80대 임플란트 가능할까요? 먹고 있는 약도 많은데.. 더서울치과

반갑습니다.
더서울치과 박현준 원장입니다.
다들 주말 잘 보내고 계시나요?
벌써 일요일이라니..
시간이 주르륵 녹는 것만 같네요ㅎㅎ
남은 주말도 가족, 친구들과
즐거운 시간 보내시기 바라면서!
오늘 포스팅 시작하겠습니다.
치과 치료는 몇 살까지 받을 수 있을까요?
딱 정해진 것은 없지만
나이가 들면 들수록
부작용이나 통증에 대한 걱정이
커질 수밖에 없습니다.
그래서 내원이 필요한데도 불구하고
하지 않는 경우도 많죠.
자, 오늘 더서울에서
포스팅할 내용은
80대 임플란트 증례인데요.
치료 과정을 함께 보며
자세히 설명드리겠습니다.
"저희 어머니께서 요즘에 이가 아프시다던데…
80대 임플란트 가능할까요?"
환자의 보호자께서 저에게 여쭤보셨던 말입니다.
20대 30대도 걱정이 많은데
연세가 많으신 분들은 오죽하겠습니까.
특히 당뇨, 고혈압 등으로
복용약을 먹고 있을 확률이 높기에
더 까다롭고 주의 깊은
시술이 필요합니다.
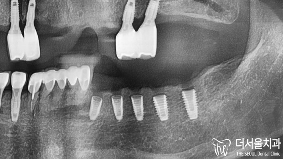
주로 불편함을 느끼고 있었던
왼쪽 아랫니를 확인해 봤습니다.


이런..
단 2개의 치아로
5곳을 연결해놓았네요.
이러니 버틸 수가 없죠.
특히 37번은 많이 썩어있었기 때문에
하루빨리 개선을 해드려야겠다
마음을 먹었습니다.
이때 할 수 있는 방법에는
1) 틀니
2) 80대 임플란트
이렇게 두 가지가 있습니다.
이미 상악 틀니를
사용하고 있었는데요.
들썩거리고 불편하다며
이번엔 80대 임플란트 를
하고 싶다는 의사를 밝혔습니다.
그렇죠.
틀니는 유지력, 저작기능이
떨어질 수밖에 없습니다.
그러나 쉽지 않은 케이스인데요.
복용하고 있는 약도 많고
연령이 높았기 때문에
힘든 수술 과정을
잘 버텨 주실 수 있을까..
우려가 된 것도 사실입니다.
이와 더불어
오랜 기간 상실된 치아로
꽤 많은 양의 뼈가
소실되어 있었습니다.

검게 바뀌어 있는 모습이
뼈가 없다는 뜻입니다.
원래는 하얗게 차있어야 되죠.
자, 모든 진단 내용을 토대로
#무절개 방식을 통해
80대 임플란트 식립을
진행하기로 계획을 세웠습니다.
#무절개는
출혈과 통증이
거의 나타나지 않기 때문에
보다 빠른 회복을 기대할 수 있습니다.
또한 시술시간이 짧은데요.
이렇게 연령대가 높거나
복용약이 많은 분들,
긴 치료시간을 버티기 힘든 분들께
적합한 방식이죠.




부작용이나 실패 확률이
0에 가깝도록
컴퓨터 분석을 통해
정확한 계획을 세웠습니다.
이번 수술은
확인할게 많았기에 좀 걸렸네요.
그래도 10분 만에 끝내드렸다는 점~
치조골 소실이 나타났던 곳도
무절개로 깔끔하게 개선해 드렸습니다.
80대 임플란트 도 거뜬한 더서울^^


잇몸 형성 및 보철과의 연결을 도와줄
치유지대주(healing abutment)도
예쁘게 체결되어 있는 모습이네요.
총 5곳이나 심었지만
불편한 게 하나도 없었다던 환자분.
전체 다 심고 싶다던
말씀을 남겨주셨습니다.
(+ 눈빛이 여기저기 흔들렸던 아드님ㅎㅎ)


실제 치아와 유사한 형태의
지르코니아 크라운을 올려드리며
모든 과정을 마무리했습니다.
식사를 하는 데에 있어
비교할 수 없을 만큼
편해진 것을 느끼실 겁니다.
앞으로는 통증 없이
구강 건강을 오래 유지하기 바랍니다.
80대 임플란트 ,
더 서울에서는
보다 더 안전하고 편안하게
심어드릴 수 있습니다^^
다만, 기저질환 및 복용약을 숨긴다면..
지혈의 문제가 생기는 경우가 있을 수 있기에
꼭! 환자의 상태를 빠짐없이
말씀해 주셔야 된다는 점.
긴 글 읽어주셔서 감사합니다.



