[공지] 치아교정 과정, 기간 및 정밀진단이 얼마나 중요한지 알려드립니다.
안녕하십니까, 박현준 원장입니다.
우리가 건물을 지으려면 뭐 부터 해야 되죠?
땅을 먼저 살펴봐야겠죠?
얼마나 튼튼한지, 땅이 고른지를 봐야됩니다.
그 다음에는 얼마나 크게 지을 수 있는지
면적도 같이 확인을 해봐야 되고
이런 상황들이 종합적으로 판단을 해서 정리가
되면 그 다음에는 설계도를 만들 수 있습니다.
물론, 종합적인 판단을 하는 과정에서
진행이 어렵다던지 또는 한계가 있을 수
있다는 결론이 도출 될 수 있습니다.
치아교정 치료 또한 마찬가지입니다.
오늘 글 적는 주제 또한 그 ‘과정’ 중에 하나인데
정밀진단.. 이라는건 상당히 중요합니다.
거의 치아교정 과정 중에서,
중요도 99%를 차지한다 볼 수 있으며
저는 이런 것들을 한 줄로 정리해서
‘진단이 다르니, 결과 또한 달라집니다.’ 라는
표현을 쓰고 싶네요.
『대표원장, 박현준의 치아교정 과정 설명.』
저 또한, 과거에 치료를 받았던
사람중에 한명입니다.
그간, 다른 환자들의 임상 증례를 올리 때는
다 모자이크를 했었죠?
저는 안하고, 있는 그대로 보여드릴게요.





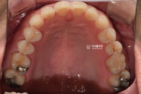
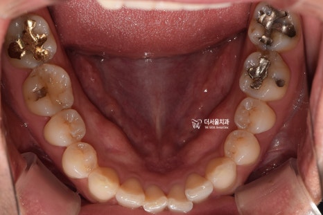
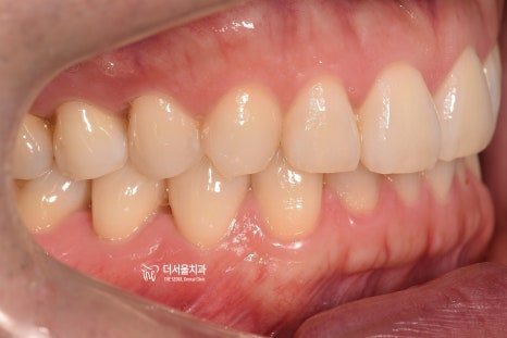
『1. 치아 상태 확인』
정면, 측면, 교합면 등 여러가지 방향에서
환자가 가지고 있는 치열의 상태를 먼저 확인합니다.
삐뚤빼뚤한 곳은 있는지, 또는 거꾸로 물리는 곳은
없는지, 나아가 충치 및 염증을 가지거나
치아 이동에 방해가 될 수 있는 사랑니를
가지고 있는지, 결손치나 있는지 등을
면밀하게 살펴보게 됩니다.
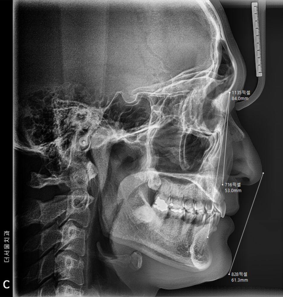
『2. 엑스레이 촬영 및 얼굴 사진』

엑스레이를 찍으면, 뼈의 모양 및 형태를
알 수 있습니다. 정면에서 찍은 것을 보니
저는 안면 비대칭이 있는 것을 볼 수 있네요.
측면에서도 마찬가지로 엑스레이를 찍습니다.
돌출입 또는 무턱의 정도를 알 수 있으며,
코 끝과 턱 끝을 이은 심미선(리케츠라인)을
활용 해서 환자를 어떤 방향으로 끌고 가야
되는지를 알려줄 수 있는 정보입니다.

끝으로, 파노마라 엑스레이를 찍게 되면
숨어있는 매복 사랑니 등을 확인 할 수 있습니다.
자 여기까지, 촬영을 끝마치면
일단 치아교정 과정 중에서 50%는 진행되었네요.
환자의 정보를 습득 했으니,
골격 및 치아의 상태에 맞는 치료 계획이
수립이 될 수 있겠습니다.
『3. 정밀 진단』
치아교정 과정 중에서,
이제 ‘꽃’ 이라 부르는 정밀 진단에 관련
되어서 저의 소고를 전합니다.
사실, 진단 자체는 의사마다 조금씩
기준이 달라서 ‘어떤 사람이 정답이다.’
라 말씀드릴 수 없습니다.
저는, 이 글을 빌어 저의 기준점을
보여드릴게요.
앞서 보여드린 사진에서,
두부 방사선 측면 사진(Ceph) 이 있었죠?
거기에 가상의 지표를 찍게 됩니다.
cephalometric bony landmark 라 부르는데,
사진으로 보여드리겠습니다.


이렇게, 해부학적 요소에 따라서
랜드마크를 찍어서 발치를 해야 되는지
브라켓은 어디에 붙여야 되는지 등을
알 수 있습니다.

