20대 임플란트 치료 마무리를 담은 두번째 글

제가 어제 작성했던
20대 임플란트 글 기억나실까요?
치과 트라우마가 있는 분으로
치료에 대한 거부감이 심한 분이였는데요.
결국 더서울에서 심게되었다는 말씀~
처음엔 좌측부터 개선을 원하셨기에
우측은 추후 생각을 하는 것으로
상담 때 얘기를 나누었습니다.
그런데 좌측이 마무리된 뒤
아프지도 않고 너무 좋다며
곧바로 우측 내원 날짜를 잡고 가셨더라죠ㅋㅋㅋ
오늘은 우측 식립 과정을 보여드리며
20대 임플란트 치료의 마무리까지 설명드리겠습니다.
『올바른 진단 및 계획이 있어야
올바른 결과로 이어집니다.』


오른쪽은 보시다시피
잔존치근과 충치가 존재했습니다.
살릴 수 있는 곳은 살리는 것이 좋겠죠?
정밀 검진을 진행한 결과,
하악 46번은 잔존치근만 남아있어
이미 살리기엔 늦었다는 판단이 들었으며,
47번 충치 또한 상당 부분 진행되어
이미 신경 부근까지 감염되어 있던 상태였습니다.
살릴 수 있다면 근관치료로
자연치를 살려보는 것이 좋은 방법이지만,
이정도 우식은 신경은 물론이고
옆에 있는 인접 조직에도 영향을 끼칠 수 있죠.
발치를 해야 되는 것이 맞고,
그렇게 하는 것이 먼 미래를 봤을 때
구강 건강에 더 이로운 쪽이라는 생각이 들었습니다.
자, 더서울에서는
46번 47번 발치 후
20대 임플란트 를 심기로 했습니다.
『개선 과정 및 마무리
끝까지 꼼꼼하게!』
빨리 해달라며
자신감이 뿜뿜하셨던
20대 임플란트 환자 분..

우선 남아있는 곳들을
깨끗하게 제거해주었습니다.
잇몸이 회복될 때까지 어느정도 기간을 부여한 뒤,
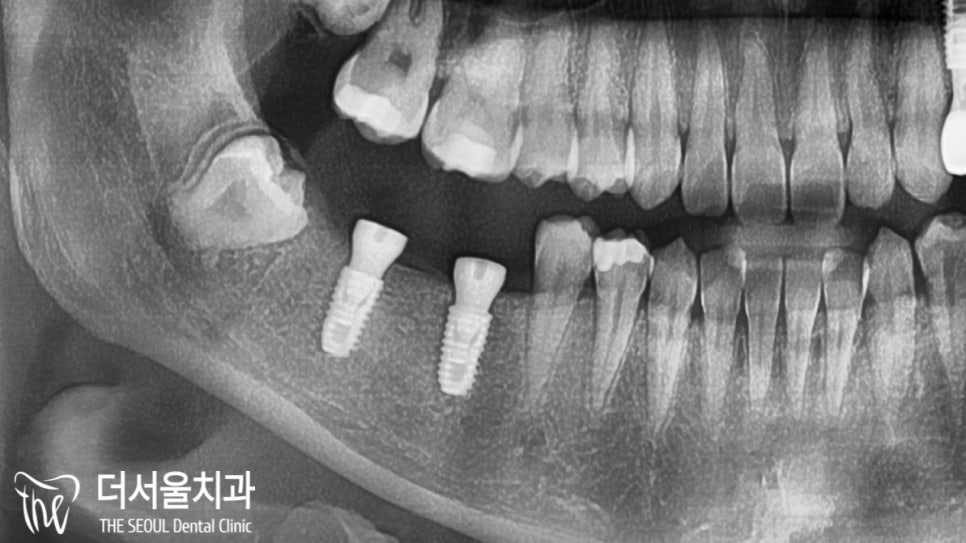
좌측과 마찬가지로 컴퓨터 분석을 통해
식립 위치 및 방향, 각도 등을 결정했습니다.



오랜기간 잔존치근만 남아있었기 때문에
치조골이 소실되어 있진 않을까 걱정이 되었는데요.
다행히 별 다른 문제 없이
식립을 도와드릴 수 있을 것 같네요.

별다른 문제 없이
치조골에 단단히 심어진 모습입니다.
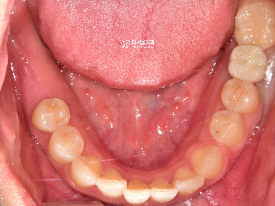
픽스쳐를 심고 나서
치유지대주(healing abutment)까지 체결을 도왔습니다.

