치과공포증 때문에, 임플란트 수술받기 무서운데 어쩌면 좋을까요?
어렸을 때
부모님의 손을 잡고
독감 주사를 맞으러 간 적이 있습니다.
처음에는
아무것도 모르는 상황에서
무방비 상태로 주사를 맞았지만,
나중에는
병원에 도착하기 전에
울음을 터뜨렸던 기억이 있습니다.
이렇게, 겁이 많은 어린 시절에
이런 경험을 하게 되면
공포심이 배가 될 수 있으며
나중에 어른이 되었을 때
병원에 대한 공포심으로 이어질 수 있는데요.
더군다나 치과는
윙윙거리는 날카로운 소리와
고통스러운 비명 때문에 ‘더‘ 무섭게 느껴집니다.
우리 주변에는
생각보다 많은 사람들이
치과공포증 으로
선뜻 치료받지 못하고
끙끙 앓고 있는 경우가 많은데요.
오늘 소개해 드릴 사례도
치과공포증 때문에
계속 미루다가 내원했던 케이스입니다.
바로 사진부터 보여드리겠습니다.
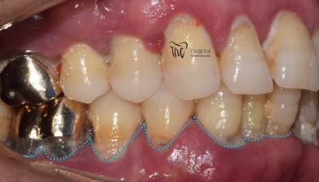
평소에 구강 관리를 하지 않아서
치태와 치석이 잔–뜩 쌓여 있었고



잇몸이 새빨갛게 부었으며
앞니/어금니 할 것 없이 흔들림을 보였습니다.
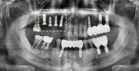
파노라마 사진을 보면
치아를 감싸고 있어야 될 잇몸뼈가
아래쪽으로 쭈–욱 내려간 것을 볼 수 있으며
잔존 치근/ 뿌리끝 염증으로
전체적으로 치아 상태가 좋지 못했습니다.

환자께선,
가벼운 검진에도
손을 벌벌 떠는 모습을 보였는데
그만큼
치과공포증 이 심한 상태였고
치아가 많이 흔들려서 참다못해 내원해 주셨습니다.
그러면서
주변 지인의 소개로
평택에서 성남까지 오셨다고 말씀하셨는데
제가 직접 검색해 보니
대략 70km로
1시간 반 정도 소요되는 걸 알 수 있었죠!

환자께서
시간을 내서 찾아온 만큼
최선을 다해 좋은 결과를 보여 드리기로 했습니다.
치료 계획은
- 잔존 치근 : 발치
- 심한 치주염 & 뿌리 끝 염증 : 발치 후 임플란트
- 치태 및 치석 : 스케일링으로 계획했습니다.
전체적으로
치태와 치석이 많아서
스케일링과 치주치료를 하기로 했으며
상태가 좋지 못한 부위는
발치 후 임플란트 를 식립하기로 했습니다.


컴퓨터 시뮬레이션으로
픽스쳐가 심겨질 위치를 파악하고
임플란트 를 심기로 했습니다.
앞니부터 심고
왼쪽 위아래 –>오른쪽 위아래 순으로 진행했는데



수술 기간 동안
환자께서 음식을 먹을 수 있도록
단계별로 임플란트 를 식립하게 되었습니다.
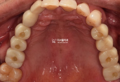
아래 사진을 보면
1. 잇몸치료로
치석과 치태를 말끔히 제거했으며
2. 픽스쳐 식립으로
어금니의 기능을 회복시킬 수 있었습니다.


글을 마치며,
치과공포증 이 심한 사람은
치과 생각만 해도 심장이 벌렁거리기 때문에
이런 심정을 공감해 주고,
극복할 수 있도록 도움을 주는 게 좋습니다.
감사합니다.
『남녀노소,
어른 아이 할 것 없이
누구에게나
병원이라는 공간 자체가
무섭게 느껴질 수 있기 때문에
치과공포증 이 생기지 않도록
환자의 마음을
잘 다독여 주는 게 좋습니다.』
더 서울 치과만의 통증을 줄이는 방법은?

치료 기간 2020.04.06 ~ 2020.12.09





