돌출입 기준, 비발치교정 에 따른 치아교정 스토리 (feat. 연예인)
안녕하세요 박현준 원장이예요.
많은 분들이 치아교정 을 받으러 오셨을 때 돌출입 을 가지고 있는 경우가 많습니다.
동양인의 특성상, 골격의 크기가 작기 때문에 앞니들이 앞으로 뻐드러져서 맹출이 되는
경우가 주요 원인으로 꼽습니다.
근데, 정확하게 내가 돌출입 인지 아닌지 ‘기준’ 이 없는 분들이 많아서,
이 글을 빌어 돌출입 기준 을 말씀드리면서 비발치교정 으로 진행했던 치아교정 스토리를
한번 보여드리겠습니다.
『초진 진단』
저~~멀리 인천에서 경기 성남까지 내원을 하신 분입니다.
제가 예전에 찍어서 올렸던 유튜브를 보고 오신 분이였는데요


활짝 웃으셨던 모습이 인상 깊었던 분이였죠.
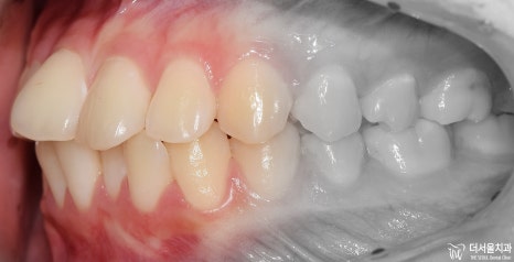
정면에서 볼 때는 앞니들의 배열 문제 이외에 돌출입 증세는 크게 느껴지지 않죠?
그리고, 안면 비대칭 또한 없는 분입니다. 이런 분들이 교정치료를 받으면 예후가 좋습니다.^^
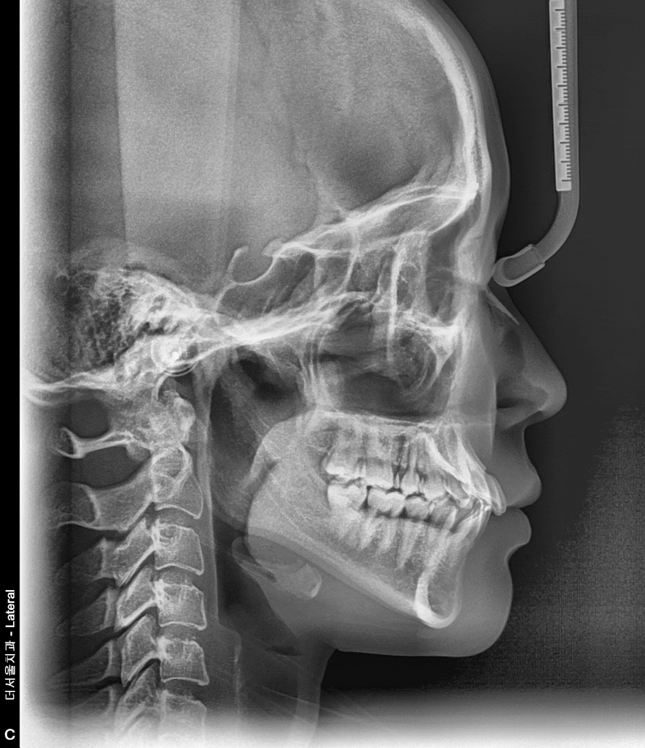
돌출입 기준

심미선이라는게 있습니다. 영어로는 Ricketts line(리케츠라인) 이라는건데 코 끝과
턱 끝을 일직선으로 이은 가상의 선을 뜻하는겁니다.
근데 이 분의 경우에는, 일직선 상에 입술이 위치되어 있는 것을 볼 수 있습니다.
돌출입 기준 으로는, 보통 입술이 이 심미선 바깥으로 튀어나가 있으면 돌출입 이라
부를 수 있는데 이 분의 경우에는 애매하죠?
심미선과 입술 위치가 서로 일치를 해야 예쁘다 라는 의견이 있고,
또 다른 쪽에서는 안쪽에 입술이 위치를 해야 예쁘다 라는 의견이 있습니다.
원래, 심미의 기준은 주관적이기 때문에 이 부분은 패스하겠습니다.
근데 핵심은 앞니들이 앞쪽으로 뻐드러져 있습니다. 즉, incisal angle 의 변화가 필요합니다.
『치료 계획 수립』


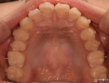
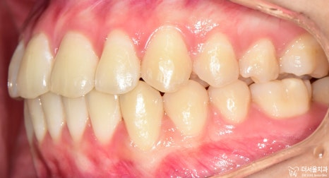
먼저 교합면에서 보게 되면, 앞니들의 총생이 관찰됩니다.

