앞니 임플란트 시 꼭 고려해야 될 사항에는 어떤 것들이 있을까?

전치부 치아들은 구치부에 비해
눈에 잘 띄는 위치에 있을뿐더러
두께도 얇기 때문에 파절될 확률이 높습니다.
외력이나 충격을 받지 않도록
유독 신경을 써야 되는 곳이죠.
만약 이곳이 또각 부러져버렸다면
절단 기능을 하지 못하는 것은 물론이며,
좋지 않은 외관으로
제대로 된 생활을 할 수 없게 되는데요.
앞서 말했듯이 눈에 잘 띄는 곳에 있기에
다른 사람들과 대화를 하거나 밥을 먹을 때마다
나도 모르게 가리게 되고, 위축되는 모습이 나타나게 됩니다..

마치 영구처럼..
멀쩡했던 사람도 이 하나가 빠져버리면..
이미지가 확 바뀌어버리게 되는 것처럼
우리의 치아는 기능 말고도
참 많은 역할을 갖고 있습니다.
자, 여기서 말하고 싶은 포인트는 뭐냐!
앞니 부러짐이나 파절이 나타났다면
빠른 시일 내에 치료를 받는 것이 좋다는 말씀이죠~
이런 상황이 발생했을 때 곧장 내원을 하면
재식술이나 보존 방법을 통해
자연치를 살릴 수 있는 시도라도 해볼 수 있지만..
미루고 미뤄서 나중이 되어서야 오시게 되면
발치 후 임플란트 를 심는 방법밖에 없습니다ㅜㅜ
이와 관련된 환자의 증례를 보며
설명드리는 것이 더 이해가 빠르겠죠?ㅎㅎ
함께 보시죠.
『앞니 부러짐,
어 그런데 뼈까지 부러졌다면..?』
” 앞니 부러짐 때문에 통증이 심합니다.
생활하는 게 너무 힘든데 어떻게 하면 좋죠?”
치과 진료가 필요할 때마다
더서울을 내원해 주시는 환자입니다.
사실.. 제가 유독 신경 쓰는 분인데요.
여러분들도 이유를 들으면
아~~ 이러면서 납득을 하실거에요ㅎㅎ
이분께서는 베트남 참전 용사님이세요~
참 존경스럽고 대단한 분이죠..
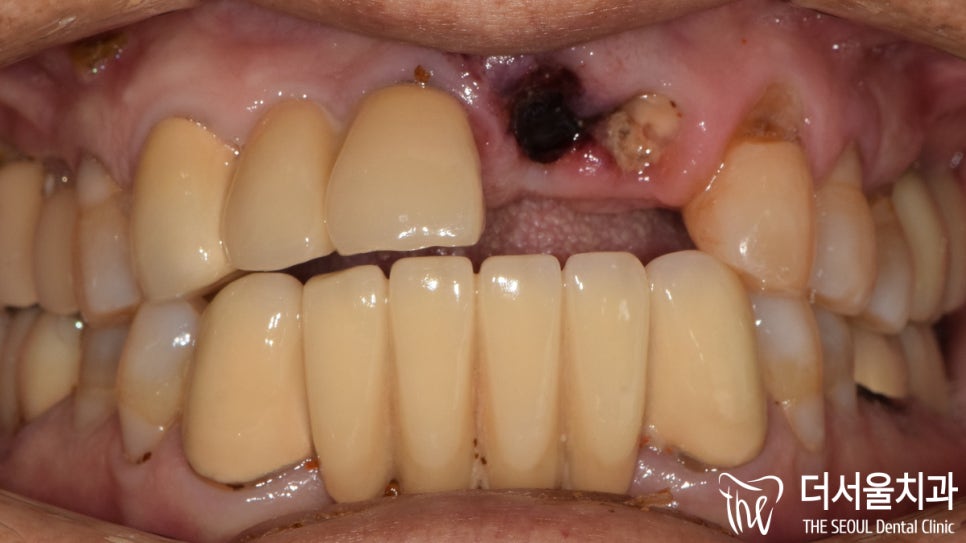
이분께서 앞니가 부러져서 빠졌다고 오셨기에
말씀하신 내용을 토대로 확인을 했습니다.
어.. 한 군데가 아닌,
왼쪽 앞니 두 곳에 부러짐이 나타나 있네요.

