어린이 돌출입, 성장 교정 헤드기어 로 개선했습니다.(2급 부정교합 케이스)
치아나 잇몸뼈 자체가 튀어나온 것을
돌출입이라 부르며,
2급 부정교합에 해당하는데요.
위아래 앞니 잇몸과 치아가 전방으로 돌출하여
웃을 때 잇몸이 과하게 보이게 되는 것은 물론이고
입이 ‘잘’ 다물어지지 않습니다.
대게 유전적인 요인으로 발생하며
손가락을 자주 빨거나
입을 내미는 습관으로 생길 수 있는데
얼굴뼈가 성장하는 어린 시절에
교정으로 개선해 주는 게 좋습니다.
『오늘은 ‘헤드기어’ 로
돌출입 치료했던 케이스를 설명해 드리겠습니다.』
교정의 한 분야인,
헤드기어 =head gear는
1) 입안에 끼는 장치
2) 머리에 쓰는 밴드
3) 이들을 연결하는 탄성 모듈로 구성되어 있으며,



위 사진처럼,
위턱뼈가 앞으로 돌출되었을 때
상악 성장을 막기 위해 사용되고 있습니다.

즉, 위턱뼈가
앞으로 자라지 못하도록
뒤로 당겨주는 역할을 하게 되는데요.
위턱은 자라지 못하고
아래턱은 계속해서 자라기 때문에
자연스레 돌출감이 해소됩니다.
여기서 중요한 포인트는
헤드기어 를
얼마나 ‘잘’ 착용하느냐입니다.
하루에 12~14시간 착용해야 되며
보통은 저녁을 먹고
아침까지 계속 착용하는 것을 권해드리는데
아이들의 성장 시기를 이용하고
장치를 잘 착용하면
좋은 결과를 얻을 수 있습니다.

출처: 대한 치과교정학회
지금처럼 돌출입이 나타났다면
6세 이후 12세 사이에
성장 시기와 양상을 살펴보는 게 중요합니다.
헤드기어 로
좋은 결과를 얻으려면
꾸준한 관찰이 필요합니다.
잠깐 좋아지는 듯하다가,
되돌아가는 재귀 현상이 나타날 수 있어
12개월 동안 지속적으로 치료를 받는 게 좋습니다.
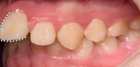
이번 케이스는
‘위턱이 많이 나온 상황’으로
측절치의 결손으로
위턱과 아래턱의 부조화가 나타났습니다.
이를 해결하려면,
위턱을 뒤로 밀어 넣어야 했기 때문에
헤드기어 를 활용해 교정을 진행하기로 했습니다.



가철식 장치 및 헤드기어 착용
대략 12개월간,
헤드기어 장치를 착용한 끝에
위턱 성장을 억제해
부정교합을 개선할 수 있었습니다.
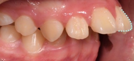
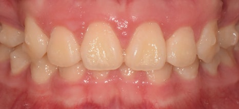
처음에는
치아가 보이지 않을 정도로
많이 튀어나왔지만,
턱이 뒤로 들어가면서
올바른 형태로 찾아갈 수 있었습니다.

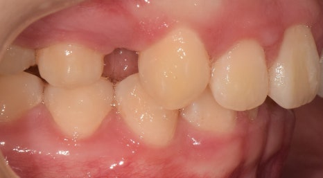
그러나,
아래쪽 치아가 부족한 관계로
그만큼 뒤쪽으로 밀어 넣어야 했기 때문에
위쪽에 있던,
‘작은 어금니’를 뽑고 나서
인비절라인을 함께 병행하기로 했는데요.

현재까지,
교정 치료를 진행 중에 있으며
점차 제 위치를 찾아가고 있습니다.



글을 마치며!
어린아이들은
양치질이 서툴기 때문에
부모님의 세심한 관찰을 필요로 하며,
이갈이를 시작할 때
구강 검진을 통해서 치아 개수가 정상인지?
체크하는 게 좋습니다.
감사합니다.
* 하단에 영상 하나 첨부해 놨는데
오늘 주제와 관련 있는 내용으로
독자들께 많은 도움이 되었으면 하는 바램입니다*

치료 기간 2021.01.03 ~ 2022.10.02

