고등학생 치아교정 후 신경치료 및 크라운을 씌웠습니다.
안녕하십니까, 박현준 원장입니다.
올해 대학수학능력 시험이
2022년 11월 17일(목)에 치러졌다고 하네요-!
저 또한
수능을 보고 대학교를 갔던 터라
그때 얼마나 긴장했는지 말도 못 할 정도였는데요.
아무래도
3년 동안 공부를 했던 결과가
수능으로 결정된다고 하니 얼마나 떨리겠어요?
그렇죠??
이번 달에
수능 결과가 나왔다고 하던데
모두들 좋은 결과 나왔기를 바라겠습니다 *^^*
이렇게
수능이라는 거대한 산맥이 지나가면
고등학생 졸업과 동시에 대학입학 준비를 하는데
제가 원하는
대학교에 입학한다는 설레임에
일주일 동안 잠 못 이뤘던 기억이 떠오르네요~ㅋㅋ
이제부터
진정한 자유(?)를 맛볼 차례인데
그동안 신경 쓰지 못했던 외모를 가꾸게 됩니다.
대표적으로
고등학생 ‘ 치아교정 ‘을 예로 들 수 있는데
이번에
더 서울치과에서 인비절라인으로
진행했던 케이스를 설명해 드리겠습니다.
이번에
수능을 마친 고등학생 이
“선생님!
치아교정 받고 싶은데 안 보이게 하고 싶어요.”
라는 주소로,
더 서울 치과를 내원했습니다.
검진 결과
2급 부정 교합 소견이 나타났는데
위턱이 아래턱보다 튀어나온 것을 의미합니다.
고등학생 환자가
눈에 띄지 않게 치료받고 싶어 했기 때문에
본원에서 인비절라인 치아교정 을 권해드렸습니다.
인비절라인은
투명한 치아교정 장치로
심미성이 뛰어나므로 눈에 잘 띄지 않습니다.
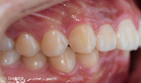
치료 전)
정밀 진단을 통해서
환자의 구강 상태를 분석한 다음
어떤 방향으로 치료할지 결정하게 되는데요.
-코가 어느 정도로 높은지
-입술이 어느 정도로 튀어나왔는지
-앞니 각도는 적절한지등을 종합적으로 분석합니다
치아교정 은
치열을 가지런하게 만든 것뿐만 아니라
전체적인 이미지를 바꾸기도 하는 치료이기 때문에
위와 같은 사항으로
전체적으로 파악하고 분석하는 이유입니다.
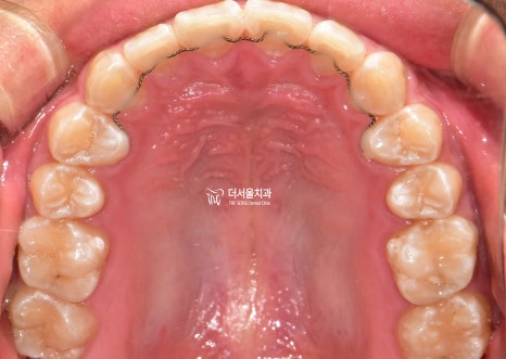
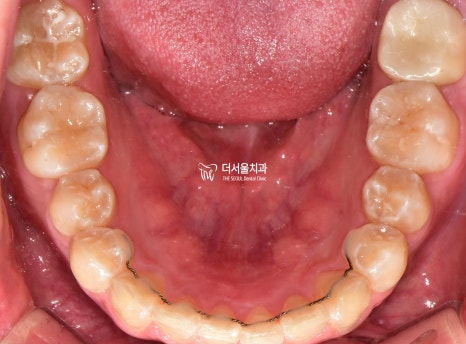
구강 사진을 보면
윗니가 뻐드러져 있는 걸 볼 수 있으며
아랫니는 치열이 고르지 못한 것을 알 수 있었습니다.


정면과 측면에서 봤을 때
하악 전치부가 거의 보이지 않을 정도로
심한 과개 교합을 양상을 나타내고 있었습니다.



전체적으로
문제점을 종합해 보면
2급 부정교합과 과개 교합을 나타내고 있었습니다.
이러한 문제점과
구강 내 심미성을 유지하기 위해
인비절라인으로 치아교정 을 진행하게 되었습니다.
"인비절라인 클린체크 시뮬레이션"
클린체크 시뮬레이션은
어떻게 치열이 개선되는지 보여주기 때문에
상하악 치열궁 확장
하악 전치의 합입 및 이동을 하기 위해
첫 번째 세트를 대략 9개월간 착용하게 되었습니다.
이후
2급 부정교합 및 치열 개선을 위해
두 번째 세트를 착용하고 치료를 마무리했습니다.
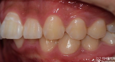
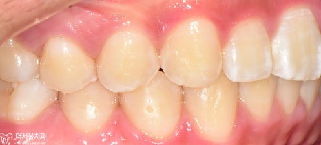
인비절라인 후
구내 사진을 보여드리겠습니다
처음에 보이지 않던
하악 전치부=아래턱 앞니가
이제는 ‘잘’ 보이는 것을 확인해 볼 수 있습니다.



고르지 못했던 치열도
바르게 개선되면서 ‘U’ Shape를 나타냈으며
안쪽 면에 설측 유지 장치를 붙여드리게 되었습니다.



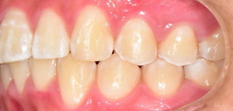
* 치아교정 전
#37번 큰 어금니에 충치가 있던 관계로
인비절라인을 마무리하면서
신경치료 및 크라운을 씌워드렸습니다.*


글을 마치며!
대학교 입학을 앞둔 고등학생 여러분~
그동안 수능 준비하느라 모두들 고생하셨습니다-!
고등학생 졸업과 동시에
2023학번 대학교 신입생이 되신 걸 축하드립니다.
끝으로, 더 서울 치과 였습니다.
감사합니다.
오늘 소개해 드린 고등학생 케이스와
의가형제 유튜브 영상을 시청하고 싶다면?!

치료 기간 2020.01.16 ~ 2022.04.01


