인비절라인 비발치 덧니 교정 후 교정유지기 평생 장치를 껴야 되는건가?
안녕하십니까, 박현준 원장입니다.
보통 교정치료가 끝난 뒤에는 교정유지기 를
만들어서 환자께 전달드립니다.
크게 2가지로 교정유지기 를 나눌 수 있습니다.
● 가철식
● 고정식
으로 나눌 수 있는데, 가철식의 경우에는
쉽게 손으로 탈착을 할 수 있는 랩어라운드와
같은 장치를 일컫습니다.
그리고, 고정식은 보통 치아의 안쪽면에
부착을 해두는 얇은 철사장치를 뜻하죠.
처음에는, 이물감이 느껴질 수 있으나
대게 1~2주가 흐르면 본래 내 몸의 것처럼
느껴지기 때문에 이물감이 사라지게 됩니다.
다만, 가끔씩 간헐적으로 느껴지는 느낌 때문에
환자들께서 교정유지기 를 언제까지 껴야 되는지?
또는 평생 껴야되는지? 에 따른 질문을 하는데
정답을 말씀드립니다.
‘오래 끼고 있을수록 좋습니다.
차라리 평생 끼는거라 보는게 좋습니다.’
이렇게 말씀드리는 이유는,
우리 치아들은 본래 제 자리로 되찾아가려는
성질이 늘상 존재합니다. 교정치료를 통해서
가지런한 치열을 만들어드렸어도
제 자리로 되돌아가려는 힘을 억제하는 장치가
없다면, 금새 치열이 뒤틀리게 되겠죠.
결국, 가까운 미래에 재교정치료를 받으러
오는 분들이 은근히 있으면서 특히나
고정식 유지기 탈락이 있는 경우, 적시에
대처를 하지 않는 분들도 많습니다.
또 비용을 들여서, 재교정치료를 받기 싫다면
교정유지기 는 평생 끼고 가는걸로 이제
약속하는 걸로 하겠습니다.
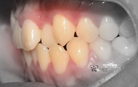
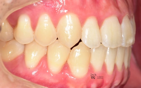
『덧니교정 치료 사례, 인비절라인 장치 사용』





정면 및 측면에서 봤을 때, 측절치의 후방위치에
따라서 반대교합 형태를 보여주고 있으면서
이 때문에 송곳니가 더 덧니처럼 보여지는 느낌을
받고 있는 모습을 볼 수 있습니다.
나아가, 하악의 전치부 쪽에도 총생 현상이
같이 관찰이 되면서 이런 비심미적인 요소들을
개선시키고 싶은 마음으로 더서울치과에
내원하셨던 분입니다.
그리고, 오시는 길에 이미 인터넷에서
다 찾아보셨더랍니다.
저희 치과가, 인비절라인 교정을 많이 하고
있다는 걸 알고 오셨으며 혹여나, 오래 걸려도
괜찮으니 티나지 않게 예뻐지길 바라는 마음으로
찾아오셨었죠.
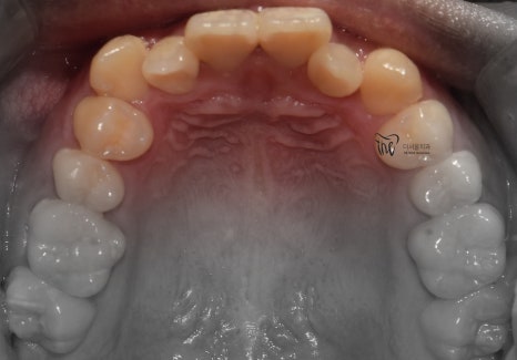
그래서 당일 바로, 클린첵 시뮬레이션 진단에
따라서 치료 계획을 수립했으며
비발치로 진행이 가능하다는 점을 안내드렸습니다.
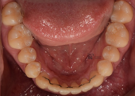
『11개월 소요, 치료 결과 안내』





