지금은 디지털 임플란트 시대, 이전과 무엇이 다를까?
제가 초등학교를 다닐때만 해도
안테나를 쭈욱 뽑아쓰는 전화기를 썼는데
지금은 한손에 ‘쏙’ 들어오는 형태로 달라졌는데요.
이것만 봐도
세월이 많이 달라졌다고 느껴지는데
요즘은 임플란트 심을 때 부쩍 자주 느낍니다.
예전에는
잇몸을 절개하는 방식이였다면
지금은 디지털 방식으로 진행하고 있기 때문입니다.
디지털 임플란트 는
컴퓨터 시뮬레이션을 통해서
임플란트 가 어디에 심겨질지 예상경로를 알려주고,
이상적인 위치에
임플란트 를 식립할 수 있도록
가이드 라는 틀을 만들어 수술을 진행하게 됩니다.
오늘 소개해 드릴 사례도
디지털 방식으로 진행했던 케이스로,
환자께서
오른쪽 부위가 아프다며
치아 통증을 호소하면서 내원해 주셨습니다.

파노라마 엑스레이를 보면
양쪽 어금니 주변이 어둡게 보이는데,
이곳에 염증이 생겨서
치아를 감싸고 있는 잇몸뼈가 녹아내린 상황이였죠.
양쪽 어금니모두 상태가 좋지 않아서
심각한 부위부터 치료를 시작하기로 했는데,
오른쪽 큰 어금니가 ‘더’ 안좋아서
먼저 하기로 했습니다.
발치 및 디지털 임플란트 를 계획하고
수술전,
모의 수술을 진행하게 되었으며

아래턱에 위치한
해부학적 구조물을 고려해
픽스쳐가 심겨질 위치를 파악하고
좋은 위치에 임플란트 를 식립하기로 했습니다.

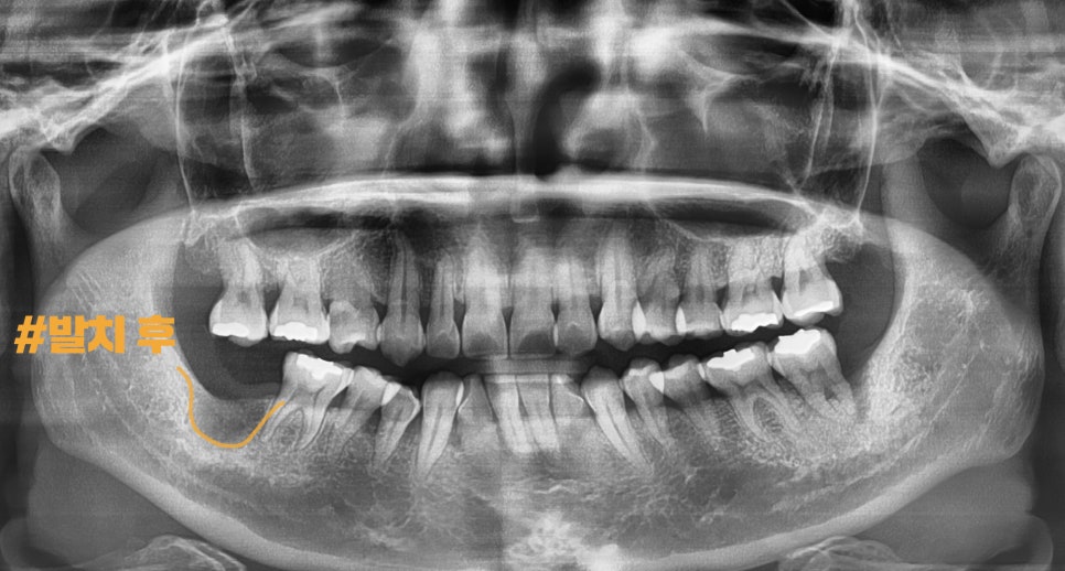
#47번 발치 후
파노라마 엑스레이를 촬영했으며
가이드라는 보조장치로,
계획된 부위에 픽스쳐를 식립할 수 있었습니다.
환자께서
아프지도 않았고, 붓지도 않았다며
엄지 손가락을 스-윽 치켜 드셨습니다.
이후,
뼈세포와 Fixture가 만나서
서로 결합하는 기간을 갖게 되었으며
SCRP TYPE으로
지르코니아 크라운을 올려드렸습니다.
환자께서,
오른쪽으로 음식을 먹는게 적응이 되면
반대편 부위도 치료하러 오겠다고 말씀하셨죠.

8개월 뒤)
환자께서
왼쪽 부위도 치료하고 싶어서
저희 병원을 다시 찾아오셨습니다.
마찬가지로
모의 수술을 통해서
픽스쳐가 심겨질 위치를 파악했으며,
이를 토대로
임플란트 수술을 진행한 다음
픽스쳐가 결합하는 기간을 갖게 되었습니다.


완성된 모습을 보여 드리겠습니다.
어금니 양쪽 모두
보철이 예쁘게 올라간 걸 볼 수 있으며,
환자께서
수술 결과에 만족해 하셨고
다음번에 신랑도 데리고 오신다고 하셨네요^^
오늘 설명해 드린 디지털 방식은
적절한 위치에 픽스쳐를 식립할 수 있도록
가이드 라인을 제시해 주기 때문에
불필요한 절개를 줄일 수 있으며,
정확한 위치에
안정적으로 식립할 수 있다는 이점이 있습니다.
글을 마치며!
환자마다
치아 상태가 모두 다르기 때문에
구강 내 데이터를 정확히 파악하는 게 좋습니다.
감사합니다.
오늘 설명드린 디지털 방식을 ‘유튜브‘로 보고 싶다면
이와 관련된 디지털 임상 증례는 아래를 클릭

치료 기간 2022.05.01 ~ 2022.10.01