이와 더불어,
주변에 있는 치아들도 상황이 좋지 않았습니다.
아무래도 단순히 부러진 것이 아니라는 판단이 들어
정확한 진단을 위해 엑스레이 촬영을 진행했습니다.

그 결과.. 뼈까지 손상이 생겨있는 것을 확인할 수 있었죠.
아.. 이런 경우에는 치아만 뺀다고 해서 될 문제가 아닙니다.
단순히 치아만 파절 되었다면 비교적 간단하게 해결할 수 있지만
이렇게 뼈에도 문제가 생긴 경우에는 그렇지 못하죠..
치조골 소실도 심한 상태였기에
더서울에서는 뼈이식을 동반한 임플란트 로
치아 부러짐 및 상황이 좋지 않은 송곳니까지
개선을 도와드리기로 했습니다.



컴퓨터 분석 과정
『전치부 임플란트 , 어떤 것을 고려해야 될까?』

전치부 임플란트 를 할 때 꼭 고려해야 될 것이 있습니다.
더서울에서 간단히 설명드리겠습니다^^
1) 심미성이 중요
구강 내 치아 중 눈에 제일 잘 띄는 곳이기 때문에
크라운을 제작할 때 더 세심하게 작업을 해야 됩니다.
주변 인접치나 대합치와 이질감이 느껴지지 않는지,
색조나 쉐이드는 조화롭게 어우러지고 있는지 확인을 해야 되죠.
2) 보철 선택
심미성과 유사한 맥락인데요.
보철을 선택할 때에도 PFM 같이 메탈이 있는 것은
구치부에 주로 사용합니다.
눈에 잘 띄는 곳에 사용하게 되면
어두운 표면이 비칠 수 있기 때문에
웬만해선 지르코니아로 제작하는 것이 좋습니다.
이외에도 제대로 된 저작기능을 할 수 있는지
확인을 해야겠죠?
더서울에서는 말씀드렸던 내용을 토대로
치조골 소실이 꽤 심한 상태였기 때문에
이식하는 자체에도 어려움이 있었는데요.


모자란 곳에 보강을 해준 뒤,
5개월의 기간을 두어
회복을 기다리기로 했습니다.
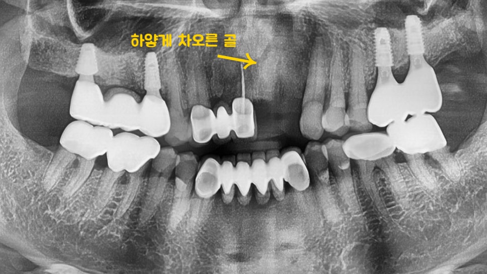
5개월 뒤,
치아가 없는 부위가 빵빵해지면서
골이식이 된 것이 확인이 되네요~


픽스쳐 식립까지 문제 없이 마무리 되었습니다.

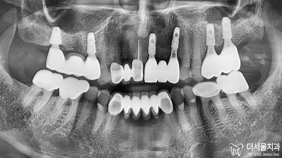
이후 앞니 임플란트 의 최종 단계인
크라운 제작 만을 남겨둔 상황입니다.
좀 더 예쁘고 심미적인 형태 재현을 해야 되기에
손이 더 많이 가는 작업인데요ㅎㅎ
언제나 그랬듯이 잘 해드렸습니다.

예전에 # 26 # 27 치료도 더서울에서 하셨는데
3년이 지난 지금까지 잘 사용하고 계시네요.
이번 전치부 보철도 튼튼하게 잘 사용하셨으면 좋겠습니다^^

물로 더서울에서 체계적인 사후관리를 도와드릴 예정이지만
그전에 스스로 관리하는 게 더! 중요하다는 것을
다시 한번 강조 드리며 글 마무리 짓겠습니다.
긴 글 읽어주셔서 감사합니다.
내일 다시 찾아오겠습니다!



치료 기간 2022.07.10 ~ 2022.11.19


