충치치료 디지털임플란트 둘 다 받아 될 때는 어떤 순서로..?

반갑습니다.

금요일을 마무리 하기 위해 찾아온

더서울 치과의 박현준 원장입니다.

유독 이번 일주일은 더 빨리 지나간 것 같습니다.

곧 있으면 여기저기 꽃이 필 정도로

날씨도 따뜻해졌네요.

기분 탓인지 모르겠지만

날씨가 좋고 쾌적한 날에는

좀 더 상쾌한 기분으로 진료를 하고

이렇게 글도 잘 적히는 것 같습니다.

본론으로 들어가,

오늘 여러분들께 소개해 드릴 내용은

제목에서 말씀드렸던 것과 같습니다.

오늘 그 궁금증을 박 원장이 풀어드리겠습니다.

함께 보시죠!


『치아 상실, 우식..

어떤 방법으로 개선을 도와야 될까?』

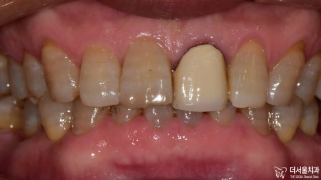
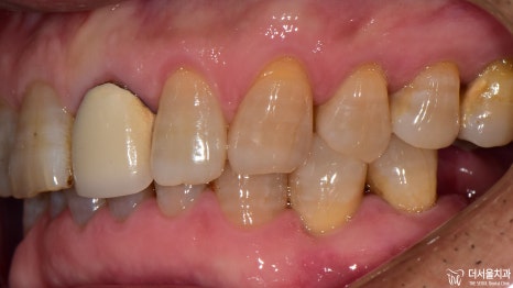
구강 상태가 좋지 않았지만

시간, 비용 여러 면에서 상황이 좋지 않아

계속해서 내원을 미뤄오셨다던 환자분.

처음에는 한두 곳의 문제로 시작되었지만

나중에는 걷잡을 수 없이 퍼졌다는데요.

이젠 진료를 받아 되겠다며 마음을 다잡은 뒤,

지인에게 소개를 받고 더 서울을 내원하게 되셨다네요.

이렇게 되면 원래 있던 문제도 더 커지게 되고,

소요되는 시간과 비용 또한 더 높아지게 되는데요.

항상 말씀드리지만..

치과를 내원하는 것은 빠르면 빠를수록 좋습니다.

치과의사라서 드리는 말이 아니라,

여러분들이 구강 건강을

보다 오래 지키기를 바라는 마음에서

진심으로 전하는 한 가지 당부사항입니다^^


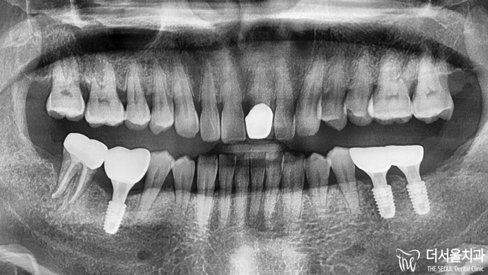
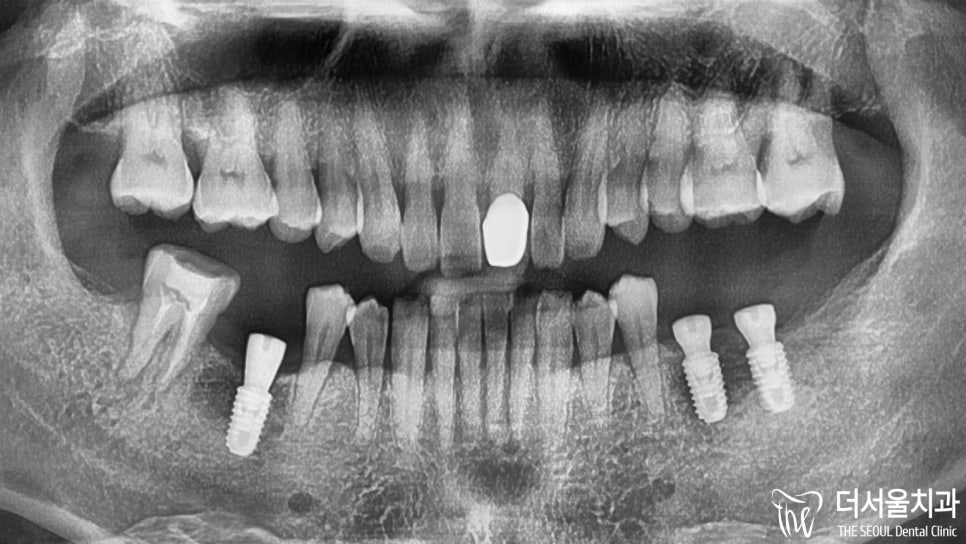
자, 우선 현재 상황을 확인해 봐야겠죠?

