20대 임플란트 너무 이른 건 아닐까 걱정된다면?

더서울치과

박현준 원장입니다.

implant

치아가 상실되었거나 제기능을 하지 못할 때

자연치의 역할을 대신하는 치료입니다.

노화나 치주 질환, 충치 등으로 인해

구강 건강이 좋지 않은 분들이 받기 때문에

비교적 연령대가 높다고 할 수 있는데요.

그래서 그런지

젊은 연령대가 수술을 받는다 하면

주변 반응도 그렇고 스스로도 거부감이 들고

걱정이 많이 생길 수밖에 없습니다.


자신에게 필요한, 알맞은 치료를 받는 것이

무엇보다 더 좋은 방법이라 할 수 있죠.

오늘 소개해 드릴 내용은

20대 임플란트 치료 증례입니다.


20대 임플란트

진단 및 계획

이분께서는 치과 내원을 계속해서 미루셨는데요.

두 가지 이유가 있었습니다.

스스로의 상태가 좋지 않다는 것을 알고

인공치를 심어야 된다는 것 또한 알고 있었는데요.

인터넷이나 주변 친구들에게 물어봐도

자신과 비슷한 연령대에 수술을 받은 사람은

거의 찾을 수 없었다던 환자분.

또한 어릴 때부터 치과에 대한 트라우마가 있어

진료를 꼭 받아야 되는 것을 알고도

계속 미뤄오셨다는데요.

이제서야 마음을 다 잡고

수소문 끝에 더서울을 찾아오셨답니다.

감사합니다.

앞으로 더 다양하고 좋은 케이스들을

열~심히 포스팅해야겠네요^^


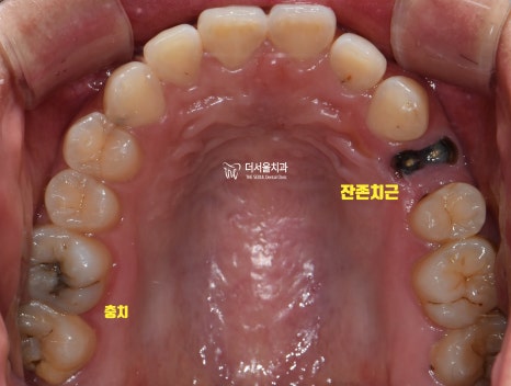
초진 사진을 보면

상실된 치아는 물론이며

잔존 치근, 충치

여러 문제들이 얽히고설켜있었습니다.

자, 좌측 먼저 개선을 돕기로 했습니다.

20대 임플란트

진행 과정

치과 치료에 대한 트라우마가 있으셨기에

발치 즉시 식립을 계획했습니다.

먼저 컴퓨터 분석을 통해

식립 방향 및 위치를 확인한 후,

바로 픽스처를 심어드렸습니다.

잇몸 형성을 도울

치유지대주 (healing abutment)까지

체결을 한 뒤에

골융합, 잇몸 회복을 확인하고

최종 보철을 올려드리기로 했습니다.


역시 젊으셔서 그런지..

다른 분들에 비해 회복이

훨씬 빨랐네요.. (부럽다..)

지르코니아로 제작된

크라운 체결까지 마무리해드렸습니다.

처음 충치 때문에

검게 변해져 있는 곳들도

레진, 인레이를 사용하여

말끔한 모습으로 바꿔드렸죠

(더서울은 트라우마 해결사)

오늘 정리

여기서 인종? 성별? 나이?

이런 건 중요하지 않다는 말이죠.

20대 임플란트 ,

치아가 안 좋으면 할 수밖에 없습니다.

해야 되는 게 맞고요.

때를 놓치면 나중에는 손을 쓸 수도 없이

악화될 수 있는 게 우리의 치아입니다.

이 사실을 꼭 인지하시어

여러분들께서는 늦지 않게

검진 및 예방하기 바랍니다.

감사합니다.

치료 기간 2022.01.18 ~ 2022.04.06

답글 남기기

Your email address will not be published. Required fields are marked *.

*
*
You may use these <abbr title="HyperText Markup Language">HTML</abbr> tags and attributes: <a href="" title=""> <abbr title=""> <acronym title=""> <b> <blockquote cite=""> <cite> <code> <del datetime=""> <em> <i> <q cite=""> <s> <strike> <strong>

Copyright © 2025 더서울치과. All Right Reserved.
BACK TO TOP