송도에서 성남까지, 원거리 내원치료. 인비절라인 후기
교정치료를 받는 분들은,
최소 6개월에서 3년 가량 저랑 얼굴을
봐야 되니 서로가 가지고 있는 사연을
말하는 경우가 많습니다.
해외에서 오신분이 있고,
좋은 일이 있는 분이 있는가 반면에
또 나쁜일 때문에 스트레스를
받고 있는 분들 등
여러가지 상황을 가지고 있는 분들을
접할 수 있습니다.
오늘 보여드리는 증례는,
인비절라인 후기 를 남겨주신 분인데
성남에서 치료를 받다가
가족들이 다 같이 인천 송도로
넘어가셔서 원거리 내원으로
2년만에 끝날 수 있었던 치료가,
3년 까지 연장이 되었던 증례입니다.
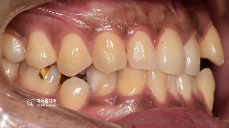
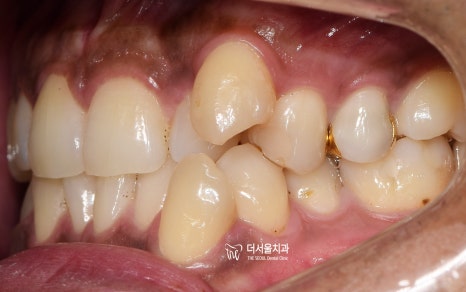
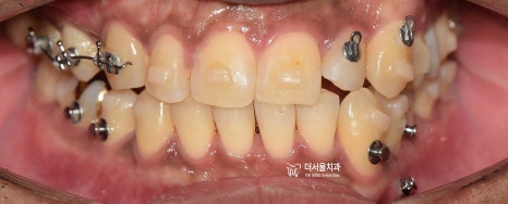
『초진 사진』



정면과 측면에서의 모습입니다.
치열의 불규칙성이 한 눈에 들어옵니다.
근데 단순히 이거 때문에 내원을 하셨을까?
아니죠.

정면에서 보는 안모사진을 보면,
얼굴의 중신선과 앞니들이
서로 일치하지 않는것을 볼 수 있습니다.
이건, 교합면에서 봤을 때
더 명확히 드러나게 됩니다.

상악 악궁에 배열 된 치아들은,
살짝 한쪽으로 쏠려 있는 것을 볼 수 있습니다.
어금니의 위치는 서로 대칭이 되는데,
앞니쪽으로 갈 수록 악궁의 형태가
조금 비대칭이 되는거죠.

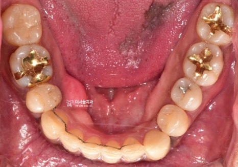
그러면서 하악에서도,
치열의 불규칙성이 같이 관찰되는데
결국 이런 치열들 때문에,
발치를 결정할 수 밖에 없었고
양측으로 동시에 발치를 하는게 아닌,
#14, 44번 치아만 발치하는
편측발치로 진행을 하게 될 상황입니다.
『한번 더 정리』
편측 발치를 해야 되는 이유는,
아래 사진 2장에서 보실 수 있습니다.

단순히 치열만 고르게 하는게 아니라,
얼굴과의 조화로움도 만들어드려야
진정한 교정치과 의사겠죠?
『클린첵 시뮬레이션』
인비절라인 장치로 치료를 받고 싶다는,
환자의 의견에 따라서 사전 시뮬레이션을
진행했습니다.
『본격적으로 치료 진행』
좋은 인비절라인 후기 를 얻을 수 있었던
이유는 앞단에 설명드린 안모와의
조화로운까지 고려를 해서 그런거 아닐까 싶네요.
환자께서도 편측 발치 진단에
동의를 하셨고 곧바로 치료에 들어갔습니다.





사용 된 장치로는
철사장치 및 인비절라인 인데
처음에는, 인비절라인 만 했었으나
환자께서.. 장치를 잘 끼지 않으셔서
치아 이동이 원활하게 되지 않았었죠.
그래서, 중간에 철사 장치로 발치 공간을
닫으면서 불규칙했던 치열을 바로 잡았습니다.
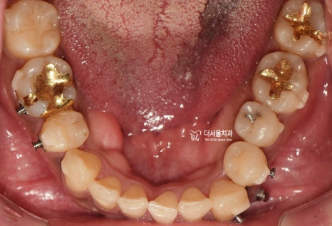
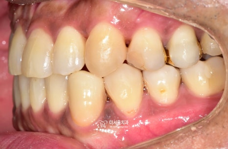
『3년 소요』
원래는 2년을 예측했는데,
멀리 이사가신것도 있고 중간중간에
장치를 잘 안껴주셔서 1년이 추가 되었죠.





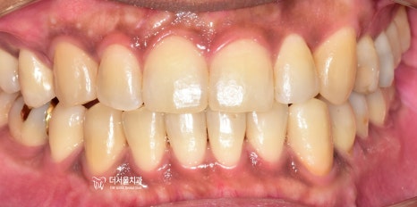
근데 여기서 모든 치료는 다 끝났는데,
앞서 인비절라인 클린첵 시뮬레이션을
보여드렸었죠?
중간에 한번 더 수정을 했습니다.
보기 좋은것도 좋은건데,
교합 기능의 올바른 부여로
음식을 더 잘 씹어드릴 수 있게 되셨네요.

끝으로, 이제 안모와의 중심선도
같이 일치 되는 것을 볼 수 있습니다.
『오늘 정리』

고른 치열도 좋은데요,
얼굴과의 조화로움도 같이 따져봐야 됩니다.
결국, 심미성 개선을 위해서 치과에
오시게 될 텐데 모든 것을 한번에
얻어가셔야 되는데 잘못 된 진단으로
일부만 얻어가는 일은 없으셨으면 좋겠습니다.
『인비절라인 후기
feat. 더서울치과』
선생님, 안녕하세요.
불규칙했던 치열 때문에 상당히
스트레스를 받아오며 살아왔었고
어릴 때 미리 교정치료를 받아둘껄..
이라는 생각도 중간에 들었었습니다.
근데 어쩌겠습니까, 이미 이렇게 된 거 ㅎㅎ
그래도 이렇게 좋은 결과를 얻을 수 있어서
좋았고 제 얼굴과의 중심선까지 같이
고려를 해서 인비절라인 치료 계획을
수립하실지는 처음에 생각 조차 못했네요.
그냥 단순히 이빨만 보고 넘어갈 수
있는 저의 상황에서 여러가지 요소를
한번에 고려하셨다는 것에 감동이고
인비절라인 후기 작성으로,
병원 발전에 더 많은 도움이
되셨으면 좋겠습니다.
멀리 이사가서, 앞으로 자주
못 뵙겠으나 그래도 가족들 데리고
가겠습니다.

치료 기간 2020.03.16 ~ 2021.04.03