더 서울에서 정확한 진단을 위해

엑스레이 촬영을 진행한 결과,

하악 우측 잔존 어금니는 심한 충치로 인해

병소가 치수까지 감염되어 있었습니다.

모든 진단 결과를 토대로

환자에게 적합한 계획을 세웠는데요.


여기서 퀴즈타임~

이렇게 2가지 치료를 해야 될 때는

어떤 것부터 하는 게 좋을까요?

그 이유는 픽스쳐가 뼈에 붙는 최소 기간이 2달이기 때문에

이 기간 동안 충치치료 등을 하면 되기 때문이죠.

이와 유사하게 교정과 디지털임플란트 를

동시에 해야 되는 상황에 대해서는 전에 포스팅한 적이 있습니다.

해당 내용이 궁금한 분들을 위해 링크 첨부해놓겠습니다.

『디지털임플란트 마무리 후, 충치치료 Start!』

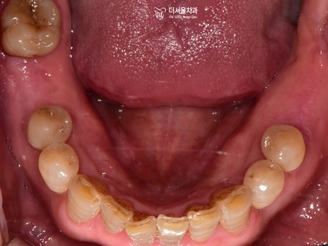
디지털임플란트 를 제일 먼저 하기로 했기 때문에

정확한 식립을 위한 분석을 시작했습니다.

빠져있는 아래 어금니 세 곳에

인공치를 심기로 했었는데요.

세 곳 모두 주변 조직 및 인접치와의 관계를

각각 파악하여 최적의 식립로를 설정했습니다.

이후, 미리 제작된 가이드를 사용하여

무절개 방식으로 단단하게 심어드렸습니다.


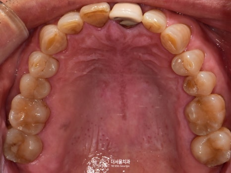
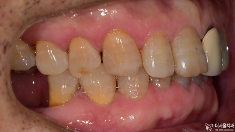
자, 이제는 썩은 치아 곳을 진료해 드릴 차례입니다.

감염된 곳에 작은 홀을 뚫어

치수로 접근할 수 있는 통로를 만들어 주었습니다.


이제 결과를 보여드릴 차례네요.

모든 보철을 지르코니아를 사용하여

심미성을 한껏 더해주었습니다.

이렇게 몇 곳만 바뀌어도

가만히 있던 주변 치아들까지

좀 더 건강하고 활기차 보이지 않나요?

환자께서는 오랜만에

맛있는 음식을 먹을 수 있겠다며

멋있는 미소를 지어주셨습니다^^

(어쩌다 보니 라임이.. ㅋ)

그간 누구보다 마음고생이 심하셨을 텐데

이렇게 좋은 결과를 안겨드릴 수 있어서

정말 뿌듯하고 보람찬 하루였네요.

『글을 마치며』

제가 이렇게 진료를 하면서도

글을 적는 이유 중 하나는..

제가 쓴 글을 읽으면서

여러분들께서 도움을 얻거나,

무언가 알아가셨으면 좋겠는 마음에서

시간을 쪼개가며 글을 적고 있는겁니다ㅎㅎ

늦지 않게 소중함을 깨닫고

내가 제일 아끼는 물건처럼

우리의 치아도 아껴주시기 바라며!

이만 글 마무리 짓겠습니다.

감사합니다.

치료 기간 2022.03.06 ~ 2022.09.15

답글 남기기

Your email address will not be published. Required fields are marked *.

*
*
You may use these <abbr title="HyperText Markup Language">HTML</abbr> tags and attributes: <a href="" title=""> <abbr title=""> <acronym title=""> <b> <blockquote cite=""> <cite> <code> <del datetime=""> <em> <i> <q cite=""> <s> <strike> <strong>

Copyright © 2025 더서울치과. All Right Reserved.
BACK TO TOP