누운 사랑니 제때 뽑지 않으면 임플란트 수술로 이어질 수 있습니다.
안녕하세요 박현준 원장입니다. 제가 저번에 뭐라 그랬죠?
‘정기검진은 필수’ 다. 어떤 문제가 발생 되는 거 자체를 막을 수 없으나
문제가 발생이 되었다면 초기에 적절한 조치를 취하면 여러가지로 이점들이 많다 는
내용으로 안내드렸던 적이 있습니다.
어쩌면 매 글을 적을 때 마다, ‘3개월에 한번씩은 정기검진을 받으러 오셔요.’ 라는 멘트를
드리는거와 같은 맥락입니다.
이번에, 보여드리는 증례 또한 마찬가지입니다.
누운 사랑니 를 그대로 방치를 해두셨다가 결국 임플란트 수술로 이어지셨던 분의
실제 케이스입니다. 여러분들은 이렇게 되지 않으셨으면 좋겠네요.
"선생님, 저 어금니쪽 통증이 있습니다."
라는 주소로 저를 찾아오셨던 분이 계셨었습니다.

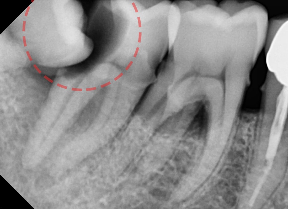
엑스레이를 보면 어디가 문제인지 찾으실 수 있나요?
바로 누워있는 사랑니 와 그 앞에 있는 큰 어금니가 문제가 되겠습니다.
조금 더 해상도 높은 엑스레이를 보여드릴게요.

어머나.. 바로 앞에 있는 제 2대구치의 치관 1/3 가량이 썩어있습니다.
신경치료도 되어있지 않은 곳이기 때문에 이미 상당한 통증을 느끼고 계셨던 터라
하루 빨리 치료를 해야 되는 상황이였습니다.
근데.. 이렇게 많이 썩은 치아를 살릴 수 있을까요?
아뇨.. 살린다 한들 예후가 그리 좋지 않기 때문에 오히려 상황이 더 악화되는 것을
막는 예방차원에서 임플란트 수술을 권장드렸었습니다.
『아니! 사랑니 뽑으러 온 건데 임플란트 를 해야된다고?』

먼저 급한대로, 사랑니 발치를 먼저 진행했습니다. 그리고 나서 왜 임프란트 를 할 수 밖에
없는지 설명을 드렸습니다. 해당 구강 내 사진을 보여드리면서 이미 제 2대구치의 상태를
말씀드렸습니다.
그리고, 원하신다면 보존치료로 접근을 할 수 있겠으나 예후를 장담드릴 수 없을뿐더러
추후에 또 다시 문제가 나타난다면 지금보단 더 큰 문제일 가능성이 높아서 더 큰 수술로
이어질 수 있다는 것 또한 안내드렸습니다.
일부러 설득을 드린게 아니라, 의료인으로서 있는 그대로 안내드린겁니다.
"네.. 어쩔 수 없네요, 임플란트 할게요.
안 아프게만 부탁드립니다!!!!"
그래도 용기를 내셔서 당일 바로 사랑니 발치 후 임플란트 시술을 받기로 하셨습니다.
다만 겁쟁이(?)셨기 때문에 수면마취를 요청하셨으며 가능하다는 안내를 드렸죠.
『디지털 임플란트 진단
컴퓨터 사전진단』


당일 바로 디지털 진단을 내렸습니다. 컴퓨터로 임플란트 를 어디에 심어야 좋은 결과를
얻을 수 있는지, 그러면서 주위에 방해 될 수 있는 해부학적 구조물들은 없는지를 살펴봅니다.
이 분의 경우, 이미 bone defect 이 있었던 터라 하치조신경관과 거리가 긴밀합니다.
따라서 gbr 이라는 guided bone regeration 이라는 골유도 재생술을 통해서 사랑니 발치
부위에 심겨질 임플란트 의 식립 위치를 살짝 조정하는 계획을 수립했습니다.
사랑니.. 제때 뽑지 않으면 진짜 이렇게 여러가지 과정을 거쳐야 되는 일이 발생됩니다..
『3개월 경과, 크라운 시적』


자… 3개월이라는 시간이 소요 되었습니다.
사랑니 발치 이후 금연도 하셨고 무려 금주까지! 그래서 더 빨리 뼈가 아문 거 같습니다.
결국 치아 2개를 잃고, 새로운 치아 1개를 얻으셨네요.
이번 기회에 정기검진의 중요성을 다시 깨달으신거 같고 앞으로 더 자주 뵙기로
저와 손가락 약속을 하셨습니다.^^
감사합니다, 글쓴이 박현준 원장이였습니다.

치료 기간 2021.05.19 ~ 2021.10.13