성장교정 을 해야 되는 이유? 인비절라인, 페이스 마스크 사용
성장교정 이라는 단어 자체를
생소하게 여기는 분들이 많습니다.
물론, 과거와는 다르게
자라나는 우리 아이들에게 부모님들이
관심이 많은 편입니다.
예전에는 안 그랬죠.
크면서 예뻐질거라고…
근데 어릴 때 예방차원에서
치열과 턱 뼈의 균형을 맞춰주지 않으면
다 큰 어른이 되었을 때,
수술적 치료가 필요할 수 있습니다.
예컨데, 양악수술과 같은 개념인데
비용이나 시간 등이 더 많이
소모 될 수 있기 때문에
성장교정 이 필요하다 여겨질 때는,
지체 없이 하루 빨리 움직여야 됩니다.
관련 글로는, 최근에 작성했던
‘인비절라인 퍼스트’ 포스팅에 들어있으니
한번 클릭해서 보셔요.
『선생님, 우리 아이.. 치료 받아야 되나요?
2017년 첫 내원』


정면 사진 및 측면 안모 사진에서,
느껴지는 것들이 있습니다.
첫번째, 주걱턱의 경향
두번째, 얼굴이 길게 느껴짐
얼굴이 길게 느껴지는 거는,
사진으로만 봤을 때는 치아의 문제입니다.
즉, 교합 관계만 올바르게 맞춰주면
아래턱이 위로 올라갈 거 같네요.
다만, 주걱턱의 경향은 골격성의 문제기 때문에
성장교정 을 통해서 위턱과 아래턱의
균형이 맞아야 개선이 되는 상황이였습니다.

그래서 치료 계획 수립에 앞서,
먼저 성장판 검사를 하게 됩니다.
수완부 촬영인데,
아직 턱이 더 클 수 있다는 것을 뜻합니다.
(종자골이 없음)
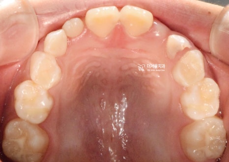
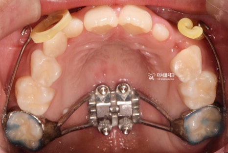
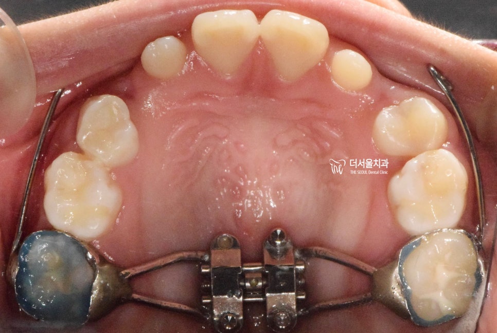
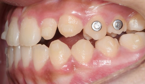
『구강 내 사진』
성장교정 이 필요한 이유는,
구강 내 사진에서도 뚜렷히 찾아볼 수 있습니다.





유치가 빠지면서 영구치아가 올라오고 있는
혼합치열기에서, 영구치가 올라올 수 있는
충분한 공간을 확보하면서
턱의 위치를 바로 잡는것이 핵심포인트입니다.
우선 여기서 봐야 될 큰 문제는
1) 절단교합(Edge to edge bite) 입니다.
윗니가 아랫니를 물고 있어야 되는데,
서로 절단연끼리 맞닿고 있죠.
그러면서, 성장교정 을 통해서
위턱의 크기를 발달시키며
아래턱은 억제시켜야 되는 상황입니다.
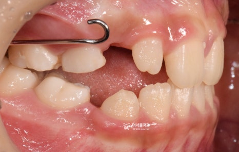
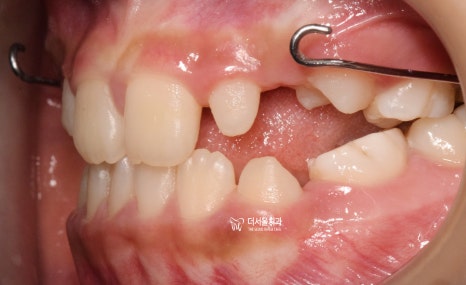
『페이스 마스크(face mask) 사용』


착용 전



착용 후
악궁 확장장치와 페이스마스크를 사용했습니다.
요즘은 잘 안 쓰죠?
구외장치도 같이 껴야 되기 때문에
심미성이 떨어지면서, 아이들이 싫어합니다.
왜냐하면 친구들이 많이 놀리고,
하루에 대다수 시간을 끼고 있어야
효과를 볼 수 있기 때문이죠.
(이때는 인비절라인 퍼스트가 없었습니다.)
그렇게, 페이스 마스크 및 악궁확장장치를
끼니 윗니가 아랫니가 덮는 overjet 이
형성 되어있는 것을 볼 수 있네요.
"상황이 더 나빠졌네요."
근데, 여기 단계까지 왔다가 결국
보호자와 환자는 서울대 치과병원으로 갔습니다.
근데, 거기서 교정을 할 수 없다는 판단하게
돌고 돌아서 결국 다시 저에게 오셨는데
그 기간이 꽤나 기셨거든요?
치열이 다시 나빠져 있는 상태로
내원을 하셨었습니다.
아마.. 이 때 서울대로 가지 않고
성장교정 을 계속 진했더라면
더 수월했을텐데..
클린첵 시뮬레이션에 따라서,
치열이 어떻게 변화되는지 미리 계획을
수립해봤습니다.
어떤식으로 이동이 되는지 눈에 띄죠?접기/펴기
『변화가 시작되었습니다.』





많이 달라졌죠?
인비절라인 장치로 성장교정 을 하면서
같이 만들어낸 결과입니다.
아직은 갈 길이 먼데,
처음에 오셨을 때 초진 사진과 놓고 보면
많이 달라진 것을 볼 수 있습니다.
"사춘기가 왔네.."



크..게 달라지지 않았습니다.
보통 사춘기가 오면 장치를 안 끼거든요..
『아쉽게 치료 종료』
성장교정 은 여기서 끝나게 되었습니다.
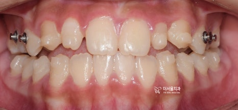
최종 결과를 보여드릴게요.

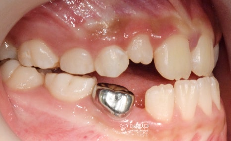
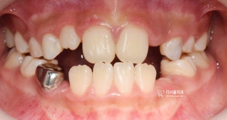
측정치는 왜소치의 형태를 가지고 있었기에,
크라운을 만들어서 수복해서 심미성을
부여해드렸습니다. (표기 : 1, 2번)

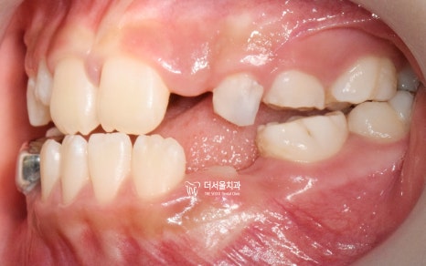
성장도 이제 멈추셨습니다.
종자골이 만들어졌기 때문에
아마 턱도 이제는 성장이
턱 교정 에 따른 변화 사진
이렇게 아쉽게 교정 치료는 종료가 되었습니다.
처음에 오셨을 때와는 분명히 다른 모습이
만들어졌기 때문에
‘우와’ 라 할 수 있는데
제 눈에는 digitation 이 부족합니다.ㅠㅠ
그래도, 3개월에 한번씩은 f.u 을
받으러 오기로 했으니
중간중간 체크만 잘 해도
괜찮을 거 같습니다.^^

치료 기간 2021.05.03 ~ 2022.05.01

