지는
계속 안내드릴 겁니다.
그때는, 이제 저의 명대사가 되지 않을까 싶네요.
감사합니다, 미국에서 임플란트 수술 을
받으러 오셨던 스토리를 끝마치겠습니다.

치료 기간 2021.05.03 ~ 2021.10.31