이 분의 경우, 초기에는 13~14개월 가량
치료 기간이 소요 될 것으로 예상이 되었었습니다.
근데, 생각보단 치과에 자주 오셔서
f.u 을 받으셨고 굳이 오실 필요가 없었는데도
치아이동이 잘 되고 있는지를 점검받으러
오셨던 분입니다.
물론, 초기 치료 계획 수립이 잘 된 것도
한 몫 하겠으나 이렇게 본인의 구강 내 환경에
관심이 많은 분들은 좋은 결과를 볼 수 밖에
없겠죠.
따라서, 11개월 이라는 기간이 소요되어서
치료 종료가 되었습니다.
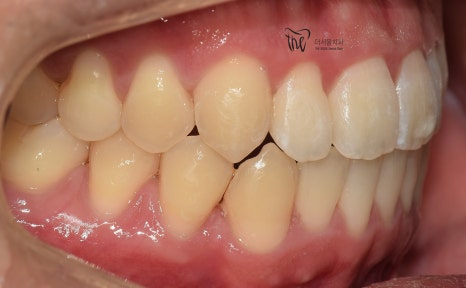
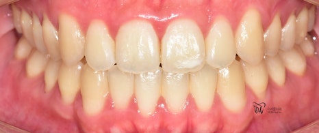
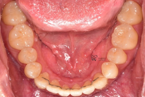
치열이 많이 가지런하게 펴진 것을 볼 수 있고,
그간 치과에 자주 오셨기 때문에 교정유지기 를
붙여드리면서 f.u 을 자주 받으러 오셔라..
라는 안내를 드렸었습니다.
그때까진 말이죠.
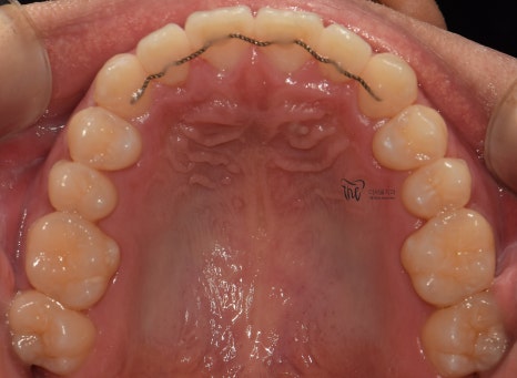
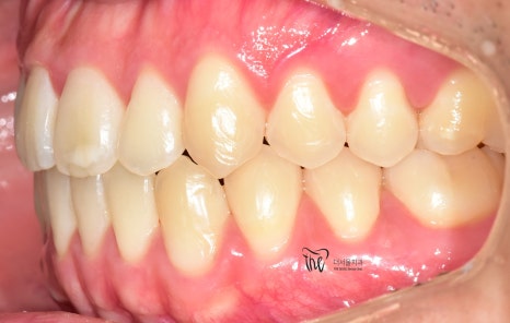
『1년만에, f.u』





근데..ㅋㅋㅋ 보통 3개월에 한번씩 정기검진을
받으러 오셔라는 안내를 드리게 되는데 이 분은
13개월만에.. 즉.. 거의 1년만에 치과에 오셔서
상태 점검을 받으셨습니다.
다행이였던 것은, 교정유지기 가
잘 붙어있었다는거.
게다가, 양치질이나 치실 사용 등
구강 위생 관리에 철저하셨던 분입니다.
자주 안 오신건, 어찌보면 아쉬운점이긴 한데
결과만 놓고 봤을 때는 손색이 없네요.
치석도 거의 없으면서 충치들도 없습니다.
교정치료가 끝났다 한들, 교정유지기 를
붙이고 있어도 꾸준히 치과에 오셔서
정기검진을 꼭 받으셔야 됩니다.
오늘 보여드린 임상증례처럼 행동했다간,
치열이 다시 흐트러지는 일이 발생 될 수 있으니
이 점 꼭 명심하셨으면 좋겠습니다.
감사합니다, 글쓴이 박현준 원장이였습니다.

치료 기간 2020.05.16 ~ 2021.12.09
