믿을 수 있는 임플란트 치과 를 찾다 약 2년 만에 다시 찾아와 주셨던 분

반갑습니다.
더서울의 박현준 원장입니다.
여러분들께 한 가지 질문을 하겠습니다.
” 임플란트 치과 를 고를 때!
기준이 어떻게 되시나요?”
예상컨대,
1) 비용 2) 거리 3) 실력
이 세 가지 안에서 결정되지 않나.. 싶습니다.
다른 진료들보다 비교적 오랜 기간이 소요되며,
복잡하고 까다로운 과정이기 때문에
주의 깊고 신중하게 선택을 할 수밖에 없죠.
그런데 말이죠.
막상 갈만한 곳들이 드물지 않나요?
환자 입장에서는 어떤 곳이 실력이 좋은지,
가격은 어떻게 형성이 되어있는 건지,
청결하고 위생적인 환경에서 진행이 되는지
알 수 있는 방법이 거의 없습니다.
저 또한 마찬가지입니다ㅎㅎ
몸이 아파서 병원을 찾아봐도
믿고 갈만한 곳들이 드물더라고요..
자, 오늘 여러분들께 소개해 드릴 케이스는
20년도에 저희 더서울을 내원하셨다가
22년이 되어 다시 돌아오셨던 한 환자의 치료 과정입니다.
『2020_첫 내원
2022_치료 시작』
앞서 말했듯이 20년도 9월에
검진을 받으셨던 분입니다.
경기도 광주에서 성남까지 내원하는 게
너무 번거롭고 불편하다며
다른 곳에서 발치를 하셨는데요.
진료를 잘 보는 임플란트 치과 를 찾기 힘들다며
어찌어찌 더서울을 다시 찾아와주셨습니다^^
검진이랑 상담을 다 해도 믿음이 가지 않으셨다며
멀어도 잘하는 곳에서 심고 싶다는 말씀을 하셨습니다.
그럼요, 맞습니다.
임플란트 치과 를 잘 선택해야만
건강한 구강을 오래오래 지킬 수 있습니다.
거의 반영구적으로 사용하기 때문에
첫 단추를 어떻게 끼웠냐에 따라 달라지게 되는 것이죠.
본격적인 진료에 앞서
환자의 구강 내를 살펴보았습니다.
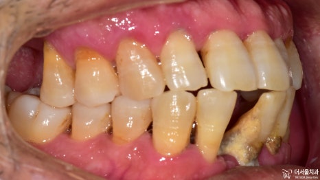
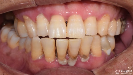
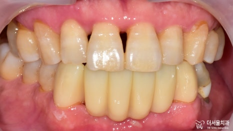
1) 정면
다량의 치석과 치은 퇴축,
치주염과 치간이개가 관찰되고 있습니다.
하악 우측 중절치는 아예 상실되어 있었습니다.
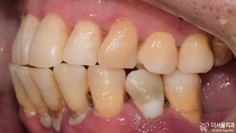
2) 측면


이쪽도 정면과 마찬가지였습니다.
구강 내에 전체적으로 번진 치주 질환 때문에
잇몸 및 치아의 상태가 좋지 않습니다.
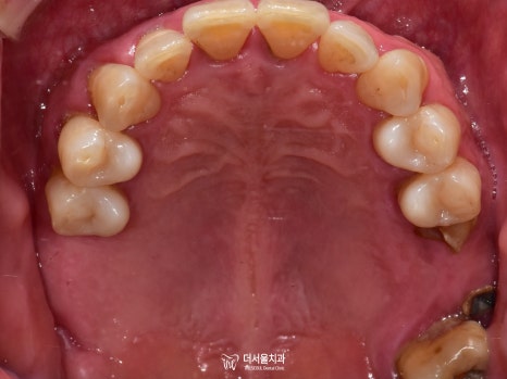
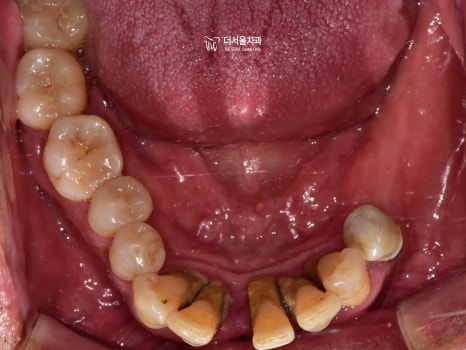
3) 교합면


발치를 하셨기 때문에 텅 비어 있는 곳이 많았습니다.
하악 전치부 쪽이 심각한 것으로 판단이 되네요.
처음 검진을 했을 때 보다
더 심각한 구강상태를 갖고 있었습니다.



2020.09 초진
아무래도 2년이 넘는 시간 동안
아무런 치료를 받지 않으셨기 때문에
더욱 악화된 것 같네요.
보시다시피 하악 전치부의 문제들이 심각했습니다.
그러나 이쪽에는 또 다른 문제가 있었는데요.

