인비절라인 기간 단 10개월 만에?!

『2급 부정교합에 대해 들어보신 적 있나요?』
아래턱에 비해 위턱이 발달된 형태로
돌출된 입매를 갖고 있습니다.
교정 상담을 위해 내원하는 분들을 보면
돌출 때문에 콤플렉스를 갖고 있는 분들이
제일 많다 해도 과언이 아닙니다.
그만큼 많은 분들이
툭 튀어나온 것 때문에
생활에 불편을 느끼고 있다는 것이죠.
올바른 교합관계가 이루어지지 않기 때문에
기능면에서 제 역할을 하지 못하는 것도 맞습니다.
그러나 제 예상으론
외적인 요소가 더 큰 문제라는 생각이 드는데요.
이런 분들은 가만히 있어도
불만히 가~득해 보이기 때문에
간혹 오해를 받는 일들이 생기게 되죠.
자, 오늘 더 서울에서 소개해 드릴 케이스는
단 10개월의 기간 만에 인비절라인 으로
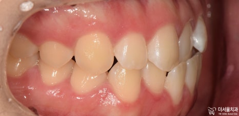
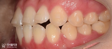
『인비절라인 기간 ’10개월’간의 기록 (초진)』
“저 입이 툭 튀어나와서 좀 집어넣고 싶어요.
근데 눈에 잘 띄는 철사들은 부담스럽더라고요.”
어?
아랫니가 윗니를 덮고 있는
‘반대교합(cross bite)’이 함께 나타나고 있군요.
정중선이 맞지 않는 것은 물론이며
전치부 치열에서 총생(crowding)도 함께 동반되었습니다.


이와 더불어,
전방으로 돌출되어 있는 모습이 관찰되네요.
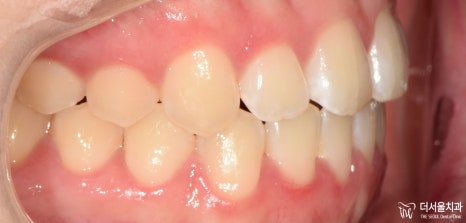
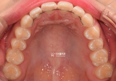
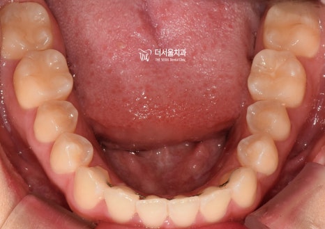
과연 구치부의 상태는 어떨까요?
교합면에서 확인해 보았더니
U자에 가까워야 될 악궁의 형태가
사각형에 가까워져 있었습니다.


하악 앞니 뻗침은 생각보다 심하네요.
이런 문제들을 전체적으로 개선하기 위해서는
치아교정이 올바른 선택이란 생각이 들었습니다.
그러나 환자께서는 겉에서 봤을 때
티가 나지 않는 장치를 원하셨죠.
참 잘 찾아오셨네요^^
인비절라인 하면 더 서울 아닙니까ㅎㅎ
위 내용에 대해 충분한 설명을 드리고
동의를 얻은 뒤, 본격적으로 계획을 세웠습니다.
인비절라인 은
클린체크라고 불리는 진단 시스템이 따로 있습니다.
소요 기간 은 물론이며,
치료 결과를 미리 알 수 있는 시뮬레이션이죠.





환자와 해당 진단 내용을 함께 보며
만족할 만한 결과를 얻을 수 있도록
계획 수정 및 조정 과정을 거칩니다.
이후 미국 본사에
해당 자료를 전송하면
제작된 보철이 본원으로 도착하게 됩니다.
이제 본격적인 치료가 시작되는 것이죠.
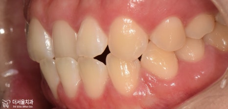
『인비절라인 기간 ’10개월’간의 기록 (진행 과정)』
치아 표면에
원하는 방향으로 이동을 도울
어태치먼트를 부착하였습니다.





눈에 잘 띄지 않기 때문에
좀 더 심미적인 치료가 가능하죠.
어태치먼트는
브라켓과 와이어,
두 곳의 역할을 담당하고 있습니다.
참 대견하고 놀랍지 않나요?ㅎㅎ
해당 장치는 탈부착이 가능하기 때문에
무엇보다 환자의 협조가 중요하죠.
충분한 시간 동안 착용을 하지 않으면
예상 기간 보다 오래 걸릴 수도 있고
원하는 결과를 얻지 못할 수 있다는 점!
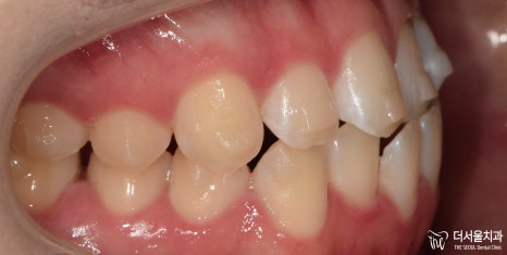
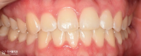
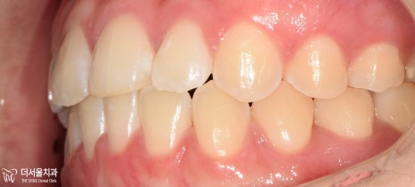
『인비절라인 기간 ’10개월’간의 기록 (치료 마무리)』
다행히 꾸준히 착용을 잘 해주신 덕에
10개월 만에
치료를 마무리할 수 있었습니다.





1) 반대교합 개선
2) 정중선 일치
3) 악궁 (U-shape)
4) 돌출 해소
모든 문제들이 해결이 되었군요.
측면 ceph을 비교해 보면
입술의 긴장감이 사라져
자연스러운 모습으로 바뀌었습니다.


이렇게 탈부착이 가능한 것들은
아무리 정확하고 올바른 계획을 세워도
환자의 협조도가 중요합니다.
얼마나 협조를 잘하느냐에 따라
몇 달 만에 끝날 수도 있고
3년, 5년 이렇게 늘어날 수도 있다는 점.
다시 한번 강조 드리며
글 마무리 짓겠습니다.
오늘도 찾아와주셔서 감사합니다.


치료 기간 2021.03.10 ~ 2022.01.05



