들썩거리는 틀니를 네비게이션 임플란트 교체해 드렸던 스토리

『이가 빠져버렸다면
어떤 치료를 받아야 될까?』
치아가 빠져버렸을 때 하는 치료방법에는
1) 틀니(덴처) 2) Implant
크게 두 가지가 있습니다.
두 가지 모두 외관이나 기능을 잃어버린 치아를
이전과 같은 모습으로 개선을 도와주는 방법입니다.
목적은 같지만 방식은 서로 다른데요.
예전에는 픽스처를 심는다는 자체가
대중화가 된 것이 아니었으며,
수술에 대한 두려움을 갖고 있는 분들이 많았기에
주로 ‘덴처’로 개선을 도왔습니다.
그러나 요즘에는 어떤가요?
네, 맞습니다.
보다 더 심미성이 높고 편안한
implant를 심는 경우가 많습니다.
보험 적용과 대중화도 한몫을 했죠.
최근에는 네비게이션 임플란트 로
더 편안하고 빠른 개선이 가능해졌기 때문에
더욱 수요는 많아지고 있는 추세입니다.
자, 제가 왜 이런 말을 꺼냈을까요?
바로 오늘 소개해 드릴 내용과 관련이 있기 때문입니다.
함께 보며 더 자세한 이야기를 나눠보겠습니다.
『불편한 보철, 어떻게 하면 좋을까?』
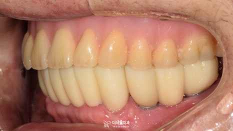
“아래 틀니가 너무 불편해요.
말을 할 때도 그렇고.. 들썩거려서 사용을 못 하겠어요.”
위, 아래 모두 덴처를 쓰고 계셨는데요.
위쪽은 편하게 잘 쓰고 있지만
유독 아래쪽이 말썽을 피운다고 말씀해 주셨습니다.


그렇죠, 아래는 크기 자체가 작고
혀가 있기 때문에 말을 하고 생활을 할 때마다
불편함이 점점 커지게 되는 겁니다.
이 보철은 빨판처럼 압력에 의한 흡착력으로
잇몸에 붙어서 유지가 되는데요.
크기 자체가 작고 혀까지 있다 보니..
쉽게 빠질 수밖에 없습니다.
식사 중이나 말을 할 때
갑작스레 빠져버리면 얼마나 당황스러우실까요?
환자께서는 이제는 그~~~만 쓰고 싶다면서
네비게이션 임플란트 를 하고 싶다는 말씀을 해주셨습니다.
어..? 해당 방식에 대해 어떻게 알고 계신 거지?
궁금증을 참을 수 없던 박원장은..
환자께 여쭤봤습니다.
요새 친구분들 사이에서 편하고 통증도 적은
네비게이션 임플란트 가 대세라며
더서울에서 진료를 받았던 분에게
소개를 받고 오시게 된 거죠ㅎㅎ
치료 계획을 세우기 전,
정확하게 파악하기 위해 엑스레이를 찍었습니다.

하악 전치부 치아들이 남아있었지만
이곳도 썩 좋지는 않았는데요.
기존에 근관치료를 받았던 밑으로
이차우식 및 염증이 생겨
동요와 치조골 소실이 관찰되었습니다.
따라서 더서울에서는
총 7개의 픽스처를 식립하여
개선을 도와드리기로 했습니다.
『네비게이션 임플란트 : 편안하고 정확한 식립!』
디지털 분석을 통해
환자의 구강에 맞는 맞춤 계획을 세웠습니다.



진료를 할 때마다 참 신기합니다.
컴퓨터로 이렇게 정확한 분석이 가능하다니..
세상이 점점 좋아지고 있네요.
대한민국의 치과 기술이
어디까지 좋아질지 기대가 됩니다.
이분께서는 오랜 기간 틀니를 쓰고 있었으며,
구강 내 치주 질환으로 치조골 소실이 심하게 나타나 있었는데요.
그렇다면 뭐죠?
골. 이. 식. 을 통해 모자란 골의 양을
충분히 채워준 뒤에 진행을 해야 된다는 사실!
발치 즉시 골이식(GBR)를 해서
단단히 심어질 수 있도록 도와드려야겠네요.

최종 보철 제작까지 미리 고려하여
픽스처의 방향, 각도를 설정해 주었습니다.
CT를 통해 확인해 보니 정확하게 심어져 있네요.


골융합이 잘 이루어질 수 있을까,
초기 고정력을 얻을 수 있을까
걱정이 들었지만 다행히 깔~끔하게 고정을 얻고 있었습니다.
어느 정도 회복될 기간을 부여한 뒤,
ISQ 측정을 통해 심어놨던 네비게이션 임플란트 가
문제없이 안정성을 얻고 있는지 확인을 했습니다.

최종 보철을 올려도 충분한 측정치가 나왔기 때문에
크라운 제작을 위한 본뜨기 과정까지 도와드렸습니다.
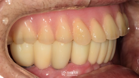
며칠 뒤, 크라운 세팅을 위해 다시 오셨습니다.
왔다 갔다 하는 게 번거로우시죠..?

네비게이션 임플란트는
일반 방식보다 내원 횟수가 훨씬 적다는 사실~
예쁘게 제작된 보철을 올려드리며
사후관리까지 약속드린 후에 마무리를 했습니다!




불편한 틀니를 교체하기 위해
하악 네비게이션 임플란트 를 진행했던 증례였습니다.
그러나 여기서 한 가지 알아둬야 될 게 있죠.
틀니의 힘이 10이라면
내 치아의 힘은 100
네비게이션 임플란트 의 힘은 1000입니다.
튼튼하고 예쁜 이가 생겼다고
너무 무리하게 사용을 하게 되면
틀니가 와장창 깨지거나 부러질 수 있기 때문에
이렇게 대합 되는 보철의 종류가 다른 경우에는
좀 더 주의 깊은 사용이 필요합니다.
이와 관련하여 문의할 내용은 댓글 남겨주기 바랍니다 🙂
아 참, 많은 분들께서 서로 정보 공유를 할 수 있도록
비공개 댓글은 지양해 주시는 센스~~~
박원장이었습니다.
감사합니다.



치료 기간 2022.08.15 ~ 2022.11.17



