뼈이식 임플란트 는 어떤 상황에서 필요한 걸까?

반갑습니다.
더서울치과 박현준 원장입니다.
노화나 구강질환 혹은 사고로 인해 빠져버린 치아는
하루빨리 진료를 받는 것이 좋습니다.
빠진 채로 오래 방치를 하게 되면
잃어버린 외관은 물론이고
식사, 발음 등에도 문제가 생길 수 있습니다.
무엇보다 중요한 건
이를 단단히 잡고 있던 치조골이 제 역할을 하지 못하고
결국에는 조직 소실 및 흡수로 이어질 수 있기 때문이죠.
이렇게 되면 어떤 문제가 생기는지 알고 계십니까?
자, 바로 이 내용이 오늘 포스팅과 관련이 있는데요.
실제 환자의 증례를 통해 알아보겠습니다.
『잇몸뼈가 부족하면 심을 수 없는 걸까?
뼈이식 임플란트 증례』
“양쪽 어금니가 불편해서 왔어요.”
한쪽도 아닌, 양쪽 어금니에 통증이 생기고
금방이라도 빠져버릴 것 같은 느낌이 든다며
강원도 춘천에서 더서울까지 내원을 하셨습니다.

지속되는 불편함으로 집 근처 치과에서 검진을 받으셨지만
아래 치아를 뺀 지 너무 오래되어 인공치를 심는 게
아예 어려울 수 있겠다는 진단을 받으셨다는데요.
틀니는 원하지 않으셨고..
여기저기 잘하는 곳을 수소문하던 중
친구분께서 저희 더서울을 소개해 주셨다네요.
여기는 꼭 해낼거라며ㅎㅎ
환자와 잠시 이야기를 나눠보니
어떤 분인지 딱 짐작이 갔습니다.
그분께서도 상악동 거상술을 동반한 식립으로
꽤 까다롭고 고난이도의 과정을 거쳤었죠..
과연 이분께서는 어떤 문제가 생긴 건지
현재 상황을 살펴보았습니다.

어.. 상실된 치아들은 오케이..
그렇지만 뼈가 없어도 너무 없네요.
육안으로만 봐도 잇몸폭이 심하게 줄어들어 있었습니다.
(왜 더서울에는 어려운 케이스들이 많을까요..)
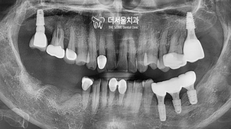
엑스레이 촬영을 통해 좀 더 자세히 살펴보니
빠져버린 치아 말고도 여러 문제들이 관찰되었습니다.

1) 곳곳에 심한 골소실
2) 대합치 정출
3) 심한 동요
전체적으로 구강 상태가 좋은 편은 아니었죠.
그래도 멀리서 저를 찾아오셨으니
최선을 다해 진료를 해드려야겠죠?^^

출처 – Google
뼈이식 임플란트 를 통해 개선을 하는 것으로 방향을 잡았으며
우선 빠진 채로 남아있는 좌측부터
식립을 도와드리기로 했습니다.






『흔들림이 심한 치아,
과연 버틸 수 있을까?
뼈이식 임플란트 증례』
이렇게 골 파괴가 심하게 나타난 경우는
이분처럼 오랜 시간 빠진 채로 생활을 하셨을 때와
치주 질환을 개선하지 않았을 때가 있죠.
평소 청결한 구강관리와 정기검진을 통해
조기에 충~~분히 예방할 수 있지만
전 알지요. 그게 힘들다는 사실을^^..
예방까진 아니더라도 작은 통증이 생겼다면
그 즉시 치과를 내원하는 것이 추후 더 큰 질환을 막을 수 있다는 점!
자, 우선 왼쪽 뼈이식 임플란트 를 진행해야 되는 데…
오른쪽 상황이 꽤 좋지 않았습니다.

조금만 아차 하면 자연 발치로 이어질 것 같았는데요.
좌측이 끝날 때까지만 버텨달라고 간절한 기도를 해봅니다..
다행히 어려운 과정이었지만
별다른 문제 없이 마무리가 되었네요.


오른쪽을 진행하려는 그 찰나에 결국 빠져버렸습니다.
그래도 잘 버텨주어서 참 다행이네요.

이쪽도 별반 다르지 않았기에
똑같이 뼈이식 임플란트 로 개선을 도왔습니다.
최종 보철을 올려드린 모습을 보면
텅텅 비어있던 곳이 새하얗고 예쁜 크라운으로
오밀조밀 잘 채워져 있습니다^^


먼 거리였지만 내원 약속을 잘 지켜주셨기에
좋은 결과를 얻을 수 있었네요.
『글을 마치며
뼈이식 임플란트 증례』
결국에는 안 좋은 치아를 방치해서,
빠져버린 곳을 제때 진료받지 않아서
이렇게 길고 까다로운 과정을 거치게 된 겁니다.
만약 작은 병소 하나를 일찍 알아챘더라면..
뼈이식 임플란트 까지 필요하지 않았을 수 있죠.
음식 먹고 양치질하기, 6개월에 한 번씩 치과 가기..
다 사소하지만 지키기 어려운 것들인데요.
이런 행동들이 기본이 된다면
구강 질환이 생길 확률을 현저히 낮출 수 있습니다.
귀찮다고 바쁘다고 미루지 말고
파릇파릇한 봄이 오기 전,
스스로의 구강 상태를 확인해 보는 것은 어떨까요?
감사합니다.

많은 분들이 저와 주고받는 댓글로써도 정보를 얻으실 수 있도록, 비공개 댓글은 지양 부탁드립니다.

치료 기간 2021.03.16 ~ 2021.08.17


