10개월만에 치아교정 끝, 인비절라인 장치로 턱관절 통증 도 같이 치료 가능
안녕하십니까, 박현준 원장입니다.
치아교정 치료와 턱관절 은
뗄레야 뗄 수 없는 필연적인 관계입니다.
왜냐하면, 해부학적인 관계에 있어서도
서로 기능적으로 연결이 되어있기 때문에
한 쪽에 문제가 생기면, 남은 쪽에도
이어서 곧 문제가 나타날 가능성이 농후한거죠.
예컨데, 정상 교합관계를 갖고 있다면
턱관절 통증 및 장애 등이 나타날 가능성이
현저히 낮은데
치아 결손이나, 구강 내 악습관에 따라서
교합관계가 틀어져서 본래 맞물리던 위치가
아닌 엉뚱한 곳에서 치아들이 맞물리는
교합관계가 형성 되면 턱관절 에도 문제들이
나타날 가능성이 높습니다.
또 이를 다르게 보면, 치아들이 맞물리는 위치.
이를 스타퍼(Stop)의 역할을 합니다.
이게 무슨 뜻이냐면, 이 글을 읽으면서
이를 꽈악 물어보십시오.
꽈악 물어봤을 때, 턱을 움직여 보십시오.
움직여 지나요? 움직여지질 않죠.
어금니의 교합면에 존재하는
교두(Cusp)들끼리, 맞물리면서 턱 관절이
움직이질 않게 막는 역할을 합니다.
조금 더 나아가서, 어금니를 살짝 문 상태에서
턱을 좌 우로, 움직이면 교두들끼리 서로
스치면서 움직이는 것을 느끼실 수 있을겁니다.
턱이 움직이는 방향을, 작업측.
그리고 그 반대편을 비작업측이라 부르며
턱관절이 움직이는 운동 자체는,
활주운동이라 부르는데 우리 치아들이 많이
관여가 되어있기 때문에 반드시 교정치료를
할 때에는 이러한, 교합 관계를 올바르게
개선을 시켜주는 곳에서 치료를 받는 것이
현명할 수 있겠습니다.





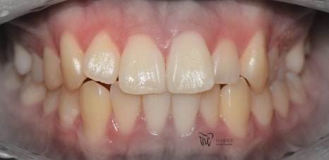
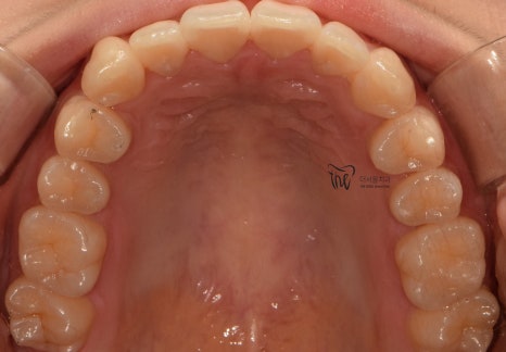
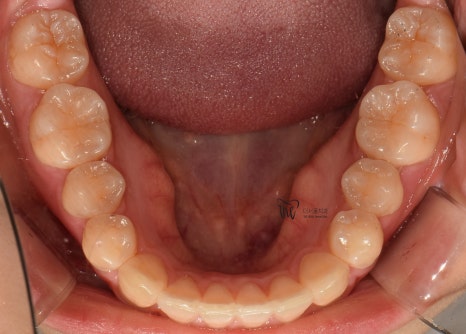
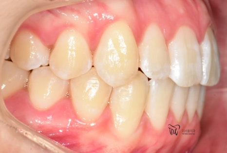
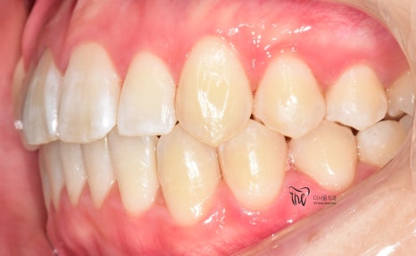
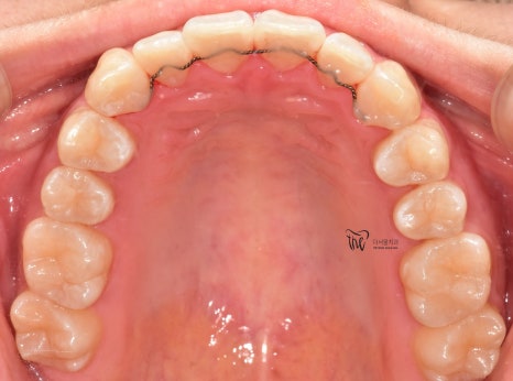
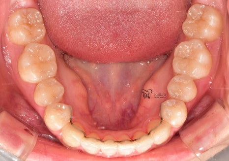
먼저, 임상 사진 5장을 보여드립니다.
그냥 겉으로 봤을 때는 단순 치아들의 불규칙성
때문에 치과에 내원을 하신 것으로 볼 수 있습니다.

