네비게이션 임플란트 , 일련의 과정을 설명해 드리겠습니다.
어느덧
11월 막바지에 접어들고
12달이 코앞으로 다가오고 있습니다.
많은 사람들이
크리스마스를 맞이할 준비를 하며
가족, 친구들과 함께 여행을 갈 계획을 세우는데
만약! 처음 가보는 여행지라면
네*버 지도로 목적지를 검색하거나
자동차 네비게이션 길 안내를 받아서 찾아갑니다.
그 덕분에,
길을 잃어버리지 않고
목적지까지 ‘잘’ 찾아갈 수 있게 되는 거죠.
길을 알려주는 네비게이션 처럼,
치조골과 신경관의 위치를 파악하여
정확한 위치에 임플란트 를 식립하는 것을
‘네비게이션 임플란트’라고 말합니다.
사전에 해부학적 구조물의 위치를 파악하고
골질 및 치조골의 높이를 확인하게 되며
치료 결과를 미리 예측할 수 있기 때문에
시술 기간이 줄어든다는 이점이 있습니다.
『선생님,
네비게이션 임플란트 잘한다는 말을 듣고
멀리서 찾아왔어요.
* 용인 수지구에서 성남까지 찾아오셨습니다.*』
환자께서
오래전에 치아를 뽑았지만
별다른 치료를 받지 않았다고 말씀하셨습니다.


겉으로 보면
아무런 문제가 없어 보이는데
파노라마 엑스레이선 그렇지 않았습니다.
치조골 흡수로
잇몸뼈가 녹아내렸는데
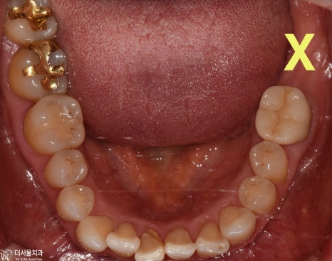
왼쪽 어금니가 ‘다소’ 심각한 상태였습니다.

우선,
네비게이션 임플란트 를 진행하기 위해
해부학적 구조물의 위치를 파악하게 되었는데
잇몸뼈가 많이 녹아내린 관계로
상악동과 거리가 가까웠던 상황이었습니다.
상악동이 천공될 가능성이 있었으며
엎친 데 덮친 격으로
해당 구조물에 염증까지 확인되고 있었습니다.
잇몸뼈가 얼마 남지 않았는데,,
더군다나 염증까지,, 있어서 쉽지 않았습니다.
앞서 말한 문제점을 해결하려고
[상악동 거상술을 동반한
네비게이션 임플란트 수술]을 계획하게 되었으며,
상악동이라는
얇은 막이 터지지 않도록 들어 올리고
빈 공간에 뼈이식을 통해서 보강하기로 했습니다.
네비게이션 임플란트 진단으로
어디에 심으면 좋을지 살펴
순차적으로 수술을 진행하기로 했습니다.
파노라마 사진에서 볼 수 있듯이,
위쪽 어금니->아래쪽 어금니->위쪽 어금니 순으로
차례대로 진행한 것을 알 수 있습니다.

상악동 거상술을 진행했기 때문에
소복한 눈이 내린 것처럼
하얗게 뼈이식재가 비쳐 보이는 것을 볼 수 있으며,
아래쪽에 심었던 것과 다르게
다량의 골 이식재가 진행되었기 때문에
충분한 기간을 두고 지켜보기로 했습니다.

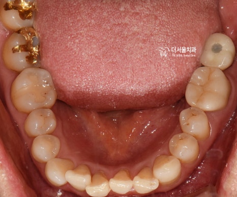
3개월 뒤,
맞춤형 지대주로 기둥을 끼워드리고
지르코니아를 연결해 드리면서
네비게이션 임플란트 수술이 끝나게 되었습니다.
다행히, 상악동 거상술을 할 때도
박리도 잘 되었고
천공 현상도 나타나지 않있습니다.


글을 마치며
환자께서,
임플란트 잘 한다는 말을 듣고
용인에서 성남까지 찾아오셨습니다.
이렇게,
멀리서 찾아와주신 만큼
더 신경 써서 좋은 결과를 보여드릴 수 있었습니다.
끝으로, 더 서울치과였습니다.
감사합니다.
이와 관련된 임상 증례는?
함께 시청하면 더욱 좋은 영상은?

치료 기간 2022.01.16 ~ 2022.06.01
