인비절라인으로 송곳니 덧니 교정 을 하게 되었습니다.(비발치 Case)
안녕하십니까, 박현준 원장입니다.
오늘은
송곳니 덧니 에 대해서 설명해 드릴까 합니다.
송곳니 는
유치에서 영구치로 교환하는 시기에
덧니 로 자라날 가능성이 높습니다.
그 이유를 살펴보면
영구치가 자라나는 순서와 관련이 있습니다.
치아가 맹출할 때
어금니->중절치->측절치가 자란 뒤
송곳니 가 자라나게 됩니다.
적절한 시기에 유치를 뽑지 않거나
충치를 치료하지 않았다면,
송곳니 가 덧니 로 맹출할 가능성이 높아집니다

영구치 맹출시기[출처: mouthhealthy]
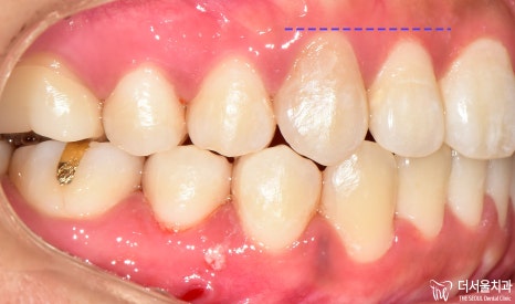
덧니 케이스를 살펴보면
송곳니 가 위쪽으로 변위되어 있는 모습을
확인해 볼 수 있습니다.
덧니 는 여러가지 원인으로 나타날 수 있는데
영구치로 교체될 시기에 유치를 제때 뽑지 않아서
변위된 각도로 맹출한 경우 많습니다.

이러한 증상을 쉽게 알아보려면
치아가 맹출된 높이를 확인해 볼 수 있는데요.
사진에서 보이는 것 처럼,
주변 부위보다 월등히 높이 솟아있다면
교정 으로 올바른 위치로 배열시킬 수 있습니다.

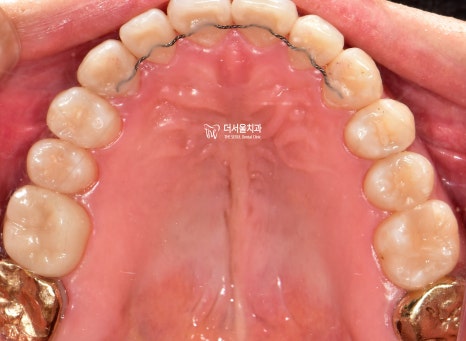
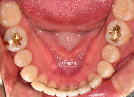
위&아래
교합면 방향에서 바라본 모습을 보면
치아 배열이 고르지 못한 것을 볼 수 있는데


간혹, 발치 계획을 수립하는 경우가 있습니다.
해당 환자는
코가 오똑하고 높기 때문에
발치를 하게 되면 합죽이처럼 보일 수 있습니다.
이러한 이유에서
비발치 교정 계획을 수립하게 되었으며,
브라켓을 부착하지 않고
심미적인 방법으로 교정 을 진행할 수 있는
인비절라인으로 하기로 했습니다.
인비절라인은 탄성이 있는 투명장치로
치아 모양에 맞춰서 장착하고
치아를 조금씩 이동시키는 방법을 말하며,
2주에 한번씩 새로운 장치로 바꿔서 끼우게 됩니다.
인비절라인 클린 체크 : 어떻게 변화되는지 시뮬레이션으로 나타내고 있습니다.
인비절라인은
치면에 교정 장치를 부착하지 않기 때문에
심미적으로 우수하다는 특징이 있습니다.
다만,
치아를 많이 움직여야 된다면
부분적으로 어태치먼트를 부착하게 되는데
구강 색상과 유사해서 크게 티나지 않습니다^^
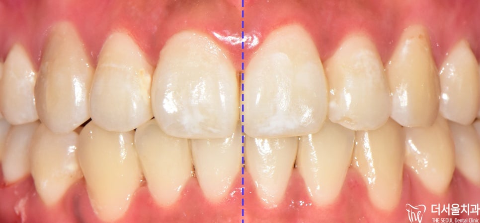
이제 치료 결과를 보여드리겠습니다
과연 어떻게 바뀌게 되었을까요???



높은 위치에 있던 송곳니 가
가지런히 배열된 것을 확인해 볼 수 있습니다.
전체적인 악궁의 형태도
부드러운 U shape를 나타내고 있으며,


바깥쪽으로 뻐드러졌던 부위가
올바른 위치로 개선된 모습을 볼 수 있습니다.
치아가 제 위치를 찾아가면서
한결 정돈된 느낌을 주고 있네요^^
글을 마치며!
1급 부정교합은
크게 불편하지 않기 때문에
교정 의 필요성을 느끼지 못하는 경우가 많습니다.
오늘 소개해 드린
덧니 를 그대로 방치하게 된다면
나이가 들면서 빠져버릴 수 있는데요.
송곳니 는
뿌리가 긴 부위로
중심 기둥과 같은 역할을 하고 있기 때문에
교정 을 통해서 ‘꼭’ 개선하는 게 좋습니다.
끝으로, 더서울 치과 였습니다.
감사합니다.
덧니 교정 에 대해서 더 알고 싶다면?
유지장치 주의사항에 대해 알고 싶다면
의가형제 유튜브 영상을 시청하면 더욱 좋습니다.

치료 기간 2020.06.16 ~ 2021.11.06