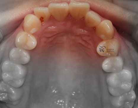
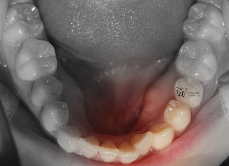
그러나, 좌측에서 바라봤을 때는 어금니들이
부정교합을 띄고 있는 것을 볼 수 있습니다.
즉, 거꾸로 물리는 반대교합의 양상을 보여주고
있고 이런 증세 때문에 턱관절의 통증까지도
같이 느끼고 있는 채로 내원을 하셨습니다.
즉, ‘턱관절 통증 치료 및 치열의 개선’
이 2가지를 함께 치료를 받고 싶어서 먼 길을
걸어서 오셨던 환자의 임상 증례입니다.
『인비절라인 클린첵 시뮬레이션』
이 환자는, 10대입니다.
아직 성장기에 있으며 앞서 말씀드린 것 처럼
뼈가 다 굳지 않았을 때 교정치료를 하는 것이
더 빠르고 정확하게 치아이동이 가능하다는 것을
설명드렸던 적이 있었죠.
인비절라인 클린첵 시뮬레이션을 돌려봤으며
크게 2가지 포인트를 보면 되겠습니다.
- 전치부, 총생 개선
- 반대교합, 어금니 위치 이동에 따른 교합조정
시뮬레이션 화면에서 치아들의 움직임을,
한 눈에 볼 수 있으며 이런 결과를 통해서
턱관절 통증 완화 및 심미성 개선
두 가지를 한번에 가져가실 수 있게 됩니다.
나아가, 사전 진단 결과에 따라서 인비절라인
교정치료를 진행했습니다.
투명교정이니, 겉에서 봤을 때 장치가
티가 나지 않는다는 것이 장점이죠?





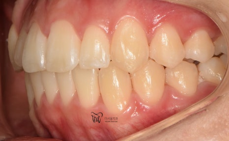
조금씩, 치열이 가지런해지는 것을 볼 수 있으며
이미 여기 시점으로부터 어금니들이 서로
거꾸로 물리는 반대교합의 양상은 사라졌습니다.





그러면서, 총 치료기간이 8개월 가량 소요가
되었던 걸로 기억을 합니다.
10대에 치료를 시작했으니, 생각보단
금방 끝났죠?
치열이 고르게 바뀐거 뿐만이 아니라
앞니들이 많이 앞쪽으로 뻐드러졌던
모습의 변화를 함께 볼 수 있으며
처음에 오셨을 때와는 다르게,
구강 내 어금니들이 위, 아래로 서로 다
고르게 다 맞물릴 수 있도록 바뀐 모습 또한
한번에 보실 수 있습니다.
+
턱관절 통증 까지도 말끔하게 사라졌으며,
예전과 다르게 식사를 할 때 조금 더
꼭꼭 씹어먹을 수 있는 느낌을 받아서
신세계..(?) 라는 표현을 쓰시네요.^^
이렇게 치료를 끝으로, 본인을 ‘빌런’ 이라
표현을 하는데, 이런 빌런에게 새로운 삶을
주셔서 감사하다는 인사를 받았습니다.
조금.. 오버해서 말씀을 했던 환자인데
어린 나이에 미리 오셔서 교정치료를
받으셨고 이에 따른 턱관절 치료 까지
함께 얻어가셨으니 다 커서 진료 받는
그 수고스러움을 피하실 수 있게 되었네요.
축하드리며, 앞으로 자주 뵙겠습니다.
감사합니다, 더서울치과 박현준 원장이였습니다.

치료 기간 2021.02.03 ~ 2021.12.06