치아 삐뚤거림, 총생, Crowding 이 있는경우 어떻게 개선하나요?
총생은 턱의 크기에 비해서
치아 크기가 크고 치열이 맞지 않아서
서로 겹쳐 있는 상태를 말합니다.
흔히 말하는 덧니도,
총생의 일부라고 말할 수 있으며
송곳니가 제 위치에서 벗어나
드라큘라처럼 나타나는 경우도 있습니다.
총생[Crowding] 이
가지는 문제점을 살펴보면 다음과 같습니다.
1) 이가 서로 겹쳐 있기 때문에
양치질을 열심히 해도
음식물 찌꺼기가 남아 있는 경우가 많습니다.
이로 인해,
치태와 치석이 잘 쌓일 수 있으며
충치 및 치주질환으로 이어질 수 있습니다.
2) 사람들과 대화를 할 때
손으로 가리는 행동을 하게 되는데
이로 인해, 대인 관계가 위축될 수 있습니다.
『초진』
"선생님!
앞니가 삐뚤거려요.
라는 주소로 내원해 주셨습니다."
정면에서 봤을 때
송곳니가 도드라져 보이기 때문에
드라큘라와 비슷한 형태로 비춰지고 있었습니다.



측면에서 보면
앞니가 뻐드러진 것을 볼 수 있었고,
주변 치아 가 기울어진 형태로 자리하고 있었으며


교합면에서 봤을 때
삐뚤거림 이 두드러지게 나타났으며
위,아래 앞니 모두 총생이 관찰되고 있었습니다.
이처럼
‘이’가 배열될 공간이 부족한 경우
발치를 통해서 필요한 공간을 확보하게 되며
이 공간으로
치아 삐뚤거림 을 개선하게 되는데
많은 사람들이 발치에 대한 거부감을 드러냅니다.
그래서, 간혹
발치를 하지 않고 진행하는 게
내 ‘이’를 오래 쓰는 방법으로 오인하고 계시는데
평소에
내 입이 튀어나왔다고 느껴졌다면
발치를 통한 교정치료를 권해드리고 있습니다.
"그 이유를
설명드리면 다음과 같습니다."
옷장에
옷걸이가 가득 차 있다면
더 이상 걸어둘 수 없는 상태가 되어 버립니다.
기존에 있던
옷걸이를 빼지 않는 한
새로운 옷을 걸어두지 못하게 됩니다.
이와 마찬가지로,
치아 삐뚤거림 을 적절히 개선하려면
발치를 통해서 필요한 공간을 확보하게 됩니다.
치아 삐뚤거림 으로 공간이 부족했기 때문에
발치를 통해서 적절한 공간을 확보하기로 했으며
환자께서
인비절라인을 통한 교정치료를 원하셔서
디지털 3D 클린체크 시스템으로
치아 가 어떻게 움직이게 되는지
미리 예측한 결과값을 보여드릴 수 있었습니다.
『중간 과정1』
사진에서 보여지는 것처럼,
작은 어금니를 뽑은 것을 볼 수 있는데
발치를 통해서 확보된 공간으로
치아 삐뚤거림 을 개선해 나가기로 했습니다.
"장치 부착"
인비절라인을 장착하려고
표면에 어태치먼트를 부착했으며
보조장치로 Power arm을 붙혀드렸습니다.
쉽게 말해 고리라고 생각하면 되는데
고무줄을 걸어서 당기는 힘을 주게 됩니다.
이 원리에 대해서,
자세히 작성한 글이 있는데
『치료 결과
삐뚤거림 개선』
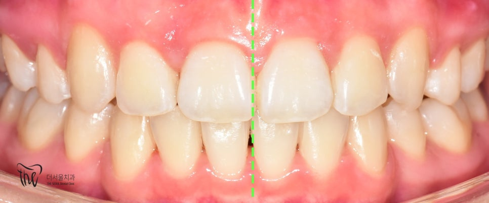
치료 기간은 22개월이 소요되었습니다.
기존에
앞니 정중선이 일치하지 않았으나
치료 후 일직선으로 뻗어내려가는 걸 볼 수 있으며


특히,
위,아래 앞니에서 삐뚤거림 이 심했는데
교정울 통해서 고르게 펴진 것을 알 수 있습니다.

글을 마치며!
환자께서,
저희를 믿고 잘 따라와준 덕에
예상했던 기간 보다 일찍 마무리할 수 있었으며
좋은 결과를 안겨드릴 수 있었습니다.
감사합니다.
* 아래 사진을 클릭하면, 인비절라인 관련
주의사항을 보실 수 있습니다.

치료 기간 2021.01.16 ~ 2021.12.28


