몇 개를 심어야 적당한 것인가? 임플란트 개수 및 그에 따른 영향

안녕하세요, 박현준 원장입니다.
지난 글에 이어서, 2번째 저의 진지한 소고를
전하는 바 이 글로 임플란트 개수 에 관련 된
내용을 알려드리려 합니다.
이 글에서 안내드리는 기준(구강 환경)은,
남아있는 치아가 아예 없는 ‘무치악’ 을 기준으로
말씀드리는 점이기에 감안하고 봐주시길 바랍니다.

본론으로 들어가기전에, 하나 비유를 들게요.
어떤 매체에서 봤던 내용입니다.
‘우리 치아의 1개당 가치는 3천만원에 달한다.’
이 내용이 사실 틀린 내용은 절대 아닙니다.
유치가 빠진 뒤, 한 평생 가져가야 되는 영구치는
결손이 되면 임플란트 또는 브릿지 보철로
대체를 할 수 밖에 없습니다.
악어나, 상어처럼 이가 빠지면 그 자리에
다시 새로운 이가 자라는게 아니기 때문에
딱 한번의 맹출에 따른 영구치아들은
그만큼 가치가 있다는 뜻인거죠.
게다가, 이가 빠지면서 나타나는 부작용들도
상당히 우리 삶의 질에 영향을 끼치며
이가 건재하면서 우리에게 다가오는
행복 또한 꽤나 큰 편입니다.
사실, 이가 빠지지 않아보셨던 분들은
그 불편함이 어느정도인지
나아가, 삶의 질이 얼마나 떨어지는지를
체감하기가 여간 쉽지는 않습니다.
결국, 우리가 삶읠 영위하는데 필요한
의, 식, 주 에 있어서 ‘식’ 에 해당 되는 부분이
치아의 건강과 직결이 되며 먹는 재미를
담당하는 소중한 인체의 조직입니다.
사실, 3천만원이라 말은 하는데
이거조차 저는 싼 편이라 생각을 합니다.
자, 뭐 어찌 되었던 치아가 상실이 되었다면
임플란트 라는 소수술을 받으시어 기능 및
심미성을 재건시켜야 됩니다.
근데 내가 이가 다 빠져있는 무치악의 환자라면
몇 개를 심어야 되는지 ‘개수’ 에 관심이 많아지길
마련입니다.
왜냐하면, 이는 비용과 바로 직결이 되는거라
어찌보면 예민한 부분이랑 연결이 되거든요.
어떤곳에서는, 악당 기준(상악 또는 하악)으로
6개만 심어도 됩니다.
또는, 4개만 심어도 됩니다.
라는 말을 하는곳이 있고
또 다른 곳에서는,
최소 9개 내지 7개는 심어야 됩니다.
라 말을 하는 곳이 있습니다.
(6개만 하는것은 All on 6,
4개만 하는 것을 All on 4 라 부릅니다.)
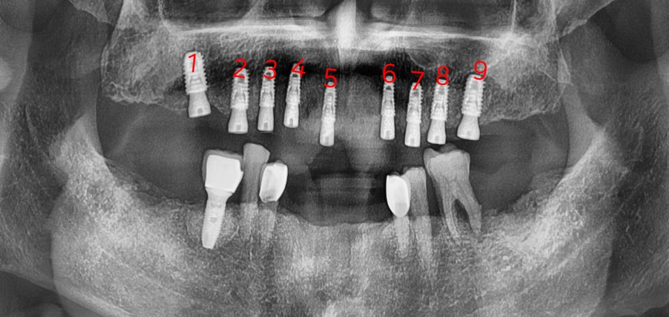
저희, 더서울치과의 경우에는 후자에 속합니다.
상악 기준으로 권장 개수 는 9개,
하악 기준으로 권장 개수 는 8개 입니다.

각기, 최소 개수 는 상악 7개 / 하악 6개 입니다.
물론, 그 이유가 있는데 이를 다 말씀드리기엔
내용이 너무 길어지니 다음에 설명드릴게요.
자, 그럼 왜 이렇게 임플란트 식립 개수
기준이 다른가? 라는 부분에서 말씀드립니다.
무조건, 환자의 상태를 체크하지 않고
최소 개수 만 안내하는 곳은 추후 ‘예후’ 를
전혀 고려하지 않은 접근 방법입니다.
어찌보면, 환자를 끌어당기는 수단이 되겠죠.
비용은 나름 6개만 하는 것이 저렴 할 수 있으니
추후 나타날 부작용이나 삶의 질을 전혀
고려하지 않은 채 싸게, 싸게 하려는 분들은
이런 최소 개수 에만 집중을 하실 거 같습니다.
근데요, 본래 우리 치아들은 사랑니를 제외하고는
28개가 맹출이 되며 이 치아들은 서로서로
맞닿으면서 저작력을 발생시키면서 저작활동
이라는 것을 하며 우리가 음식을 먹을 수 있도록
돕는 역할을 하죠?
근데, 자연치아의 저작력 70~80% 가량을 내는
임플란트 의 개수 가 자연치아 28개 보다 개수가
현저히 적다는 생각이 들지 않나요?
기대했던 것 만큼, 음식이 잘 씹히지 않을
가능성이 농후하며 여러개의 임플란트 들이
심겨저서 서로 교합력을 나눠가져야 되는데
버틸 수 있는 스트레스의 수치에 더 빨리
도달하게 되며 수명이 급격히 짧아지는
부작용을 초래할 수 있습니다.
우리가 과거, 과학시간에 배웠던
피로강도(Fatigue Strength)를 기억하나요?
본래 100이라는 힘을 버틸 수 있었는데,
평소에 지속되는 힘이 누적이 되어서
50이라는 힘이 들어왔을 때 쉽게 임플란트 가
파절이 될 수 있다는 말입니다.
아울러, 보철의 형태와도 직결이 됩니다.
중간중간, 이어주는 어버트먼트가 있어야
보철의 연결 형태 또한 올바르게 제작 됩니다.
중간중간, 빈 곳들이 많으면 하방에
음식저류가 더 많이 나타날 수 있으며
여러가지 문제들이 나타날 가능성을
열어주는 것과 똑같습니다.
* 위에 적어드린 내용은,
임플란트 틀니 라는 오버덴쳐(Overdenture)
와는 조금 다른 내용입니다.
『오늘 정리』
글을 끝으로, 저는 이렇게 비유를 하겠습니다.
바다와 섬을 이어주는 다리를 지어야 됩니다.
근데 건설 비용을 아끼려고, 상당히 긴 다리를
짓는데 다리를 지탱하는 기둥이 1개만 있다면?
원재료비는 아낄 수 있겠죠?
근데, 어느날 엄청 무거운 차가 지나간다면?
또는 통행량이 많아져서 기둥 하나가 버텨야 되는
무게가 늘어난다면?
전체가 쉽게 무너질 수 있다는 겁니다.
그래서, 조금 더 멀리 내다보고 오래..
그리고 튼튼히 쓸 수 있는 방법을 강구해야됩니다.
임플란트 2개 내지, 3개를 더 심어서 연결하면
전체 임플란트 의 컨디션이 더 좋아지는 기대효과를
누릴 수 있습니다.
감사합니다, 박현준 원장이였습니다.

치료 기간 2021.09.18 ~ 2022.02.03

