매복치아 (견치=송곳니) 발치 후, 무절개 임플란트 식립 증례

꼭꼭 숨어라 우리 견치 어디 있니~?

원래 있어야 될 위치에 있지 않고

잇몸 속, 입 천장에 묻혀 있는

말썽꾸러기 같은 곳이 있습니다.

바로 ‘ 매복치아 ‘ 죠.

이렇게 숨어 있는 것들은

다른 치료들을 방해하기도 하고

염증의 원인이 되기도 합니다.

인접치 뿌리에 가까이 있기 때문에

자칫 잘못하면 신경을 건드릴 수도 있죠.

대부분은 어린 나이 때 발치를 하는데요.

생길 수 있는 문제들을 미리 예방하기 위한 목적이죠.

도대체 어떤 사연을 갖고 있을지,

더 서울과 함께 알아보겠습니다.


『송곳니 매복치아 , 널 어쩌면 좋니?』

허허 송곳니 매복치아 ?

눈물인지 콧물인지.. 눈앞이 뿌예지네요..

그 이유는 바로 ‘송곳니’ 때문!

하지만 어쩝니까,

더서울을 믿고 찾아오셨으니

최선의 결과를 안겨드려야겠죠!!?!


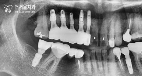
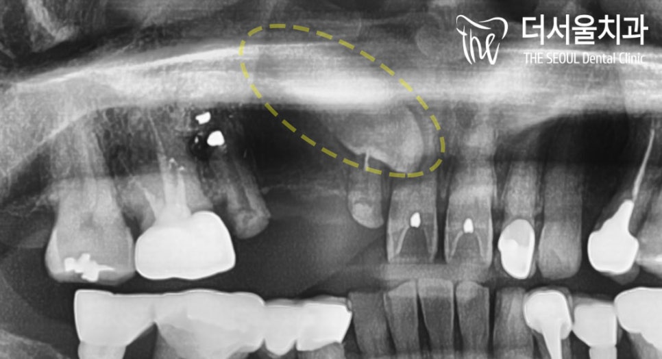
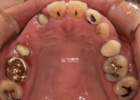
이분은 # 12 – # 15가

브릿지로 연결되어 있었는데요.

짐작하건대 매복치아 때문에

이렇게 길~~~~~~~게

연결을 해둔 것 같습니다.

그래서 그런지 수명이 짧을 수밖에요.

더서울에서는

모든 진단 내용을 토대로

계획을 세웠습니다!

『치과가 무섭다면? 무절개로.』

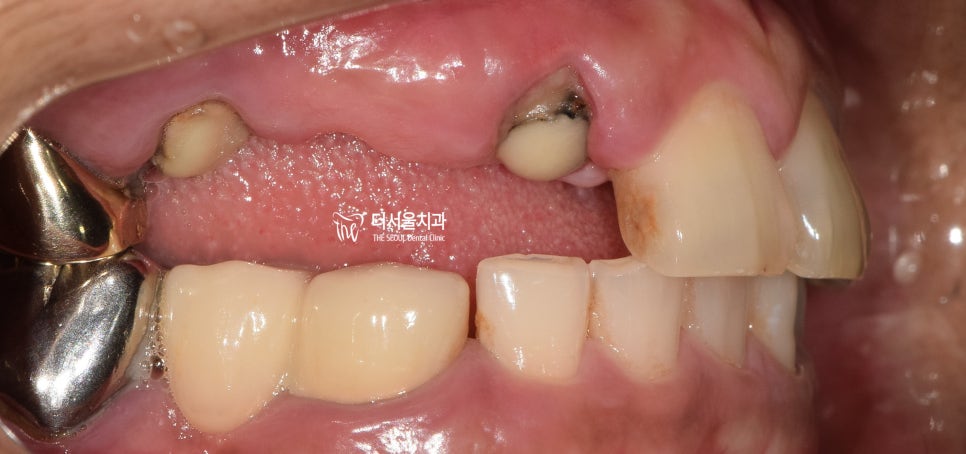
힘겨운 발치가 끝이 났네요.

주변 조직에 영향을 끼치지 않고

안전하게 제거해 드렸습니다.

이제 픽스처를 심어야겠죠?

그런데 말이죠.

190cm에 가까운 건장한 남성분이

“너무 무서우니깐 무절개로 될까요..?”

하며 수줍게 질문을 하셨습니다.

어… 네…

원한다면 해드려야죠..^^

무절개로 방향을 잡고

컴퓨터 분석을 이용해

식립 위치를 결정하고

어떤 형태로 올라갈 것인지

디자인 과정까지 끝마쳤습니다.

텅 비어져 있던 곳이

튼튼한 임플란트로 채워져 있네요.

매복치아 에 임플란트까지..

쉽지 않은 여정이었지만

그래도 더서울이 또 해냈습니다^^


『정기검진 잊지 마시길.』

스스로의 관리,

주기적인 검진이 동반되어야

구강 건강을 오래 지킬 수 있다는 점.

잊지 않고 오실 거죠?

따뜻한 봄날에 다시 뵙겠습니다^^

(여러분들은 내일 또 뵐게요~)

치료 기간 2021.03.07 ~ 2021.08.01

답글 남기기

Your email address will not be published. Required fields are marked *.

*
*
You may use these <abbr title="HyperText Markup Language">HTML</abbr> tags and attributes: <a href="" title=""> <abbr title=""> <acronym title=""> <b> <blockquote cite=""> <cite> <code> <del datetime=""> <em> <i> <q cite=""> <s> <strike> <strong>

Copyright © 2025 더서울치과. All Right Reserved.
031-757-1525BACK TO TOP