저는 여기서, 코 끝과 턱 끝을 이은
‘심미선’ 이라 부르는 리케츠 라인을 주로 봅니다.
이 선을 기준으로, 입술이 튀어나와있다면
‘돌출입’ 그렇지 않다면 ‘정상’ 의 범주로 보며
발치 결정의 기준점이 될 때도 있습니다.
『4. 장치 선택』
예전에는, 직접부착법이라 해서 DBS 라는
방식을 많이 사용했었는데
‘브라켓 및 철사’ 장치를 쓰는 방식입니다.
물론 현재도 정통적 방법중에 하나이나,
저는 투명 장치인 인비절라인 으로
추가 시뮬레이션을 진행했었습니다.
저는 이 장치를 주로 쓰며 그간 적어왔던
글에서도 인비절라인 으로 많은 임상 증례를
해당 시뮬레이션은, 인비절라인 장치를
선택하셨을 때 보여드리는 클린첵 이라는 겁니다.

구강 스캐너 아이테로
사진처럼, 치아가 얼마나 그리고 어떤 방향으로
이동이 되는지 미리 알 수 있는 시뮬레이션입니다.




그래서 이런 방법을 쓰게 되면, 치아교정 과정 을
설명 드릴 때 환자들께서 훨씬 더 이해를 잘
하실 수 있는거죠.
『교정 기간… 왜 다 다른가?』
오늘의 주요 주제는 아닙니다만,
치과에 오셔서 많은 분들이 질문하는 내용중에
하나라서 알려드리겠습니다.
치아교정 과정 에서 기간 은 빼놓을 수 없죠?
이 기간 을 단축시키려면 몇 가지 요소가 필요합니다.
1. 환자의 협조도
– 월 진료를 잘 받으시면서, 구강 내 악습관 개선.
2. 치아 이동량 감소 및 치아 이동 방식
– 치아 이동량을 줄이는데는 여러가지 방법이
있습니다. 전체 교정 으로 할 것을 앞니 부분 교정
으로만 진행을 한다던지 아니면 어느정도의
치아 이동량만 끌어낸 뒤에 크라운 또는 레진,
라미네이트와 같은 보철 수복으로 치료를
완성시키는 방법
아울러, 치아 이동 방식에도 차이가 있습니다.


치아의 기울기를 유지한 상태에서, 이동을 시키느냐
또는 치아의 기울기와 위치를 같이 이동시키느냐.
물론, 둘 다 변화를 주는게 기간 이 더 오래
소요 될 수 밖에 없겠습니다.
『정리』
사람마다 가지는 ‘미의 기준’ 이 다 다릅니다.
그래서 저는 환자와 상담을 할 때 되도록
환자의 의견을 경청합니다.
다만, 환자가 원하는 방향이 추후 먼 미래를
내다봤을 때 좋은 예후를 가져다 주지 못할거란
판단이 든다면 그때는 설득을 하게 되겠죠?
그리고, 오늘 보여드리는 치아교정 과정 에
관련 된 글에서 여러분들이 얼마나 진단이
중요한지를 꼭 알아주셨으면 좋겠습니다.
진단 없이는, 치아를 어떤 식으로 이동을
시켜야 되는지 계획을 수립 할 수 없으며
아울러 눈으로 보는 것과, 실제 데이터와는
큰 차이가 있다는 거.
나아가, 부정교합 (Class1, 2, 3) 을 정확히
분류를 해서 그에 맞는 접근 및 계획 수립을
해야 되는데 이는 육안 검진으로는
전혀 알 수 없습니다.

출처 : google
글을 끝으로, 저는 이런 치아교정 과정 을
거치면서 조금 더 정확하게, 나아가 환자들께서
편안히 진료를 받으실 수 있도록 시스템을
구축해놨습니다.
앞서 설명드린, 아이테로 구강 스캐너와
클린첵 시뮬레이션 도입이 그 예시입니다.
구강 스캐너를 쓰게 되면,
석고모형을 만들 필요가 없으며 그 과정에서
필연적으로 나타나는 수축 및 팽창 에 따른
오차를 없앨 수 있으며 본 뜨는 과정 조차도
할 필요가 없게 됩니다.
그리고, 다른 장치를 쓰더라도
치아교정 과정 에 있어서 아이테로는
다 사용하고 있습니다.


좌 : 아날로그, 우 : 디지털 / 출처 : itero of google
또한, 클린첵 시뮬레이션에 따라서
내가 어떤 치료 결과를 가져갈 수 있는가? 라는
질문에 한번에 답변을 드릴 수 있게 되는거죠.
한번 더 말씀드립니다, 정밀진단 없이
치아교정 과정 을 논할 수 없으며 1년이 걸릴 것이
3년 또는 6년 7년으로 무기한 연장이
될 수 있습니다.
첫 단추를 잘 꿰메야 옷을 입을 수 있는 것 처럼,
시작이 중요합니다.

치료 기간 2021.02.18 ~ 2022.06.17


