왜소치 ! 라미네이트와 치아교정 의 콜라보로 해결했습니다.
왜소치 란[Peg lateralis]
정상적인 크기보다 작은 것을 말합니다.
물론, 단어만 들었을 때
생소하게 느껴질 수 있으나
체구가 작은 사람을
왜소하다고 표현하는 것과 같은 맥락입니다.
(정상 범주에서 벗어나, 비심미성을 띄는 치아.
딱 봤을때 작은게 느껴집니다.^^)
보통 *두번째 앞니가 왜소치 인 경우가 많으며
크기가 작기 때문에 심미적으로 문제가 됩니다.
저희 병원에 내원하는 환자중에서
왜소치 를 가지고 있는 사람을 자주 만나는데
오늘은 라미네이트와 치아교정 으로
치료했던 케이스를 한번 보여드릴게요.
대게
왜소치 가 있는 사람은
라미네이트 또는 상황에 따라서 크라운 수복으로
개선하는 경우가 많은데,
이번 사례는
치열이 좋지 못했기 때문에
치아교정 을 통해서 함께 개선했던 케이스입니다.
(그래야, 근본 원인 자체가 해소가 될 수 있기에^^)
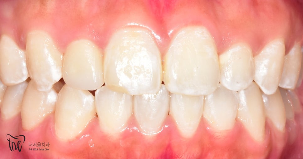
사진을 보면
*측절치에서 왜소치 가 관찰되고 있었으며
아랫니가 윗니를 덮고 있는 반대교합을 보였습니다.

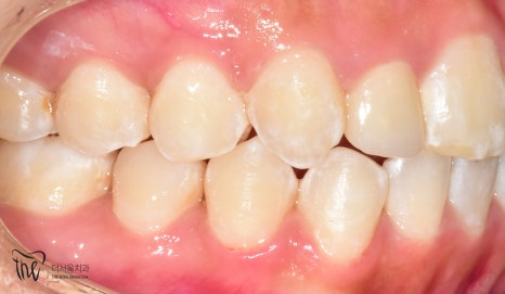
측면에서 바라보면
송곳니가 튀어나온게 두드러졌으며

치열이 고르지 못하고
삐뚤빼뚤 한 것을 볼 수 있었습니다.

정리해 보면
- 12번 [측절치] = 왜소치
- 앞니 삐뚤거림이 관찰되고 있었으며
이로 인해
- 이 사이 공간이 생길 수 있고
- 앞니 크기 불균형으로 이어질 수 있습니다.
앞서 말한
두가지 요인을 같이 개선하려고
라미네이트 및 치아교정 계획을 수립했는데
이 치료 핵심은
왜소치 가 나타난 측절치와
그렇지 않는 부위와 대칭적으로 만든 것 입니다.
이럴 땐! 인비절라인이 특효약이라 말할 수 있습니다.
* 이미 유튜브에서 인비절라인 관련하여,
수 많은 설명을 드렸습니다. (구독, 좋아요좀..)
왜냐하면, 인비절라인은
디지털 치아교정 으로 0.1mm 단위로
크기를 조절 가능하다는 점이 있기 때문입니다.
#12번을 치아교정 을 통해서
반대편에 있는
#22번과 같은 사이즈로 만들기 위해
공간을 부여했습니다.
이를 ‘클린체크’ 라는 시뮬레이션으로
움직이는 과정을 단계별로 획인해 볼 수 있으며,
치아교정 장치는
7일~14일 간격으로 교체하게 됩니다.
한 눈에 변화를 볼 수 있쥬?
공간을 확보하고
나머지 부위를 정상적인 위치로 이동시킨 뒤
라미네이트로 마무리하게 되었습니다.
치료 후 모습을 보면
측절치가 서로 대칭인 것을 확인할 수 있으며
앞니가 가지런해 진것을 볼 수 있습니다.




치아교정 후
다시 틀어지지 않도록
고정식 유지장치를 붙여드렸습니다.


앞니 안쪽면에
가느다란 철사를 붙이는 방식으로
치아들이 다시 흐트러지는 것을
예방하는 역할을 하게 됩니다.
다만, 철사가 탈락하면 다시 틀어질 수 있기 때문에
빠른 시일내에 치과로 내원하는 게 좋습니다.
『오늘 정리』
한번 더 말씀드립니다.
왜소치가 있는 분들이 치과에 오셔서
많이들 하는 말씀중에 하나가
‘교정치료를 하면 오래 걸리잖아요,
저 그냥 크라운 씌우면 안되나요?
아니면 뭐.. 라미네이트 같은거라던지..’
근데요, 해드릴 수 있는데 라미네이트나
크라운을 씌워드리려면 또 조건이 필요합니다.
수복을 할 수 있는 여유공간이 있어야 되며,
보철이 부착 되었을 때 유지력을 얻을 수 있는
형태인지도 봐야 된다는거죠.
만약, 이런 상황을 고려하지 않고
그냥 붙였다?
근데 금방 떨어졌다?
화내십니다..
그래서, 교정치료를 통해서 근본 원인을
개선시켜둔 후에 라미네이트 및 크라운 치료가
같이 병행이 되는 것이 예후에 도움이 됩니다.
『끝으로,
환자의 구강 상태에 따라서
치아교정 계획이
달라질 수 있기 때문에
정확한 검진을 받는 게 좋습니다.』

치료 기간 2021.05.16 ~ 2021.12.23





