외국인 치과 진료도 더서울에서는 문제없습니다. ‘english speaking dentist seoul’

오늘도 여러분들에게 좋은 증례를 소개하러 온
더서울의 박현준 원장입니다.
외국인 치과 진료를 할 수 있는 곳이
주변에 흔하게 있는 게 아니라 그런지
더서울을 찾아오는 분들이 많습니다.
아무래도 저희 의료진 모두가 영어를 잘하기에
의사소통에 어려움이 없다는 점에서
여기저기 찾아보고 오는 경우가 대부분인 것 같은데요.
이 정도면 눈치채셨죠?
오늘 포스팅할 케이스도
먼 타국에서 내원하셨던 분입니다.
자~~
어떤 문제가 있었고
어떤 방법으로 해결을 했을지!
치료 과정을 함께 보며 설명드리겠습니다.
(6개국어가 가능합니다 :D)
『🧔 Can you speak English?
👨🏻⚕️ Yes, I Can!』
외국인 치과
그럼요~ 더서울은 영어도 한국어처럼 능숙하게 할 수 있죠.
도대체 어떤 주소(c.c)로 여기까지 오셨을까!
대화를 통해 알아봤는데요.
사실 임플란트를 해야 된다는 말에
강남까지 가셔서 치아를 빼고 오셨다던 환자분.
왜 이어서 진료를 받지 않았을까 여쭤봤더니
1) 임플란트는 잘하는 곳에서 받고 싶다.
2) 외국인 치과 라 소개를 받고 갔는데 의사소통이 어려웠다.
이 두 가지 이유 때문이었습니다.
암요 암요~ 어쩜 이렇게 잘 찾아오셨을까요?
두가지 다 충족시키는 곳에 내원을 해주셨네요ㅎㅎ
참.. 여담인데..
타국인이지만 영어를 너무 잘하셔서 한편으로는 부럽더라고요ㅋㅋㅋ
우선 상태가 어떤지 직접 확인을 해야겠죠?

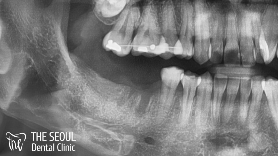
외국인 치과 에서 환자의 구내를 살펴보니
오른쪽 어금니 두 곳이 빠진 채로 남아있었습니다.
아직 발치와가 아물지 않은 정도였기에
뽑은지 오래 지나지 않았음을 알 수 있네요.
엑스레이를 살펴보니 별다른 염증 반응이나
치조골 흡수 등은 일어나지 않았습니다.

다행히 원하던 대로 임플란트를 심을 수 있겠군요.
디지털 방식을 이용하여 식립하는 것으로 계획했습니다.
해당 진단 내용 및 계획을 환자께 설명드렸더니
그런 방법이 있냐며 무척 좋아하셨는데요.
아마 진료가 끝난 이후에는 더 기뻐하게 될 겁니다~



디지털 방식이기 때문에
컴퓨터 분석을 통해 어디에 심으면 좋을지!
주요 조직과의 거리는 얼마나 될지!
교합 및 컨택은 잘 맞고 있는지!
꼼꼼하게 확인을 했습니다.
하루에도 수많은 환자들께서 내원을 하시지만
한 분 한 분 최선을 다해 진료해드리는 게 저의 몫이기 때문에
좀 더 꼼꼼하게, 신중하게 진행하는 편입니다^^
자, 분석된 내용을 토대로 식립을 진행해야겠죠?


계산된 식립 위치에 맞게 안정적으로 심어져 있는 모습입니다.
치유 지대주와 픽스처의 연결 부위도
매끄럽게 이어지는 것이 관찰됩니다.
다행히 환자께서 느껴지는 불편함과 통증도 없었다는데요.
이후 잇몸이 회복될 시간을 부여한 뒤, 최종 보철을 올리는 것으로 설명드렸습니다!
드디어 Last day!!!
완성된 크라운을 올려드리는 작업을 했습니다.


오~ 텅 비어져 있던 곳이
지르코니아로 제작된 보철이 올라가니 눈에 띄게 밝아지고
더불어 인접해 있는 치아들도 좀 더 건강해 보이네요~
외국인 치과 진료를 마치면서 너무나 만족해하셨던 환자분..
치아에 문제가 생기면 무슨 일이 있어도 여기로 오신다는데요ㅎㅎ
더불어 대한민국 기술이 뛰어나다며 극찬을 아끼지 않으셨습니다.
이렇게 만족할 만한 결과를 안겨드릴 수 있어서 다행입니다.
세계로 뻗어 나가는 더서울이네요^^
"If you find english speaking dentist in Seoul or near me,
please come to The Seoul Dental Clinic."
외국인 치과 를 찾고 있는 분들이 있다면
바로 더서울로 뛰어오시길! ㅋㅋㅋ
그럼 저는 내일 또 찾아뵙겠습니다.
감사합니다.


치료 기간 2021.06.03 ~ 2021.11.06


