컴퓨터 분석 임플란트 및 이와 관련된 임상 케이스
컴퓨터 분석 임플란트 는
3차원 디지털 수술 시스템을 의미합니다.
시술 전에
디지털 진단 프로그램으로
잇몸 내부를 투사하는 과정을 통해서
정확한 뼈의 위치와 방향
뼈의 단단함(골밀도) 등을 확인하여
모의 수술을 통해서 식립할 위치를 결정하게 됩니다.
환자 개인 맞춤형
유도 장치(가이드=틀)을 활용하여
계획한 부위에 픽스처를 식립하는 방식을 말합니다.
기존의 방식은
잇몸을 절개하는 과정으로
술자가 픽스처를 심을 위치를 정해야 되므로
수술 기술
즉, 테크닉이 중요하기 때문에
시술 시간이 길어질 수밖에 없습니다.
그러나,
컴퓨터 분석 임플란트 로 진행하면
미리 정해놓은 경로에 식립하기 때문에
계획한 부위에 심을 수 있으며
가이드를 활용하므로 정확도가 높아집니다.
잇몸을 절개하는 과정이 없기 때문에
붓기나 통증이 줄어들게 됩니다.
"선생님!
수술 잘 한다는 소문 듣고
멀리 미국에서 비행기 타고 왔어요
라는 주소로 내원해 주셨습니다."
환자께서
몇 달 전에 어금니를 뽑았는데
그 이후로 음식을 먹는 게 시원치 않다고 하셨습니다.
그래서
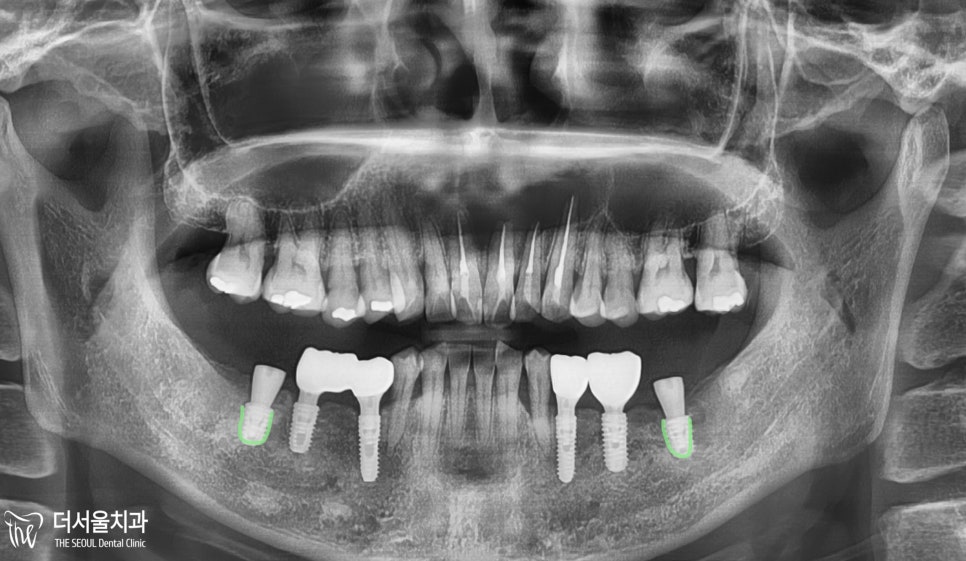
파노라마 엑스레이를 촬영했는데
아래쪽 어금니를 상실한 것을 볼 수 있었으며

위쪽 어금니와 맞물리지 못하므로
음식을 저작하는 기능이 떨어질 수밖에 없었습니다.
이로 인해
소화 불량으로 이어질 가능성이 높아서
임플란트 수술로 구강 기능을 되찾기로 했습니다.
『컴퓨터 분석 과정』
먼저, 3D-CT 촬영을 통해서
구강 구조를 정밀하게 평가했습니다.

이때, 해부학적 구조물을 고려해서
픽스쳐가 심어질 예상 위치를 파악했으며
이를 토대로,
환자에게 적합한 가이드를 제작한 뒤
계획된 위치에 픽스쳐를 식립할 수 있었습니다.

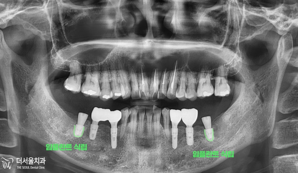
#37,47번 부위에
컴퓨터 분석 임플란트 를 진행한 모습입니다.
잇몸 절개 없이
계획한 부위에 픽스쳐를 심었으며
그 위에 힐링 어버트먼트를 체결하게 되었습니다.
그리고
적절한 골융합 기간을 통해서
임플란트 보철을 올려드릴 수 있었습니다.
사진에서 보이는 것처럼
치아색과 비슷한 지르코니아로 만들었으며
구강 내 심미성과 기능성을 동시에 개선했습니다.
이처럼
컴퓨터 분석 로 진행하게 되면
정확한 식립이 가능하다는 점이 있습니다.
잇몸을 절개하지 않아
통증과 출혈이 줄어들기 때문에
회복하는 시간이 빨라질 수 있으나!
모든 케이스에
적용할 수 없기 때문에
본원에서 정확한 검진을 받는 게 좋습니다.
글을 마치며!
이번 환자는
저번에 소개해 드린 분과 자매 사이로
머나먼 미국에서 비행기를 타고 내원해 주셨습니다.
이렇게,
멀리서 찾아와주신 만큼
모든 진료에 최선을 다했으며!
이러한 노력이 있었기에
좋은 결과를 보여드릴 수 있었습니다.
감사합니다.

치료 기간 2021.03.27 ~ 2021.07.23


