인비절라인 발치 케이스, 그 결과를 공개합니다.

더서울치과 박현준 원장입니다.
오늘은 21년도에 포스팅했던
인비절라인 발치 케이스의
속편을 준비했습니다.
전에는 치료 진행 과정을 소개해 드렸는데요.
오늘은 드디어 끝난 모습을 공개할 수 있겠네요.
처음에는 삐뚤고 튀어나온 치아 때문에
콤플렉스를 갖고 있던 분입니다.
‘아~ 돌출이구나’
생각이 들었지만 아니었습니다.
환자의 턱은 작은데 이가 많아
총생(crowding)이 있었는데요.
사실은 돌출이 아니라
삐뚤게 배열된 치열 때문에
앞으로 튀어나온 것처럼 보였던 것이죠.
과연.. 어떻게 변화되었을까요?
마무리 모습을 함께 보며 설명드리겠습니다.
『인비절라인 발치 케이스 개선 과정』

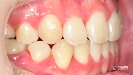
와~ 한눈에 봐도
제위치를 벗어난 것들이 많았는데요.
원래 치료 계획대로라면
소구치를 뽑은 뒤
TAD라는 미니스크류를 사용하여
원하는 곳으로 이동을 도왔어야 됐지만
환자께서는 원하지 않았는데요.
그래서 다른 방법을 통해
치료를 이어가는 것으로 계획을 세웠었죠.
약 2년에 가까운 시간이 흐르고
드디어 모든 과정이 끝이 났습니다.
아 참! 전에 측절치 22번에
우식 (충치, caries)과 금(crack)이
나타났던 거 기억나실까요?


인비절라인 발치 교정이 마무리되었으니
이곳부터 치료를 도와드려야겠네요.
눈에 잘 띄는 앞니라
더서울에서는 위화감 없이
잘 어울릴 수 있도록
색조, 형태 재현에 심혈을 기울였습니다^__^

자 이제 구내 사진을 보여드릴 차례인데요.
왠지 모르게 제가 떨리는 이유는..
도대체 무엇 때문일까요..?
떨리는 마음을 다잡고
인비절라인 발치 교정 결과를 공개하겠습니다!
『인비절라인 발치 케이스 마무리』
측면 ceph를 보면 돌출된 구강은 아니었기에
큰 변화는 찾아볼 수 없었는데요.
그래도 좀 더 자연스럽고 매끄러운 입매를 갖게 되었습니다.

자, 이것만 봐서는 어디가 나아졌는지
알아채기 어려우실 텐데요.
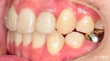
구내 사진을 보면
삐뚤빼뚤 했던 치열들이
제 위치를 찾아가 있는 모습입니다.


정중선도 잘 맞고
이전에 크라운을 올려드렸던
22번도 잘 어우러지고 있네요.
와 정말 인비절라인 발치 전
클린책에서 나온 게
그대로 결과로 이어졌습니다.
매번 봐도 참 신기한 것 같네요ㅎㅎ
치열은 사람의 첫인상을 결정하는
중요한 요소 중 하나인데요.
스마일라인 또한 자연스럽고
예쁘게 개선되었습니다!

무엇보다 환자의 만족감이 컸는데요.
오랜 콤플렉스였던 곳이 바뀌게 되어
거울을 볼 때마다 자신감이 생긴다며
감사의 인사를 남겨주셨습니다.
어우~ 아닙니다~
환자께서 협조를 잘해주신 덕이죠.
철사 브라켓 방식에 비해
내원일자는 적지만
그래도 주기적인 체크가 필요합니다.
주의사항 및 약속 일자를 잘 지켜주셨기에
좋은 결과를 얻을 수 있게 된 것이죠.
이제 이렇게 예쁘게 변한 치열을
오래도록 유지하는 것이
관건이라 할 수 있는데요.


더서울에서는
고정용 유지장치를 부착하여
움직이지 않도록 고정을 해두었습니다.
지속적인 사후관리를 통해
꼼꼼히 관리해 드리는 것으로 약속드렸죠^^
인비절라인 발치 과정이
모두 마무리되었습니다.
아무리 좋은 방식의 치료라도
정확한 진단 및 계획이 없으면
말짱 도루묵이죠~
다행히 환자와 저,
모두가 만족할 수 있었던 진료였습니다.
치과를 선택할 때에는
올바른 진단 및 계획으로
나에게 맞는 1:1 책임 진료를 할 수 있는 곳인지,
그럴만한 실력이 뒷받침되는 곳인지
꼼꼼하게 확인해야 됩니다.
더서울이 아니어도 좋습니다.
제가 업로드하는 임상 증례가
여러분들의 구강 건강에 있어
작은 도움이라도 되었으면 좋겠네요^^
-끝!-






