보험 임플란트, 임플란트 틀니의 콜라보레이션 (가성비진료)
안녕하십니까, 박현준 원장입니다.
정말 최소 비용으로
다수의 치아 결손 또는 무치악 상태를
극복할 수 있는 방법을 설명드릴게요.
"어떤 방법인데?"
바로 만 65세 이상인 분들께 적용이 되며
아래와 같은 조합으로 진행이 가능합니다.
1) 상악 전체 보험 틀니
2) 보험 임플란트 2개
이렇게 구강 내 전체를 재건해드려도,
환자들의 입장에서는 본인 부담금이 30%
정도로 형성이 되기 때문에
전체 임플란트로 하는 것 보단
1/3 가량 낮은 비용으로 진행이
가능해집니다.
『가성비 치료 사례 설명』

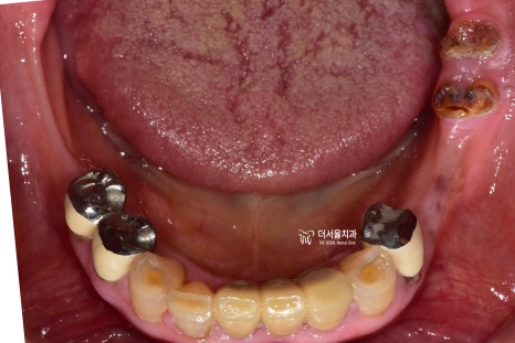
더서울치과에 오셨던 이 분의 경우,
구강 내 온전한 치아가 거의
없는 상태로 오셨었습니다.
이미, 치아의 결손 범위가 넓으셨으며
남아있는 치아들도 치근만
남아있는 곳이 거의 대다수입니다.





과거 부분 틀니를 오래 써오셨으며,
유지력을 얻게 도와줬던 surveyed crown 이
있던 위치는 치근만 남아있네요.
『치료 계획』
상악에는 전체 틀니를 해드려도
환자들께서 큰 불편함 없이 잘 쓰시는 편입니다.
그래서, 상악에는 남아있는 잔존치아를
발치를 한 뒤에 전체 틀니를 해드리기로 했으며
하악에는 보험 임플란트 2개를
적용시켜서 지금보다 더 나은 저작활동을
하실 수 있도록 재건해드리기로 했습니다.
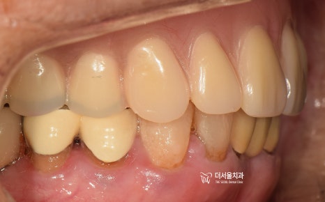
『임플란트 시술 결과』

남아있는 자연치아의 양 옆으로
나란히 1개씩 총 2개를 심어드렸습니다.


이후, CT를 찍어서 예상 된 위치에
임플란트가 잘 심겨졌는지 재 확인을 하죠.

사전 디지털 임플라늩 진단
뼈가 많이 위축이 되셔서,
여간 쉬운 일은 아니였었습니다.

이후, 2개월뒤에 최종 보철까지
연결을 해드렸고
체크를 해둔 곳을 보면은, 한 쪽이
허공에 떠 있는 것을 보실 수 있죠?
바로 cantilever bridge 라는겁니다.

『틀니 치료 결과』
틀니를 장착 했을 때,
첫번째로 고려해야 될 것은
‘편안함’ 입니다.
연조직이랑 맞닿아서 유지력을 얻기 때문에
정말 신중히 제작을 해야 되는데
첫번째 단계는 바로 indivisual tray 를
만드는 겁니다.
환자마다 가지고 있는 악궁의 형태가
다 다르기 때문에 개인에게 딱 맞는
본을 뜰 수 있는 손잡이가 필요한거죠.

이렇게 만들어드린 뒤에, 인상 채득을 거쳐


사진에서 보실 수 있는 것 처럼
상악 전체 틀니가 완성이 됩니다.

물론, 사전에 색조 대조는 합니다.
어떤 색조로 틀니를 만들어야 되는지
미리 색조를 결정해두는 겁니다.
(shade taking)
『최종 결과』
이제 여지껏 설명드린 것을
한번에 보여드리면



상, 하악이 전체 수복이 된 것을 볼 수 있습니다.
1) 심미성 재건 완료
2) 구강 내 저작활동 가능
이제 새로운 구강 환경이 만들어졌으니,
앞으로는 먹고 싶으셨던 음식들을
맛있게 드시길 바랍니다.
단, 3개월에 한번씩 정기검진
받으러 오시는 건 잊지마셔요~

치료 기간 2021.09.04 ~ 2022.10.02