심한 치주 질환으로 공간적으로 뼈가 너무 없었습니다.
즉, 픽스처를 심기에는 어려움이 있다는 뜻이죠.
뭐.. 기어코 심겠다 하시면 심어드릴 순 있습니다.
그러나 골폭이 좁을 때 무리하게 식립을 하면
오히려 치아 수명이 급격히 줄어들게 됩니다.
따라서 임플란트 치과 에서는 아래와 같은 계획을 세워
본격적인 개선을 돕는 것으로 방향을 잡았습니다.
『우측 : 下 신경치료 및 크라운
좌측 : 上 下 implant』
『어떻게 개선을 도와드렸을까?』
스케일링을 통해 쌓여있던 치석과 이물질들을
깨끗하게 제거를 해주었습니다.
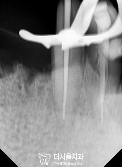
하악 신경치료를 진행한 다음,
오염된 치수를 제거하고 근관의 길이를 측정했습니다.


전치부


구치부
이후 소독 과정을 거친 뒤,
뿌리 끝부분부터 빈 공간이 남아있지 않도록
밀봉을 도와드렸습니다.
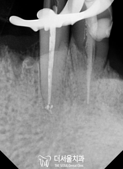
자, 여기서 Point!
뿌리 끝까지 확실하게 밀봉하는 것이 중요합니다.
이 과정의 결과를 좌우할 수 있는 관건이 되는데요.
만약 뿌리 끝까지 채워지지 않았다?
그러면 또 다른 염증이 생기거나,
같은 곳에 병소가 재발하는 일이 생기게 되죠.

전치부 / 구치부
숨어있는 미세 근관까지 빼곡하게 채워주었습니다.
파노라마 사진을 보면 뿌리 끝까지 채워진 모습을 볼 수 있네요.
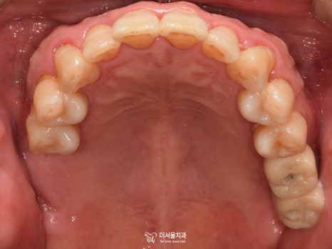
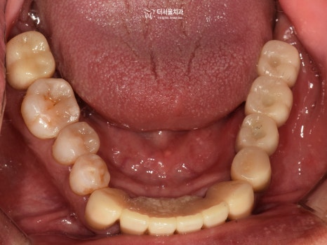
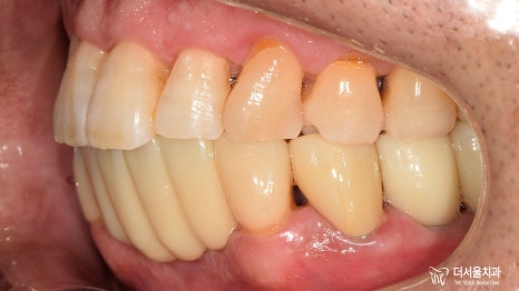
크라운까지 올려드렸습니다.
더 건강하고 멋있는 미소를 갖게 되셨네요ㅎㅎ


본격적으로 식립을 하기에 앞서,
골질과 골양, 주변 조직과의 관계를 확인했습니다.
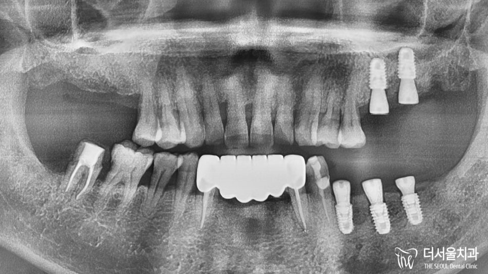
이후 총 5곳에 implant fixture를 심은 다음
잇몸 형성에 도움을 줄 healing abutment까지 체결을 도왔습니다.

연결 이음새 부분이 매끄럽게 잘 이어지고 있는 모습이네요.


식립 후 CT
임플란트 치과 의 좌측 과정은
최종 보철을 올려드리며 모두 마무리가 되었습니다.




환자께서는 우측 어금니 또한 상실되어 있었는데요.
현재, 우측 식립을 기다리고 있는 중입니다.
추후 기회가 된다면 후속편으로 이어서 포스팅하겠습니다.
저는 매번 생각하는 것이 있습니다.
환자들이 믿고 찾아오는 곳이 되자.
제가 꿈꾸고 바라왔던 목표이죠.
이 목표에 한 발짝 더! 다가갈 수 있도록
앞으로도 꾸준히 연구하며 노력하겠습니다.
이 자리를 빌려
더서울을 믿고 찾아와주셨던 모든 분들에게
감사한 마음을 표현합니다^^(꾸벅)
오늘 날씨가 참 좋습니다.
모두들 화창한 날씨처럼
기분 좋은 하루 보내시길 바랍니다!
감사합니다.



치료 기간 2021.09.02 ~ 2022.01.13





