상악동 거상술 을 하면 통증 이 있나요? 부작용 은요? (feat. 뼈이식)
안녕하십니까 박현준 원장입니다.
내가 윗니가 빠져서 임플란트를 해야되는데 임플란트를 심을 곳에 뼈가 얇다?
그러면 90% 이상은 상악동 거상술 이라는 sinus lifting 술식을 해야 되며
그 하방에는 gbr 이라는 뼈이식을 해야 됩니다.
이런 술식을 하지 않은 채, 또는 CT 촬영과 같은 정밀진단을 하지 않아서 냅다
임플란트를 심게 되면 상악동 천공이 일어나게 되면서 여러가지 부작용 에 휘말릴
가능성이 농후합니다.
거상술 을 하는 방법에는 크게 2가지가 있는데
1)측방접근법(Rateral approaching) 2)수직거상법(Crestal approaching) 이 있습니다.
여러개의 implant fixture 를 심어야 되는 multiple case 에는 측방접근법이 유리하고
그렇지 않은 single case 에 있어서는 수직거상법이 주로 쓰이는 편입니다.
그리고, 이 과정에서 환자들이 우려하는 ‘통증’ 은 발생되지 않습니다.
다만, 측방접근법을 했을 경우에는 잇몸을 절개하며 그 속에 있는 치조골의 측면을
삭제하기 때문에 통증 보단 붓기나 멍이 들 수 있는 부작용은 나타날 수 있으나 대게
일주일 내외로 금새 사라지게 됩니다.
그래서, 통증 은 크게 염려하지 않으셔도 된다는 얘길 드리고 싶습니다.
오늘 보여드리는 상악동 거상술 임상 증례는 예전에도 한번 보여드렸던 적이 있었습니다.
그때는 다른 내용으로 설명드렸으며 오늘은 전체 흐름을 한번 더 되짚어 보겠습니다.
『선생님, 저 맛있게 밥 좀 먹는게 소원입니다.
다수 치아 결손 환자』

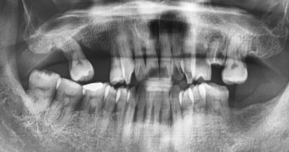
저를 찾아오셨던 이 분은, 이미 치아들이 많이 결손이 된 상태로 오셨었습니다.
한 쪽에는 뿌리만 남아있는 치아, 그리고 다른 곳에는 아예 치아들이 없는 상태입니다.

맞물리는 치아들은 앞니밖에 없는데 앞니로는 고기를 뜯거나, 질긴 음식을 드실 수 없죠.
즉, 교합 관계 불량에 따라서 올바른 저작 활동을 하실 수 없는 상태로 판단 되었었습니다.
그래서, 먼저 제 기능을 하지 못하며 염증만 가득 품고 있는 일부 치아들을 발치했습니다.

근데 문제는, 남아있는 치조골의 양입니다. 뼈가 이미 많이 얇아진 상태라서
상악동 거상술 은 필연적으로 진행을 해야 되는 상황이며, 이 내용을 환자께도 그대로
안내를 드렸었습니다.
이에 따라서 환자께선 “참말로.. 할게 많네요.. 근데 통증 은 없습니까?”
역시, 환자들께서는 통증 에 관련되어서 예민하죠.
앞서 설명드린 것 처럼 붓기나 멍은 발생 될 수 있으나, 어차피 마취를 진행하고
그 이후에 마취가 풀렸을 때도 통증 은 있어봤자 조금 살짝 뻐근한 느낌 정도라는 걸
말씀드렸습니다.
『컴퓨터 시뮬레이션 진행
조금 더 정확하게!』

컴퓨터 단층 촬영(CT)를 통해서 조금 더 정확하게 상악동 까지의 거리를 측정하면서
심겨지는 임플란트 길이와 함께 얼마 만큼의 거상술 을 진행해야되는지 살펴봅니다.

1번 및 2번, coronal plane 및 sagittal plane 에서 뼈가 상당히 얇음을 보여줍니다.
이대로 심었다가는 큰일 나겠죠?


그래서 조금 더 신중히 진단을 내리게 됩니다.
화면에서 보실 수 있는 3D 모형은 디오나비 라는 디지털임플란트 시스템 구현 화면입니다.
미리미리 시술 결과를 예측할 수 있는 스마트한 기술이죠.


이 과정에서 염증이 있다는 것 또한 알아낼 수 있었습니다. 조금 더 시술을 하는데
도움이 되는 정보들을 한 눈에 술자에게 알려주기 때문에 예후가 좋을 수 밖에 없겠죠.

또한, 미리 어떤 형태의 보철이 올라가야 되는지도 예측을 할 수 있습니다.
『임플란트 시술 진행』
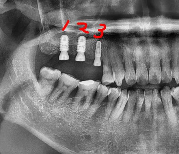
상악동 거상술 을 한 뒤에, 대략 3개월을 둡니다.
골 화가 다 된 것을 확인 하고 나서 임플란트를 심어야 좋은 결과를 거둘 수 있죠.

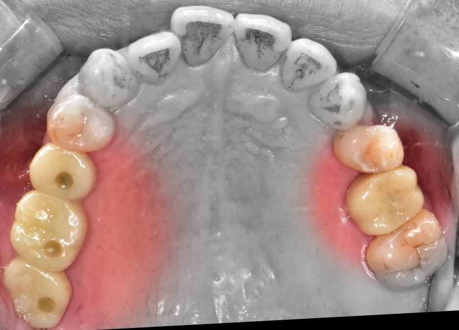
사진에서 보실 수 있는 것 처럼 먼저 3개의 고정체를 심었습니다.
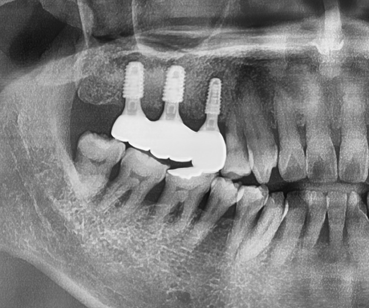
편측으로 먼저 지르코니아 크라운까지 다 올려드린 뒤에 남은 편측을 진행합니다.

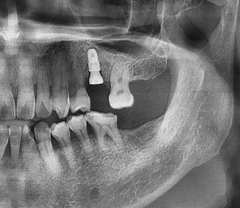
시간이 또 대략 2개월 가량이 흘러서 이렇게 지르코니아 크라운까지 시적을 해드리면

반대편 또한 고정체 1개를 심어드리게 됩니다. 물론, 여기에도 상악동 거상술 은
진행했었습니다.
『최종 완성, 1년 소요』


양측으로 다 4개의 임플란트를 심었고, 여기에 상악동 거상술 및 뼈이식에 따라서
회복을 하는 기간을 포함하여 총 1년이 소요 되었습니다.
길면 긴 시간이나, 또 어떻게 보면 앞으로 남은 인생의 삶의 질을 바꾸는 시간이라면
또 짧은 시간으로 볼 수 있겠습니다.
그리고 이렇게 1년이라는 시간을 거치면서 환자께서는 통증 이나 부작용 에 관련되어서는
한번도 언급을 하지 않으셨으며 점점 치과에 오실 때 마다 표정이 편안히 오신다는 걸
느꼈었습니다.^^ 이럴 때는 참 보람차죠. 공포심을 덜어드렸으니깐요.
근데.. 금연은 좀 하셨으면 좋겠습니다…
감사합니다, 박현준 원장이였습니다.^^

치료 기간 2021.01.16 ~ 2021.10.17