정면에서는 뭔가…. 그렇게 고르지 않은 치열이라는게 느껴지죠?
어색한 느낌이 계속 듭니다.


측면에서는 확연히, 돌출입 형태를 확인하실 수 있습니다. 이렇게 앞니들이 앞으로 뻐드러져
있는데 심미선을 기준 으로 봤을 때 입술의 위치가 그대로 예쁜 곳에 있는 걸 보면
연조직이 얇아서 가능하다라는 것을 추측할 수 있겠네요.
아울러, 이 분의 경우에는 비발치 교정 으로 치료를 하길 원하셨었습니다.
근데.. 가능할까요? 이미 치아들이 다 맹출이 되어있는 상태에서 앞니들만 뒤로 보낸다는게?
그래서 인비절라인 클린첵 시뮬레이션으로 확인을 해야 됩니다.
인비절라인 클린첵 시뮬레이션 진행
치열이 변화가 되는것을 한 눈에 볼 수 있죠? 이게 인비절라인의 장점입니다.
다행히 비발치교정 으로 진행이 가능하다는 판단이 나왔으며 어금니들의 위치 이동에 따라서
일부 공간을 확보하면서 앞니들을 뒤로 넣는 치료 계획이 수립되었습니다.
치료 진행, 1차 경과





치아의 표면에 인비절라인의 치아 이동 핵심 원리인 어태치먼트들이 붙여져 있습니다.
뾰족뾰족 튀어나온 것들이, 투명 템플릿과 서로 맞물려서 상호작용을 일으키는거고
이 힘 때문에 앞서 보여드렸은 클린첵 시뮬레이션 결과를 그대로 환자께 드릴 수 있는겁니다.
『돌출입 교정치료 종료
13개월 소요』





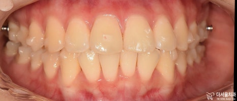
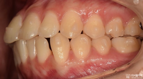
13개월 이라는 교정 치료기간이 소요되었으며, 앞쪽으로 뻐드러져 있던 앞니들도
incisal angle 변화에 따라서 제 위치를 되찾은 것을 볼 수 있습니다.

중첩시킨, 측면 두부 방사선 사진을 보면 확연히 앞니들의 기울기가 변화되는 것을
한 눈에 보실 수 있죠? 아래에는 참조 자료를 남깁니다.


왼쪽 사진은, 교과서에서 볼 수 있는 이상적인 위치의 앞니 기울기입니다.
물론 돌출입 을 따졌을 때는 비순각의 크기 또한 같이 고려를 해야 되나
해당 자료는 치아의 문제로만 바라보는 자료입니다.
오른쪽 사진으로는, 치아를 이동시키는 GIF 인데 이렇게 치근의 위치는 변화되지 않은 채
치축만 변화를 주는 경우가 있고 치근의 위치와 같이 기울기를 함게 변화를 주는 경우가
있습니다. 물론, 둘 다 같이 변화를 주는게 교정 치료 기간은 늘어날 수 있으며
어떤 것이 더 좋냐 라는 질문에서는, ‘환자의 구강 내 환경에 따라 다릅니다.’
라는 답변을 드릴 수 있겠네요.^^
『오늘 정리』
1. 돌출입 기준 :
심미선 이라는 리체크라인 을 기준으로, 입술의 위치를 판가름하며 입술의 긴장감은
비순각을 보면서 확인을 할 수 있습니다. 따라서, 이런 여러가지 기준점에 의거하여 환자에게
어울릴 수 있는 심미적인 요소를 되찾아드리게 됩니다.
2. 돌출입 을 가지고 있는 연예인 :
제가 예전에 올려드렸던 포스팅인데, 바로 ‘김연아’ 씨 입니다.
우리 대한민국을 빛내주셨던 빙판위의 여제 시죠.
관련 글 또한 하기에 첨부드립니다. 한번 보십시오.^^
감사합니다, 박현준 원장이였습니다.

치료 기간 2020.02.18 ~ 2022.01.04