이제 잇몸이 형성되고 회복될 수 있도록
기다리는 인내의 시간을 가져야 됩니다^^
드디어 20대 임플란트 환자의
최종보철을 올려드릴 날이 밝았습니다.
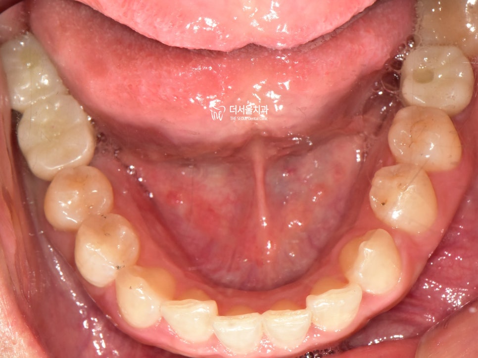
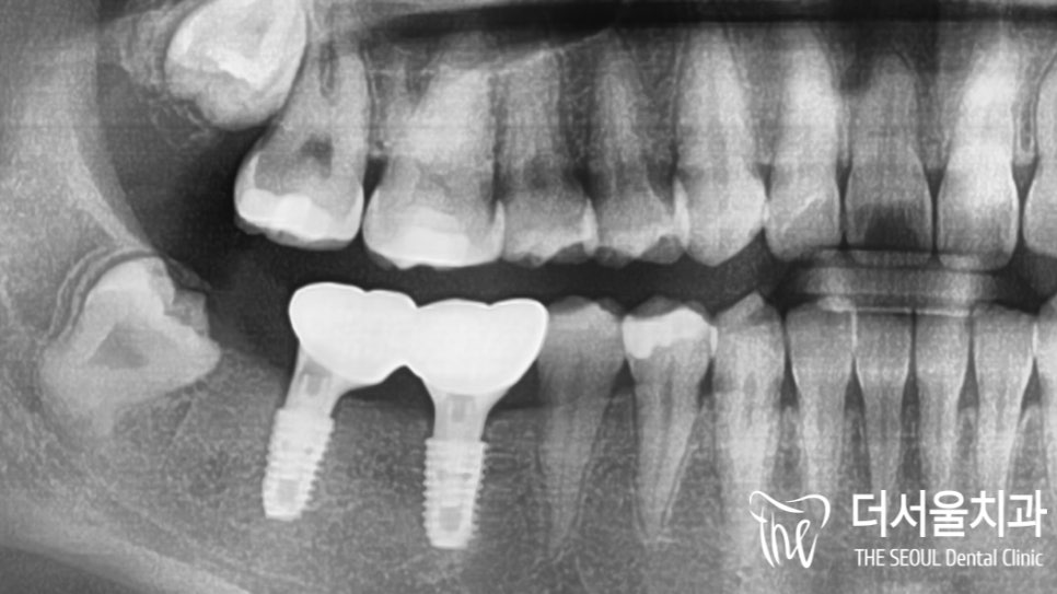
과연 자연치 형태, 색조 그대로
재현이 잘 되었을까요?


지르코니아로 제작된 크라운을 올려드린 모습입니다.
교합은 물론이며 주변에 있는 인접치들과
잘 어울리고 있는 모습이죠~?
1) 심미 2) 기능
두가지 모두 살리는 것이 제일 좋지만
어금니 치료에서 둘 중 하나만 고르라면…
저는 기능을 고를 것 같습니다.
어금니는 음식을 먹는 저작기능을
담당하고 있을 뿐더러
안모를 탱탱하게 유지할 수 있도록 도움을 줍니다.
만약 어금니가 홀라당 빠져버렸다?
그러면 맞물리는 이가 없기 때문에
수직고경에 문제가 생기고
흔히 말하는 ‘합죽이’의 얼굴을 갖게 되는 거죠.
그렇게 되면 절대 안되겠죠?
저도 절대 용납하지 못합니다^__^

다행히 환자께서는 두가지 모두
만족할만한 결과를 안겨드릴 수 있었네요.
다음 정기검진 때
더 밝은 모습으로 뵙겠습니다 🙂
20대 임플란트 ,
이전에도 말씀드렸지만
연령대가 중요한건 아니라는 말씀!
늦지 않게 받는 것이 중요합니다.
이와 관련하여 문의할 내용이나
궁금한 것들은 아래 댓글 남겨주시면 됩니다!!!!
긴 글 읽어주셔서 감사합니다.
다들 즐거운 불금 보내십시오!





